PSMD9 Antibody

Code CSB-PA212713
Size US$166
Order now
Image
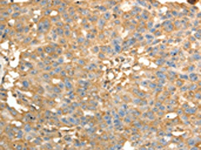
  • The image on the left is immunohistochemistry of paraffin-embedded Human liver cancer tissue using CSB-PA212713(PSMD9 Antibody) at dilution 1/40, on the right is treated with fusion protein. (Original magnification: ×200)
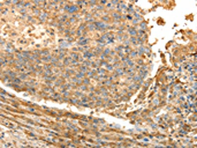
  • The image on the left is immunohistochemistry of paraffin-embedded Human ovarian cancer tissue using CSB-PA212713(PSMD9 Antibody) at dilution 1/40, on the right is treated with fusion protein. (Original magnification: ×200)
  • Gel: 12%SDS-PAGE, Lysate: 40 μg, Lane 1-3: Jurkat cells, A549 cells, Human fetal kidney tissue, Primary antibody: CSB-PA212713(PSMD9 Antibody) at dilution 1/750, Secondary antibody: Goat anti rabbit IgG at 1/8000 dilution, Exposure time: 10 seconds
Have Questions? Leave a Message or Start an on-line Chat

Product Details

Uniprot No.
Target Names
PSMD9
Alternative Names
26S proteasome non ATPase regulatory subunit 9 antibody; 26S proteasome non-ATPase regulatory subunit 9 antibody; 26S proteasome regulatory subunit p27 antibody; Homolog of rat Bridge 1 antibody; MGC8644 antibody; p27 antibody; Proteasome (prosome macropain) 26S subunit non ATPase 9 antibody; Proteasome 26S non ATPase regulatory subunit 9 antibody; Proteasome 26S subunit non ATPase 9 antibody; PSMD 9 antibody; Psmd9 antibody; PSMD9_HUMAN antibody; Rpn4 antibody
Raised in
Rabbit
Species Reactivity
Human,Mouse,Rat
Immunogen
Fusion protein of Human PSMD9
Immunogen Species
Homo sapiens (Human)
Conjugate
Non-conjugated
Isotype
IgG
Purification Method
Antigen affinity purification
Concentration
It differs from different batches. Please contact us to confirm it.
Buffer
-20°C, pH7.4 PBS, 0.05% NaN3, 40% Glycerol
Form
Liquid
Tested Applications
ELISA,WB,IHC
Recommended Dilution
Application Recommended Dilution
ELISA 1:2000-1:5000
WB 1:500-1:2000
IHC 1:50-1:200
Troubleshooting and FAQs
Storage
Upon receipt, store at -20°C or -80°C. Avoid repeated freeze.
Lead Time
Basically, we can dispatch the products out in 1-3 working days after receiving your orders. Delivery time maybe differs from different purchasing way or location, please kindly consult your local distributors for specific delivery time.
Usage
For Research Use Only. Not for use in diagnostic or therapeutic procedures.

Customer Reviews and Q&A

 Customer Reviews

There are currently no reviews for this product.

Submit a Review here

Target Background

Function
Acts as a chaperone during the assembly of the 26S proteasome, specifically of the base subcomplex of the PA700/19S regulatory complex (RC). During the base subcomplex assembly is part of an intermediate PSMD9:PSMC6:PSMC3 module, also known as modulator trimer complex; PSMD9 is released during the further base assembly process.
Gene References into Functions
  1. These data suggest that Schistosoma japonicum Sjp40 might inhibit hepatic stellate cell activation by promoting cellular senescence via SKP2/P27 signaling pathway. PMID: 28325896
  2. human epidermal growth factor receptor 2 (HER-2) levels, were correlated well with TSP50/p-Samd2/3 and TSP50/p27 expression status. Thus, our studies revealed a novel regulatory mechanism underlying TSP50-induced cell proliferation and provided a new favorable intervention target for the treatment of breast cancer PMID: 28650473
  3. Furthermore, inhibition of COPS5 resulted in an elevation of Akt expression and sensitized SOC cells to Akt inhibitor MK2206. Suppression of COPS5 and Akt offers a potential strategy for the treatment of SOC. PMID: 28919423
  4. Loss of p27 associated with risk for endometrial carcinoma arising in the setting of obesity. PMID: 26917264
  5. p53 immunopositivity was more frequent in SCC (65%) than in VC (23%) (PPMID: 26447892
  6. The PSMD9 intronic SNPs rs74421874 (IVS3+nt460 G>A) and rs3825172 (IVS3+nt437 C>T) remain significantly associated with insomnia only when taking into account anxiety -and not depression- as covariate. PMID: 26166263
  7. recurrence rate of p27 and/or PTEN-negative patients was higher than that of the positive ones,that should be followed up closely after treatment PMID: 26191286
  8. The present study provided the first evidences that miR-1470 mediated lapatinib induced p27 upregulation by targeting c-jun. PMID: 25545366
  9. Staining intensities of cell cycle inhibitors p27 and p57 significantly increased in all parts of preeclamptic placentas compared to control PMID: 24852133
  10. PSMD9 expression predicts radiotherapy response in breast cancer. PMID: 24673853
  11. Expression of Hath1, Muc2, cyclin D1 and p27 in the xenograft tumors was also detected. PMID: 23464457
  12. Describe PSMD9 gene SNPs in linkage to generalized anxiety disorder in type 2 diabetic families. PMID: 24648162
  13. The PSMD9 single nucleotide polymorphism(SNP)s IVS3+nt460, IVS3+nt437, and 197G are in linkage with overweight condition and waist circumference in Italians. PMID: 23282078
  14. Our results suggest that tuberin and p27 are aberrantly expressed in malignant breast tissue PMID: 23689538
  15. Surprisingly, we found that GRP/GRP-R differentially induced expressions of p21 and p27. Silencing GRP/GRP-R decreased p21, but it increased p27 expressions in neuroblastoma cells. PMID: 23618860
  16. PSMD9 IVS3+nt460 A>G and +nt437 C>T and exon 5 E197G A>G single nucleotide polymorphisms studied and/or any variants in linkage disequilibrium with them are linked to depression in our type 2 diabetes Italian families. PMID: 22934761
  17. the PSMD9 IVS3 + nt460, IVS3 + nt437, E197G SNPs are linked via the recessive model to microvascular pathology of type 2 diabetes (T2D) in Italians PMID: 22015693
  18. PSMD9 gene SNPs are linked to elevated blood pressure/hypertension in Italian families with type 2 diabetes. PMID: 21871126
  19. This study is the first to demonstrate the expression of Bridge-1 in human breast carcinomas. Bridge-1 expression is increased by activin A stimulation and itself seems to influence activin A signaling by affecting the expression of Smad2, 3 and 4. PMID: 21448710
  20. overexpression of Jab1, cytoplasmic p27, and pSer10p27 proteins is correlated with poor outcome in patients with glioma PMID: 21837501
  21. Brief Report: PSMD9 SNPs show linkage to carpal tunnel syndrome in Italian type 2 diabetics. PMID: 21862167
  22. genetic association studies in a population in Italy: SNPs in PSMD9 are strongly linked to diabetic neuropathy in subjects with type 2 diabetes; these associations show significance for an additive model-based inheritance. PMID: 21813292
  23. In summary, the PSMD9 IVS3+nt460, IVS3+nt437, E197G SNPs are linked to diabetic retinopathy and non-diabetic retinopathy in Italians. PMID: 21728808
  24. Data show that the PSMD9 IVS3 + nt460, IVS3 + nt437, E197G T2D risk SNPs are in linkage with diabetic nephropathy. PMID: 21439668
  25. PSMD9 SNPs IVS3 + nt460 A >G, IVS3 + nt437 C > T and E197G A > G are linked to the hypercholesterolemia phenotype in Italian type 2 diabetes families. PMID: 21554682
  26. PSMD9 IVS3+nt460A/G, +nt437C/T and exon E197G A/G SNPs are linked to coronary artery disease, stroke/TIA and macrovascular pathology of type 2 diabetes in Italians. PMID: 21496327
  27. Analysis of Gem-resistant sub lines also showed that loss of UBE2M and increased p27(Kip1) expression were associated with the acquisition of drug resistance. PMID: 21477582
  28. Cul1 regulates melanoma cell growth and cell cycle progression through degradation of p27 PMID: 20878082
  29. The expression of p53 and p27 was not related to HPV genotype in cervical carcinomas PMID: 19657726
  30. Show that the MODY3 mutation and the PSMD9 IVS3 + nt460A/IVS3 + nt437T/G197 SNPs are risk factors for type 2 diabetes in Italian families. PMID: 20069546
  31. Presence is associated with high nuclear grade, large tumor size, and poor prognosis for glioma patients. PMID: 12778072
  32. The researchers found evidence of increased positive identification of p27 following neoadjuvant therapy in colorectal cancer patients, p27 was a good predictor of FR in the pre-radiation biopsy, and p27(+) markers in specimens lived longer at 3 years. PMID: 17360176
  33. PSMD9 gene variants contribute rarely to late-onset type 2 diabetes in Italians. PMID: 17516568
  34. 8679o 78y PMID: 18694622
  35. We report a direct correlation between cyclin D3 and p27 expression in gastrointestinal stromal tumors. PMID: 18701138
  36. Bortezomib arrests the proliferation of hepatocellular carcinoma cells HepG2 and JHH6 by differentially affecting p27 level. PMID: 19041685
  37. In RCC, p27 is phosphorylated at T157 of the NLS, with increasing tumor grade associated with cytoplasmic p27. PMID: 19118035
  38. PSMD9 gene in the NIDDM2 locus is linked to type 2 diabetes in Italians. PMID: 19877155

Show More

Hide All

Protein Families
Proteasome subunit p27 family
Tissue Specificity
Expressed in all tissues tested, highly expressed in liver and kidney.
Database Links

HGNC: 9567

OMIM: 603146

KEGG: hsa:5715

STRING: 9606.ENSP00000440485

UniGene: Hs.131151

icon of phone
Call us
301-363-4651 (Available 9 a.m. to 5 p.m. CST from Monday to Friday)
icon of address
Address
7505 Fannin St., Ste 610, Room 7 (CUBIO Innovation Center), Houston, TX 77054, USA
icon of social media
Join us with

Subscribe newsletter

Leave a message

* To protect against spam, please pass the CAPTCHA test below.
CAPTCHA verification
© 2007-2025 CUSABIO TECHNOLOGY LLC All rights reserved. 鄂ICP备15011166号-1
×
Place an order now

I. Product details

*
*
*
*

II. Contact details

*
*

III. Ship To

*
*
*
*
*
*
*

IV. Bill To

*
*
*
*
*
*
*
*