LIMS1 Antibody

Code CSB-PA560467
Size US$166
Order now
Image
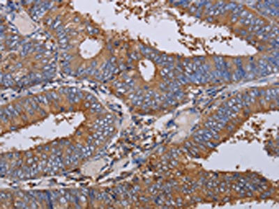
  • The image on the left is immunohistochemistry of paraffin-embedded Human colon cancer tissue using CSB-PA560467(LIMS1 Antibody) at dilution 1/40, on the right is treated with fusion protein. (Original magnification: ×200)
  • The image on the left is immunohistochemistry of paraffin-embedded Human tonsil tissue using CSB-PA560467(LIMS1 Antibody) at dilution 1/40, on the right is treated with fusion protein. (Original magnification: ×200)
  • Gel: 8%SDS-PAGE, Lysate: 40 μg, Lane 1-2: Human kidney tissue, mouse lung tissue, Primary antibody: CSB-PA560467(LIMS1 Antibody) at dilution 1/200, Secondary antibody: Goat anti rabbit IgG at 1/8000 dilution, Exposure time: 20 seconds
Have Questions? Leave a Message or Start an on-line Chat

Product Details

Uniprot No.
Target Names
LIMS1
Alternative Names
2310016J22Rik antibody; 4921524A02Rik antibody; AI507642 antibody; AU021743 antibody; AW551584 antibody; C430041B13Rik antibody; LIM and senescent cell antigen like domains 1 antibody; LIM and senescent cell antigen-like-containing domain protein 1 antibody; LIM zinc finger domain containing 1 antibody; LIM-type zinc finger domains 1 antibody; Lims1 antibody; LIMS1_HUMAN antibody; Lims1l antibody; Particularly interesting new Cys His protein 1 antibody; Particularly interesting new Cys His protein antibody; Particularly interesting new Cys-His protein 1 antibody; PINCH 1 antibody; PINCH antibody; PINCH-1 antibody; PINCH1 antibody; Renal carcinoma antigen NY REN 48 antibody; Renal carcinoma antigen NY-REN-48 antibody; senescent cell antigen antibody; wu:fc32c03 antibody; zgc:112533 antibody
Raised in
Rabbit
Species Reactivity
Human,Mouse
Immunogen
Fusion protein of Human LIMS1
Immunogen Species
Homo sapiens (Human)
Conjugate
Non-conjugated
Isotype
IgG
Purification Method
Antigen affinity purification
Concentration
It differs from different batches. Please contact us to confirm it.
Buffer
-20°C, pH7.4 PBS, 0.05% NaN3, 40% Glycerol
Form
Liquid
Tested Applications
ELISA,WB,IHC
Recommended Dilution
Application Recommended Dilution
ELISA 1:2000-1:5000
WB 1:500-1:2000
IHC 1:50-1:200
Troubleshooting and FAQs
Storage
Upon receipt, store at -20°C or -80°C. Avoid repeated freeze.
Lead Time
Basically, we can dispatch the products out in 1-3 working days after receiving your orders. Delivery time maybe differs from different purchasing way or location, please kindly consult your local distributors for specific delivery time.
Usage
For Research Use Only. Not for use in diagnostic or therapeutic procedures.

Customer Reviews and Q&A

 Customer Reviews

There are currently no reviews for this product.

Submit a Review here

Target Background

Function
Adapter protein in a cytoplasmic complex linking beta-integrins to the actin cytoskeleton, bridges the complex to cell surface receptor tyrosine kinases and growth factor receptors. Involved in the regulation of cell survival, cell proliferation and cell differentiation.
Gene References into Functions
  1. High LIMS1 expression is associated with Neuroblastoma. PMID: 29695398
  2. focal adhesion signaling to actin cytoskeleton is implicated in human laryngeal carcinogenesis and PINCH1 has prognostic significance in the disease. PMID: 29755929
  3. that PINCH-1 may be playing an important role in etiopathogenesis of both subtypes breast cancer PMID: 29079319
  4. Mammalian cells have two functional PINCH proteins, PINCH1 and PINCH2. PINCH not only binds to Nck2 and engages in the signaling of growth factor receptors, but also forms a ternary complex with ILK and parvin (IPP complex). PMID: 27590440
  5. our data suggest an essential role of PINCH1, ILK and ILKAP for the radioresistance of p53-wildtype glioblastoma multiforme cells PMID: 26460618
  6. Data suggest that PINCH1 and Nck2 critically participate in the regulation of cellular radiosensitivity and EGFR function and downstream signaling in a cellular model of human squamous cell carcinoma. PMID: 26004008
  7. Downregulation of PINCH1 is associated with metastatic breast cancer. PMID: 25647720
  8. changes in CSF levels of PINCH appear to correlate with changes in blood CD4 count and with changes in CSF hyperphosphorylated Tau levels PMID: 24817145
  9. PINCH predicts survival in rectal cancer patients with RT, but not in patients without RT. The expression of PINCH may be regulated by radiation and by environmental factors surrounding the cells. PMID: 23970013
  10. PINCH is increased and binds to hp-Tau. These studies address a new mechanism by which AD and HIV may intersect and identify PINCH as a contributing factor to the accumulation of hyperphosphorylated Tau. PMID: 23554879
  11. Pinch-1 mRNA and protein were significantly up-regulated in acute lymphoblastic leukemia and acute myeloid leukemia bone marrow stromal cells compared to normal bone marrow stromal cells (p<0.01). PMID: 22310984
  12. PINCH protein might play an important role in the tumourigenesis and metastasis of gastric adenocarcinoma. PMID: 22976000
  13. PINCH mRNA overexpression in colorectal carcinomas is correlated with VEGF and FAS mRNA expression PMID: 22199270
  14. PINCH may function as a neuron-specific host-mediated response to challenge by HIV-related factors in the CNS. PMID: 20689998
  15. PINCH1 can shuttle into the nucleus from cytoplasm in podocytes, wherein it interacts with WT1 and suppresses podocyte-specific gene expression. PMID: 21390327
  16. Review provides an overview of the current knowledge of the molecular interactions of PINCH with other components of focal adhesions and discusses its potential implication for human heart disease. PMID: 19952891
  17. data reveal how specific domains of PINCH-1 direct two independent pathways: one utilizing ILK to allow cell attachment, and the other recruiting Rsu-1 to activate Rac1 in order to promote cell spreading PMID: 20926685
  18. PINCH staining at the tumour invasive margin was related to survival in poorly differentiated tumours but not in better differentiated tumours, indicating that the impact of PINCH on prognosis was dependent on differentiation status. PMID: 21426571
  19. Data suggest that the adapter protein PINCH1 critically participates in the regulation of the cellular radiosensitivity of normal and malignant cells similarly under adhesion and suspension conditions. PMID: 20927395
  20. Findings of increased PINCH protein in more advanced stages of human pancreatic ductal adenocarcinoma, as well as in metastatic tumours in the animal model, support the hypothesis that PINCH is an important controller of cell survival and migration. PMID: 20590912
  21. PINCH expression markedly increased in tumor-associated stroma in endometrioid carcinoma compared to normal endometrium and atypical endometrial hyperplasia; results suggest PINCH seems to play a role in tumorigenesis and development of endometrial cancer PMID: 20714146
  22. Assembly of the PINCH-ILK-CH-ILKBP complex precedes and is essential for localization of each component to cell-matrix adhesion sites PMID: 12432066
  23. PINCH1 and ILK are essential for prompt cell spreading and motility; PINCH1 and ILK, like alpha-parvin, are crucial for cell survival; PINCH1 and ILK are required for optimal activating phosphorylation of PKB/Akt of the survival pathway PMID: 14551191
  24. PINCH-1 functions as a molecular platform for coupling and uncoupling diverse cellular processes via overlapping but yet distinct domain interactions PMID: 15941716
  25. Up-regulation of PINCH protein in stroma may be involved in promoting invasion and metastasis in oral squamous cell cacinoma. PMID: 16273248
  26. PINCH-1, through its interaction with integrin-linked kinase, plays important role in regulating TGF-beta1-mediated epithelial-to-mesenchymal transition and could be potential future therapeutic target to prevent progression of renal disease. PMID: 17656471
  27. PINCH-1 contributes to apoptosis resistance through suppression of Bim. Mechanistically, PINCH-1 suppresses Bim not only transcriptionally but also post-transcriptionally. PMID: 18063582
  28. PINCH expression may be involved in glioma development and differentiation. PMID: 18187956
  29. observations that PINCH is robustly expressed in the CNS of HIV patients suggests an important role for PINCH in HIV-associated neurodegenerative processes PMID: 18459134
  30. PINCH protein is overexpressed in tumor-associated stroma of esophageal squamous cell carcinoma. PMID: 18957717
  31. zincs are coordinated by PINCH1 LIM1, and suggests that conformational flexibility and twisting between the 2 zinc fingers within the LIM1 domain may be important for ILK binding. PMID: 19074270

Show More

Hide All

Subcellular Location
Cell junction, focal adhesion. Cell membrane; Peripheral membrane protein; Cytoplasmic side.
Tissue Specificity
Expressed in most tissues except in the brain.
Database Links

HGNC: 6616

OMIM: 602567

KEGG: hsa:3987

STRING: 9606.ENSP00000446121

UniGene: Hs.597715

icon of phone
Call us
301-363-4651 (Available 9 a.m. to 5 p.m. CST from Monday to Friday)
icon of address
Address
7505 Fannin St., Ste 610, Room 7 (CUBIO Innovation Center), Houston, TX 77054, USA
icon of social media
Join us with

Subscribe newsletter

Leave a message

* To protect against spam, please pass the CAPTCHA test below.
CAPTCHA verification
© 2007-2026 CUSABIO TECHNOLOGY LLC All rights reserved. 鄂ICP备15011166号-1
Place an order now

I. Product details

*
*
*
*

II. Contact details

*
*

III. Ship To

*
*
*
*
*
*
*

IV. Bill To

*
*
*
*
*
*
*
*