RNF144B Antibody

Code CSB-PA253689
Size US$166
Order now
Image
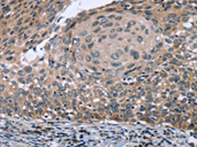
  • The image on the left is immunohistochemistry of paraffin-embedded Human lung cancer tissue using CSB-PA253689(RNF144B Antibody) at dilution 1/50, on the right is treated with fusion protein. (Original magnification: ×200)
  • The image on the left is immunohistochemistry of paraffin-embedded Human cervical cancer tissue using CSB-PA253689(RNF144B Antibody) at dilution 1/50, on the right is treated with fusion protein. (Original magnification: ×200)
  • Gel: 8%SDS-PAGE, Lysate: 40 μg, Lane: TM4 cells, Primary antibody: CSB-PA253689(RNF144B Antibody) at dilution 1/400, Secondary antibody: Goat anti rabbit IgG at 1/8000 dilution, Exposure time: 3 minutes
Have Questions? Leave a Message or Start an on-line Chat

Product Details

Uniprot No.
Target Names
RNF144B
Alternative Names
RNF144B; IBRDC2; P53RFP; E3 ubiquitin-protein ligase RNF144B; IBR domain-containing protein 2; RING finger protein 144B; p53-inducible RING finger protein
Raised in
Rabbit
Species Reactivity
Human,Mouse
Immunogen
Fusion protein of Human RNF144B
Immunogen Species
Homo sapiens (Human)
Conjugate
Non-conjugated
Isotype
IgG
Purification Method
Antigen affinity purification
Concentration
It differs from different batches. Please contact us to confirm it.
Buffer
-20°C, pH7.4 PBS, 0.05% NaN3, 40% Glycerol
Form
Liquid
Tested Applications
ELISA,WB,IHC
Recommended Dilution
Application Recommended Dilution
ELISA 1:2000-1:5000
WB 1:200-1:1000
IHC 1:50-1:200
Troubleshooting and FAQs
Storage
Upon receipt, store at -20°C or -80°C. Avoid repeated freeze.
Lead Time
Basically, we can dispatch the products out in 1-3 working days after receiving your orders. Delivery time maybe differs from different purchasing way or location, please kindly consult your local distributors for specific delivery time.
Usage
For Research Use Only. Not for use in diagnostic or therapeutic procedures.

Customer Reviews and Q&A

 Customer Reviews

There are currently no reviews for this product.

Submit a Review here

Target Background

Function
E3 ubiquitin-protein ligase which accepts ubiquitin from E2 ubiquitin-conjugating enzymes UBE2L3 and UBE2L6 in the form of a thioester and then directly transfers the ubiquitin to targeted substrates such as LCMT2, thereby promoting their degradation. Induces apoptosis via a p53/TP53-dependent but caspase-independent mechanism. However, its overexpression also produces a decrease of the ubiquitin-dependent stability of BAX, a pro-apoptotic protein, ultimately leading to protection of cell death; But, it is not an anti-apoptotic protein per se.
Gene References into Functions
  1. Low RNF144B expression is associated with gastric cancer. PMID: 27524417
  2. findings substantiate PIR2/Rnf144b as a potentially critical component of epithelial homeostasis, acting downstream of DeltaNp63alpha to regulate cellular levels of p21(WAF1/CIP1) and DeltaNp63alpha PMID: 23128396
  3. PIR2, by being induced by TAp73 and degrading DeltaNp73, differentially regulates TAp73/DeltaNp73 stability. PMID: 20615966
  4. PIR2/RNF144B/IBRDC2 regulates the stability of TAp73 and DNp73. PMID: 20615966
  5. Clinical trial of gene-disease association and gene-environment interaction. (HuGE Navigator) PMID: 20379614
  6. IBRDC2, an IBR-type RING-finger E3 ubiquitin ligase, regulates the levels of Bax and protects cells from unprompted Bax. activation and cell death. PMID: 20300062
  7. p53RFP, a p53-inducible RING-finger protein, regulates the stability of p21WAF1. PMID: 12853982

Show More

Hide All

Subcellular Location
Mitochondrion membrane; Single-pass membrane protein. Cytoplasm. Note=Mostly cytosololic, accumulates in submitochondrial domains specifically upon apoptosis induction, in synchrony with BAX activation.
Protein Families
RBR family, RNF144 subfamily
Tissue Specificity
Broadly expressed, with lowest levels in brain and thymus, and highest levels detectable in heart, ovary and testis.
Database Links

HGNC: 21578

KEGG: hsa:255488

STRING: 9606.ENSP00000259939

UniGene: Hs.148741

icon of phone
Call us
301-363-4651 (Available 9 a.m. to 5 p.m. CST from Monday to Friday)
icon of address
Address
7505 Fannin St., Ste 610, Room 7 (CUBIO Innovation Center), Houston, TX 77054, USA
icon of social media
Join us with

Subscribe newsletter

Leave a message

* To protect against spam, please pass the CAPTCHA test below.
CAPTCHA verification
© 2007-2026 CUSABIO TECHNOLOGY LLC All rights reserved. 鄂ICP备15011166号-1
Place an order now

I. Product details

*
*
*
*

II. Contact details

*
*

III. Ship To

*
*
*
*
*
*
*

IV. Bill To

*
*
*
*
*
*
*
*