JADE1 Antibody

Code CSB-PA743563ESR1HU
Size US$166
Order now
Image
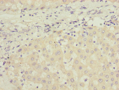
  • Immunohistochemistry of paraffin-embedded human liver cancer using CSB-PA743563ESR1HU at dilution of 1:100

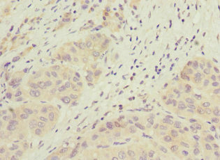
  • Immunohistochemistry of paraffin-embedded human liver tissue using CSB-PA743563ESR1HU at dilution of 1:100

Have Questions? Leave a Message or Start an on-line Chat

Product Details

Full Product Name
Rabbit anti-Homo sapiens (Human) JADE1 Polyclonal antibody
Uniprot No.
Target Names
JADE1
Alternative Names
FLJ22479 antibody; Gene for apoptosis and differentiation in epithelia antibody; Jade family PHD finger 1 antibody; JADE1 antibody; JADE1_HUMAN antibody; KIAA1807 antibody; OTTHUMP00000219842 antibody; OTTHUMP00000219934 antibody; OTTHUMP00000219935 antibody; OTTHUMP00000219936 antibody; PHD finger protein 17 antibody; PHD protein Jade 1 antibody; Phf17 antibody; Protein Jade 1 antibody; Protein Jade-1 antibody
Raised in
Rabbit
Species Reactivity
Human
Immunogen
Recombinant Human Protein Jade-1 protein (543-842AA)
Immunogen Species
Homo sapiens (Human)
Conjugate
Non-conjugated
Clonality
Polyclonal
Isotype
IgG
Purification Method
Antigen Affinity Purified
Concentration
It differs from different batches. Please contact us to confirm it.
Buffer
PBS with 0.02% sodium azide, 50% glycerol, pH7.3.
Form
Liquid
Tested Applications
ELISA, IHC
Recommended Dilution
Application Recommended Dilution
IHC 1:20-1:200
Troubleshooting and FAQs
Storage
Upon receipt, store at -20°C or -80°C. Avoid repeated freeze.
Lead Time
Basically, we can dispatch the products out in 1-3 working days after receiving your orders. Delivery time maybe differs from different purchasing way or location, please kindly consult your local distributors for specific delivery time.
Usage
For Research Use Only. Not for use in diagnostic or therapeutic procedures.

Customer Reviews and Q&A

 Customer Reviews

There are currently no reviews for this product.

Submit a Review here

Target Background

Function
Scaffold subunit of some HBO1 complexes, which have a histone H4 acetyltransferase activity. Plays a key role in HBO1 complex by directing KAT7/HBO1 specificity towards histone H4 acetylation (H4K5ac, H4K8ac and H4K12ac), regulating DNA replication initiation, regulating DNA replication initiation. May also promote acetylation of nucleosomal histone H4 by KAT5. Promotes apoptosis. May act as a renal tumor suppressor. Negatively regulates canonical Wnt signaling; at least in part, cooperates with NPHP4 in this function.
Gene References into Functions
  1. identification of SNPs within the IQCJ, NXPH1, PHF17 and MYB genes partly explaining the large interindividual variability observed in plasma triglyceride levels in response to an n-3 fatty acid supplementation PMID: 27160456
  2. A genome-wide association study (GWAS) identified loci associated with the plasma triglyceride (TG) response to omega-3 fatty acid (FA) supplementation in IQCJ, NXPH1, PHF17 and MYB. PMID: 28134766
  3. JADE1 expression has a role in colon cancers, renal carcinomas, and in acute kidney injuries and regeneration. (Review) PMID: 27155521
  4. Interactome analyses revealed that the Jade-1S mutant unable to be phosphorylated by CK1alpha has an increased binding affinity to proteins involved in chromatin remodelling, histone deacetylation, transcriptional repression, and ribosome biogenesis. PMID: 26919559
  5. JADE1S protein localized to centrosomes in interphase and mitotic cells, and to the midbody during cytokinesis. PMID: 26151225
  6. Casein kinase 1 alpha specifically phosphorylates Jade-1 at an unprimed SLS phosphorylation site. PMID: 25100726
  7. Increase in the number of cells with cytoplasmic JADE1S correlated with activation of tubular cell proliferation and inversely correlated with the number of cells with nuclear JADE1S, supporting role of HBO1-JADE1 shuttling during organ regeneration. PMID: 24739512
  8. lncRNA-JADE is a key functional link that connects the DDR to histone H4 acetylation, and that dysregulation of lncRNA-JADE may contribute to breast tumorigenesis. PMID: 24097061
  9. Reduced Jade-1 expression is associated with clear-cell renal cell carcinomas. PMID: 23824745
  10. The ciliary protein nephrocystin-4 translocates the canonical Wnt regulator Jade-1 to the nucleus to negatively regulate beta-catenin signaling. PMID: 22654112
  11. RCC with a low expression of Jade-1 is associated with a poor outcome and decreased survival PMID: 22516360
  12. Jade-1 protein is a novel candidate regulatory factor in Von Hippel Lindau-mediated renal tumor suppression PMID: 12169691
  13. Jade-1 is a novel candidate transcriptional co-activator associated with HAT activity and may play a key role in the pathogenesis of renal cancer and von Hippel-Lindau disease PMID: 15502158
  14. Jade-1 may suppress renal cancer cell growth in part by increasing apoptosis. PMID: 16046545
  15. Jade-1/1L are crucial co-factors for HBO1-mediated histone H4 acetylation PMID: 18684714
  16. The pVHL tumour suppressor and the Wnt tumorigenesis pathway are therefore directly linked through Jade-1. PMID: 18806787

Show More

Hide All

Subcellular Location
Nucleus. Chromosome. Cytoplasm. Cytoplasm, cytoskeleton, cilium basal body.
Protein Families
JADE family
Tissue Specificity
Highly expressed in kidney. Also present in pancreas, liver and heart (at protein level). Down-regulated in renal cancer cells.
Database Links

HGNC: 30027

OMIM: 610514

KEGG: hsa:79960

STRING: 9606.ENSP00000226319

UniGene: Hs.12420

icon of phone
Call us
301-363-4651 (Available 9 a.m. to 5 p.m. CST from Monday to Friday)
icon of address
Address
7505 Fannin St., Ste 610, Room 7 (CUBIO Innovation Center), Houston, TX 77054, USA
icon of social media
Join us with

Subscribe newsletter

Leave a message

* To protect against spam, please pass the CAPTCHA test below.
CAPTCHA verification
© 2007-2026 CUSABIO TECHNOLOGY LLC All rights reserved. 鄂ICP备15011166号-1
Place an order now

I. Product details

*
*
*
*

II. Contact details

*
*

III. Ship To

*
*
*
*
*
*
*

IV. Bill To

*
*
*
*
*
*
*
*