OSBPL7 Antibody

Code CSB-PA861186LA01HU
Size US$166
Order now
Image
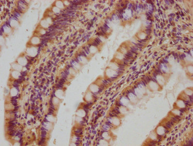
  • IHC image of CSB-PA861186LA01HU diluted at 1:100 and staining in paraffin-embedded human small intestine tissue performed on a Leica BondTM system. After dewaxing and hydration, antigen retrieval was mediated by high pressure in a citrate buffer (pH 6.0). Section was blocked with 10% normal goat serum 30min at RT. Then primary antibody (1% BSA) was incubated at 4°C overnight. The primary is detected by a biotinylated secondary antibody and visualized using an HRP conjugated SP system.

  • Immunofluorescence staining of Hela cells with CSB-PA861186LA01HU at 1:50, counter-stained with DAPI. The cells were fixed in 4% formaldehyde, permeabilized using 0.2% Triton X-100 and blocked in 10% normal Goat Serum. The cells were then incubated with the antibody overnight at 4°C. The secondary antibody was Alexa Fluor 488-congugated AffiniPure Goat Anti-Rabbit IgG(H+L).

Have Questions? Leave a Message or Start an on-line Chat

Product Details

Full Product Name
Rabbit anti-Homo sapiens (Human) OSBPL7 Polyclonal antibody
Uniprot No.
Target Names
OSBPL7
Alternative Names
OSBPL7 antibody; ORP7 antibody; Oxysterol-binding protein-related protein 7 antibody; ORP-7 antibody; OSBP-related protein 7 antibody
Raised in
Rabbit
Species Reactivity
Human
Immunogen
Recombinant Human Oxysterol-binding protein-related protein 7 protein (1-249AA)
Immunogen Species
Homo sapiens (Human)
Conjugate
Non-conjugated

The OSBPL7 Antibody (Product code: CSB-PA861186LA01HU) is Non-conjugated. For OSBPL7 Antibody with conjugates, please check the following table.

Available Conjugates
Conjugate Product Code Product Name Application
HRP CSB-PA861186LB01HU OSBPL7 Antibody, HRP conjugated ELISA
FITC CSB-PA861186LC01HU OSBPL7 Antibody, FITC conjugated
Biotin CSB-PA861186LD01HU OSBPL7 Antibody, Biotin conjugated ELISA
Clonality
Polyclonal
Isotype
IgG
Purification Method
Antigen Affinity Purified
Concentration
It differs from different batches. Please contact us to confirm it.
Buffer
Preservative: 0.03% Proclin 300
Constituents: 50% Glycerol, 0.01M PBS, pH 7.4
Form
Liquid
Tested Applications
ELISA, IHC, IF
Recommended Dilution
Application Recommended Dilution
IHC 1:20-1:200
IF 1:50-1:200
Troubleshooting and FAQs
Storage
Upon receipt, store at -20°C or -80°C. Avoid repeated freeze.
Lead Time
Basically, we can dispatch the products out in 1-3 working days after receiving your orders. Delivery time maybe differs from different purchasing way or location, please kindly consult your local distributors for specific delivery time.
Usage
For Research Use Only. Not for use in diagnostic or therapeutic procedures.

Customer Reviews and Q&A

 Customer Reviews

There are currently no reviews for this product.

Submit a Review here

Target Background

Gene References into Functions
  1. In preliminary results, significantly higher levels of OSBP2 and OSBPL-7 mRNA were seen in blood samples from cholangiocarcinoma patients than in healthy controls. PMID: 21763455
  2. ORP7 negatively regulates GS28 protein stability via sequestration of GATE-16, and may mediate the effect of 25-OH on GS28 and Golgi function. PMID: 21669198
Subcellular Location
Cytoplasm, cytosol. Endoplasmic reticulum membrane. Cell membrane.
Protein Families
OSBP family
Tissue Specificity
Expressed in epithelium of small and large intestines (at protein level). Expressed in stomach, duodenum, jejunum, ascending colon, spleen, thymus, lymph node, trachea and leukocytes.
Database Links

HGNC: 16387

OMIM: 606735

KEGG: hsa:114881

STRING: 9606.ENSP00000007414

UniGene: Hs.463320

icon of phone
Call us
301-363-4651 (Available 9 a.m. to 5 p.m. CST from Monday to Friday)
icon of address
Address
7505 Fannin St., Ste 610, Room 7 (CUBIO Innovation Center), Houston, TX 77054, USA
icon of social media
Join us with

Subscribe newsletter

Leave a message

* To protect against spam, please pass the CAPTCHA test below.
CAPTCHA verification
© 2007-2025 CUSABIO TECHNOLOGY LLC All rights reserved. 鄂ICP备15011166号-1
×
Place an order now

I. Product details

*
*
*
*

II. Contact details

*
*

III. Ship To

*
*
*
*
*
*
*

IV. Bill To

*
*
*
*
*
*
*
*