KIF1C Antibody

Code CSB-PA969739
Size US$166
Order now
Image
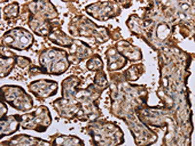
  • The image on the left is immunohistochemistry of paraffin-embedded Human placenta tissue using CSB-PA969739(KIF1C Antibody) at dilution 1/60, on the right is treated with fusion protein. (Original magnification: ×200)
  • The image on the left is immunohistochemistry of paraffin-embedded Human sarcoma tissue using CSB-PA969739(KIF1C Antibody) at dilution 1/60, on the right is treated with fusion protein. (Original magnification: ×200)
Have Questions? Leave a Message or Start an on-line Chat

Product Details

Uniprot No.
Target Names
KIF1C
Alternative Names
Kif1c antibody; KIF1C_HUMAN antibody; Kinesin family member 1C antibody; Kinesin-like protein KIF1C antibody; LTXS1 antibody
Raised in
Rabbit
Species Reactivity
Human,Mouse,Rat
Immunogen
Fusion protein of Human KIF1C
Immunogen Species
Homo sapiens (Human)
Conjugate
Non-conjugated
Isotype
IgG
Purification Method
Antigen affinity purification
Concentration
It differs from different batches. Please contact us to confirm it.
Buffer
-20°C, pH7.4 PBS, 0.05% NaN3, 40% Glycerol
Form
Liquid
Tested Applications
ELISA,IHC
Recommended Dilution
Application Recommended Dilution
ELISA 1:2000-1:5000
IHC 1:50-1:200
Troubleshooting and FAQs
Storage
Upon receipt, store at -20°C or -80°C. Avoid repeated freeze.
Lead Time
Basically, we can dispatch the products out in 1-3 working days after receiving your orders. Delivery time maybe differs from different purchasing way or location, please kindly consult your local distributors for specific delivery time.
Usage
For Research Use Only. Not for use in diagnostic or therapeutic procedures.

Customer Reviews and Q&A

 Customer Reviews

There are currently no reviews for this product.

Submit a Review here

Target Background

Function
Motor required for the retrograde transport of Golgi vesicles to the endoplasmic reticulum. Has a microtubule plus end-directed motility.
Gene References into Functions
  1. Hereditary spastic paraplegia (HSP) patients with KIF1C mutations may present with cerebellar signs and pyramidal findings may emerge later, therefore complicated HSP should be considered in the differential diagnosis of unidentified cases with cerebellar dysfunction. PMID: 29544888
  2. Rab6A binding to KIF1C's motor domain represents an entirely new mode of regulation for a kinesin motor, and likely has important consequences for KIF1C's cellular functions. PMID: 25821985
  3. KIF1C translocation to the cell periphery intensifies and KIF1C accumulates both in the proximity of peripheral microtubules that show enrichment for the plus-tip-associated proteins CLASPs and around podosomes. PMID: 25344256
  4. Microtubule acetylation influences the subcellular distribution of vesicles associated with the kinesin KIF1C, as well as their directionality, velocity and run length. PMID: 25151635
  5. Nonsense and missense mutations in the KIF1C gene associated with hereditary spastic paraparesis and cerebellar dysfunction. PMID: 24319291
  6. Identification of KIF1C as an hereditary spastic paraplegia gene supports the key role of intracellular trafficking processes in the pathogenesis of hereditary axonopathies. PMID: 24808017
  7. findings show that the microtubule motor Kif1C contributes to persistent cell migration primarily through stabilization of an extended cell rearKif1C-mediated transport of alpha5beta1-integrins is required for the proper maturation of trailing focal adhesions and resistance to tail retraction PMID: 23237952
  8. Hairpin RNA-based depletion of KIF1C resulted in decreased podosome dynamics and ultimately in podosome deficiency. PMID: 16554367

Show More

Hide All

Involvement in disease
Spastic ataxia 2, autosomal recessive (SPAX2)
Subcellular Location
Cytoplasm, cytoskeleton.
Protein Families
TRAFAC class myosin-kinesin ATPase superfamily, Kinesin family, Unc-104 subfamily
Tissue Specificity
Expressed in all tissues examined, with most abundant expression in heart and skeletal muscle.
Database Links

HGNC: 6317

OMIM: 603060

KEGG: hsa:10749

STRING: 9606.ENSP00000320821

UniGene: Hs.435120

icon of phone
Call us
301-363-4651 (Available 9 a.m. to 5 p.m. CST from Monday to Friday)
icon of address
Address
7505 Fannin St., Ste 610, Room 7 (CUBIO Innovation Center), Houston, TX 77054, USA
icon of social media
Join us with

Subscribe newsletter

Leave a message

* To protect against spam, please pass the CAPTCHA test below.
CAPTCHA verification
© 2007-2025 CUSABIO TECHNOLOGY LLC All rights reserved. 鄂ICP备15011166号-1
×
Place an order now

I. Product details

*
*
*
*

II. Contact details

*
*

III. Ship To

*
*
*
*
*
*
*

IV. Bill To

*
*
*
*
*
*
*
*