GREB1 Antibody

Code CSB-PA831840
Size US$166
Order now
Image
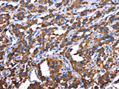
  • The image on the left is immunohistochemistry of paraffin-embedded Human thyroid cancer tissue using CSB-PA831840(GREB1 Antibody) at dilution 1/50, on the right is treated with synthetic peptide. (Original magnification: ×200)
  • The image on the left is immunohistochemistry of paraffin-embedded Human brain tissue using CSB-PA831840(GREB1 Antibody) at dilution 1/50, on the right is treated with synthetic peptide. (Original magnification: ×200)
Have Questions? Leave a Message or Start an on-line Chat

Product Details

Uniprot No.
Target Names
GREB1
Alternative Names
5730583K22Rik antibody; 9130004E13 antibody; AF180470 antibody; AU023194 antibody; Gene regulated by estrogen in breast cancer protein antibody; Gene regulated in breast cancer 1 protein antibody; GREB 1 antibody; Greb1 antibody; GREB1_HUMAN antibody; KIAA0575 antibody; mKIAA0575 antibody; OTTHUMP00000180581 antibody; Protein GREB1 antibody
Raised in
Rabbit
Species Reactivity
Human,Mouse
Immunogen
Synthetic peptide of Human GREB1
Immunogen Species
Homo sapiens (Human)
Conjugate
Non-conjugated
Isotype
IgG
Purification Method
Antigen affinity purification
Concentration
It differs from different batches. Please contact us to confirm it.
Buffer
-20°C, pH7.4 PBS, 0.05% NaN3, 40% Glycerol
Form
Liquid
Tested Applications
ELISA,IHC
Recommended Dilution
Application Recommended Dilution
ELISA 1:2000-1:5000
IHC 1:50-1:200
Troubleshooting and FAQs
Storage
Upon receipt, store at -20°C or -80°C. Avoid repeated freeze.
Lead Time
Basically, we can dispatch the products out in 1-3 working days after receiving your orders. Delivery time maybe differs from different purchasing way or location, please kindly consult your local distributors for specific delivery time.
Usage
For Research Use Only. Not for use in diagnostic or therapeutic procedures.

Customer Reviews and Q&A

 Customer Reviews

There are currently no reviews for this product.

Submit a Review here

Target Background

Function
May play a role in estrogen-stimulated cell proliferation. Acts as a regulator of hormone-dependent cancer growth in breast and prostate cancers.
Gene References into Functions
  1. GREB1 is a novel progesterone-responsive gene required for endometrial stromal decidualization. PMID: 28911214
  2. The aim of this study was to determine if genetic variation within GREB1 was associated with BMD variation. PMID: 28293781
  3. Whole exome sequence analysis of two families with renal agenesis identified a single candidate gene, GREB1L. Data implicates GREB1L as a coactivator for RARs. PMID: 28739660
  4. Which were rescued by wild-type human GREB1L mRNA. PMID: 29100090
  5. A significant association between GREB1L variants and BKA. PMID: 29100091
  6. the GREB1 region on chromosome 2p25.1 and the GREB1 gene may play a role in endometriosis risk PMID: 25788566
  7. GREB1 is a critical mediator of both the estrogen-stimulated proliferation of breast cancer cells and the androgen-stimulated proliferation of prostate cancer cells PMID: 24998469
  8. The expression of Greb1 was up-regulated in mouse tumors treated with E2 and was overexpressed in human ovarian cancers relative to human ovarian surface epithelium, suggesting a role for GREB1 in human ovarian tumor progression. PMID: 24469735
  9. RAD54B and GREB1 gene polymorphisms may not be associated with PCOS in the Han Chinese population. PMID: 23876972
  10. GREB1 is one of the central estrogen-specific ER cofactors, where it functions to mediate interactions between the ER and additional proteins. PMID: 23403292
  11. GREB1 alpha mRNA/protein expression levels were increased in ectopic tissue in peritoneal endometriosis. PMID: 22884659
  12. in ER-positive breast cancer cells, LRH-1 promotes cell proliferation by enhancing ERalpha mediated transcription of target genes such as GREB-1 PMID: 22359603
  13. Tissue expression of GREB1 is associated with organ-confined prostate cancer and may constitute a gene associated with a favorable prognosis. PMID: 19945309
  14. Longer survival was associated with hypomethylation at specific CpG sites (e.g. GREB1, TGIF and TOB1) and hypermethylation in other genes (e.g. TMCO5, PTPRN and GUCY2C). PMID: 21577013
  15. Characterize a monoclonal antibody that recognizes GREB1 protein in breast cancer cells. PMID: 19842031
  16. GREB1 is critically involved in the estrogen induced growth of breast cancer cells. PMID: 15986123
  17. GREB1 is expressed in proliferating prostatic tissue and prostate cancer, is regulated by androgens, and suppression of GREB1 blocks androgen-induced growth suggesting GREB1 may be critically involved in prostate cancer proliferation. PMID: 16496412
  18. Data show that the induction of the gene regulated in breast cancer 1 (GREB1) is mediated by binding of estrogen receptor alpha to three consensus estrogen response elements spread over approximately 20 kb of upstream flanking sequences. PMID: 17463000
  19. estrogen-stimulated GREB1 transcription may involve coordinated ER binding to all three distal consensus ERE motifs PMID: 17666587
  20. GREB1 is expressed in human skin, and is dose-dependently induced by topical 17-beta-estradiol treatment PMID: 18794456
  21. Estrogen receptors are recruited at several proximal and distal estrogen response elements upstream of the GREB1 transcription unit. PMID: 15001666

Show More

Hide All

Subcellular Location
Membrane; Single-pass membrane protein.
Protein Families
GREB1 family
Tissue Specificity
Expressed in proliferating prostatic tissue and prostate cancer.
Database Links

HGNC: 24885

OMIM: 611736

KEGG: hsa:9687

STRING: 9606.ENSP00000234142

UniGene: Hs.467733

icon of phone
Call us
301-363-4651 (Available 9 a.m. to 5 p.m. CST from Monday to Friday)
icon of address
Address
7505 Fannin St., Ste 610, Room 7 (CUBIO Innovation Center), Houston, TX 77054, USA
icon of social media
Join us with

Subscribe newsletter

Leave a message

* To protect against spam, please pass the CAPTCHA test below.
CAPTCHA verification
© 2007-2025 CUSABIO TECHNOLOGY LLC All rights reserved. 鄂ICP备15011166号-1
×
Place an order now

I. Product details

*
*
*
*

II. Contact details

*
*

III. Ship To

*
*
*
*
*
*
*

IV. Bill To

*
*
*
*
*
*
*
*