HIST1H2AG (Ab-36) Antibody

Code CSB-PA010389PA36ncrHU
Size US$175
Order now
Image
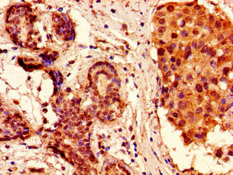
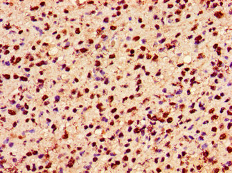
  • Immunohistochemistry of paraffin-embedded human glioma using CSB-PA010389PA36ncrHU at dilution of 1:100

  • Immunohistochemistry of paraffin-embedded human breast cancer using CSB-PA010389PA36ncrHU at dilution of 1:100

  • Immunofluorescent analysis of Hela cells using CSB-PA010389PA36ncrHU at dilution of 1:100 and Alexa Fluor 488-congugated AffiniPure Goat Anti-Rabbit IgG(H+L)

Have Questions? Leave a Message or Start an on-line Chat

Product Details

Full Product Name
Rabbit anti-Homo sapiens (Human) HIST1H2AG Polyclonal antibody
Uniprot No.
Target Names
HIST1H2AG
Alternative Names
H2AC11 antibody; H2AFP antibody; HIST1H2AG; antibody; H2AC13 antibody; H2AFC antibody; HIST1H2AI; antibody; H2AC15 antibody; H2AFD antibody; HIST1H2AK; antibody; H2AC16 antibody; H2AFI antibody; HIST1H2AL; antibody; H2AC17 antibody; H2AFN antibody; HIST1H2AMHistone H2A type 1 antibody; H2A.1 antibody; Histone H2A/ptl antibody
Raised in
Rabbit
Species Reactivity
Human
Immunogen
Peptide sequence around site of Lys (36) derived from Human Histone H2A type 1
Immunogen Species
Homo sapiens (Human)
Conjugate
Non-conjugated
Clonality
Polyclonal
Isotype
IgG
Purification Method
Antigen Affinity Purified
Concentration
It differs from different batches. Please contact us to confirm it.
Buffer
Preservative: 0.03% Proclin 300
Constituents: 50% Glycerol, 0.01M PBS, pH 7.4
Form
Liquid
Tested Applications
ELISA, IHC, IF
Recommended Dilution
Application Recommended Dilution
IHC 1:20-1:200
IF 1:50-1:200
Troubleshooting and FAQs
Storage
Upon receipt, store at -20°C or -80°C. Avoid repeated freeze.
Lead Time
Basically, we can dispatch the products out in 1-3 working days after receiving your orders. Delivery time maybe differs from different purchasing way or location, please kindly consult your local distributors for specific delivery time.
Usage
For Research Use Only. Not for use in diagnostic or therapeutic procedures.

Customer Reviews and Q&A

 Customer Reviews

There are currently no reviews for this product.

Submit a Review here

Target Background

Function
Core component of nucleosome. Nucleosomes wrap and compact DNA into chromatin, limiting DNA accessibility to the cellular machineries which require DNA as a template. Histones thereby play a central role in transcription regulation, DNA repair, DNA replication and chromosomal stability. DNA accessibility is regulated via a complex set of post-translational modifications of histones, also called histone code, and nucleosome remodeling.
Subcellular Location
Nucleus. Chromosome.
Protein Families
Histone H2A family
Database Links

HGNC: 4737

OMIM: 602787

KEGG: hsa:8329

STRING: 9606.ENSP00000352627

UniGene: Hs.134999

icon of phone
Call us
301-363-4651 (Available 9 a.m. to 5 p.m. CST from Monday to Friday)
icon of address
Address
7505 Fannin St., Ste 610, Room 7 (CUBIO Innovation Center), Houston, TX 77054, USA
icon of social media
Join us with

Subscribe newsletter

Leave a message

* To protect against spam, please pass the CAPTCHA test below.
CAPTCHA verification
© 2007-2025 CUSABIO TECHNOLOGY LLC All rights reserved. 鄂ICP备15011166号-1
×
Place an order now

I. Product details

*
*
*
*

II. Contact details

*
*

III. Ship To

*
*
*
*
*
*
*

IV. Bill To

*
*
*
*
*
*
*
*