HIST1H2BC (Ab-120) Antibody

Code CSB-PA010403OA120nhibHU
Size US$175
Order now
Image
  • Western Blot
    Positive WB detected in: Hela whole cell lysate, K562 whole cell lysate, HL60 whole cell lysate, HepG2 whole cell lysate, 293 whole cell lysate, Rat spleen tissue, Rat heart tissue
    All lanes: HIST1H2BC antibody at 1.4µg/ml
    Secondary
    Goat polyclonal to rabbit IgG at 1/50000 dilution
    Predicted band size: 14 kDa
    Observed band size: 14 kDa

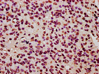
  • IHC image of CSB-PA010403OA120nhibHU diluted at 1:20 and staining in paraffin-embedded human glioma performed on a Leica BondTM system. After dewaxing and hydration, antigen retrieval was mediated by high pressure in a citrate buffer (pH 6.0). Section was blocked with 10% normal goat serum 30min at RT. Then primary antibody (1% BSA) was incubated at 4°C overnight. The primary is detected by a biotinylated secondary antibody and visualized using an HRP conjugated SP system.

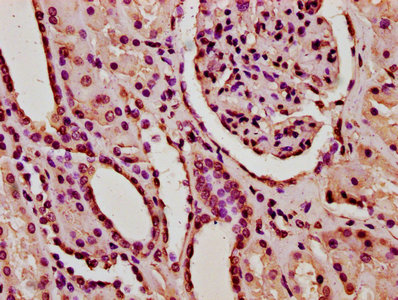
  • IHC image of CSB-PA010403OA120nhibHU diluted at 1:20 and staining in paraffin-embedded human kidney tissue performed on a Leica BondTM system. After dewaxing and hydration, antigen retrieval was mediated by high pressure in a citrate buffer (pH 6.0). Section was blocked with 10% normal goat serum 30min at RT. Then primary antibody (1% BSA) was incubated at 4°C overnight. The primary is detected by a biotinylated secondary antibody and visualized using an HRP conjugated SP system.

Have Questions? Leave a Message or Start an on-line Chat

Product Details

Full Product Name
Rabbit anti-Homo sapiens (Human) HIST1H2BC Polyclonal antibody
Uniprot No.
Target Names
HIST1H2BC
Alternative Names
H2BC4 antibody; H2BFL antibody; HIST1H2BC; antibody; H2BC6 antibody; H2BFH antibody; HIST1H2BE; antibody; H2BC7 antibody; H2BFG antibody; HIST1H2BF; antibody; H2BC8 antibody; H2BFA antibody; HIST1H2BG; antibody; H2BC10 antibody; H2BFK antibody; HIST1H2BIHistone H2B type 1-C/E/F/G/I antibody; Histone H2B.1 A antibody; Histone H2B.a antibody; H2B/a antibody; Histone H2B.g antibody; H2B/g antibody; Histone H2B.h antibody; H2B/h antibody; Histone H2B.k antibody; H2B/k antibody; Histone H2B.l antibody; H2B/l antibody
Raised in
Rabbit
Species Reactivity
Human, Rat
Immunogen
Peptide sequence around site of Lys (120) derived from Human Histone H2B type 1-C/E/F/G/I
Immunogen Species
Homo sapiens (Human)
Conjugate
Non-conjugated
Clonality
Polyclonal
Isotype
IgG
Purification Method
Antigen Affinity Purified
Concentration
It differs from different batches. Please contact us to confirm it.
Buffer
Preservative: 0.03% Proclin 300
Constituents: 50% Glycerol, 0.01M PBS, pH 7.4
Form
Liquid
Tested Applications
ELISA, WB, IHC
Recommended Dilution
Application Recommended Dilution
WB 1:100-1:1000
IHC 1:10-1:100
Troubleshooting and FAQs
Storage
Upon receipt, store at -20°C or -80°C. Avoid repeated freeze.
Lead Time
Basically, we can dispatch the products out in 1-3 working days after receiving your orders. Delivery time maybe differs from different purchasing way or location, please kindly consult your local distributors for specific delivery time.
Usage
For Research Use Only. Not for use in diagnostic or therapeutic procedures.

Customer Reviews and Q&A

 Customer Reviews

There are currently no reviews for this product.

Submit a Review here

Target Background

Function
Core component of nucleosome. Nucleosomes wrap and compact DNA into chromatin, limiting DNA accessibility to the cellular machineries which require DNA as a template. Histones thereby play a central role in transcription regulation, DNA repair, DNA replication and chromosomal stability. DNA accessibility is regulated via a complex set of post-translational modifications of histones, also called histone code, and nucleosome remodeling.; Has broad antibacterial activity. May contribute to the formation of the functional antimicrobial barrier of the colonic epithelium, and to the bactericidal activity of amniotic fluid.
Subcellular Location
Nucleus. Chromosome.
Protein Families
Histone H2B family
Database Links

HGNC: 4757

OMIM: 602798

KEGG: hsa:3017

STRING: 9606.ENSP00000366962

UniGene: Hs.182137

icon of phone
Call us
301-363-4651 (Available 9 a.m. to 5 p.m. CST from Monday to Friday)
icon of address
Address
7505 Fannin St., Ste 610, Room 7 (CUBIO Innovation Center), Houston, TX 77054, USA
icon of social media
Join us with

Subscribe newsletter

Leave a message

* To protect against spam, please pass the CAPTCHA test below.
CAPTCHA verification
© 2007-2025 CUSABIO TECHNOLOGY LLC All rights reserved. 鄂ICP备15011166号-1
×
Place an order now

I. Product details

*
*
*
*

II. Contact details

*
*

III. Ship To

*
*
*
*
*
*
*

IV. Bill To

*
*
*
*
*
*
*
*