SCRN2 Antibody

Code CSB-PA856936ESR2HU
Size US$166
Order now
Image
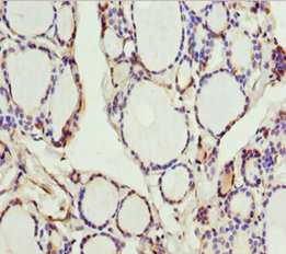
  • Immunohistochemistry of paraffin-embedded human thyroid tissue using CSB-PA856936ESR2HU at dilution of 1:100

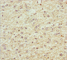
  • Immunohistochemistry of paraffin-embedded human glioma using CSB-PA856936ESR2HU at dilution of 1:100

Have Questions? Leave a Message or Start an on-line Chat

Product Details

Full Product Name
Rabbit anti-Homo sapiens (Human) SCRN2 Polyclonal antibody
Uniprot No.
Target Names
SCRN2
Alternative Names
scrn2 antibody; SCRN2_HUMAN antibody; Secernin 2 antibody; Secernin-2 antibody; Ses2 antibody
Raised in
Rabbit
Species Reactivity
Human
Immunogen
Recombinant Human Secernin-2 protein (176-425AA)
Immunogen Species
Homo sapiens (Human)
Conjugate
Non-conjugated
Clonality
Polyclonal
Isotype
IgG
Purification Method
Antigen Affinity Purified
Concentration
It differs from different batches. Please contact us to confirm it.
Buffer
PBS with 0.02% sodium azide, 50% glycerol, pH7.3.
Form
Liquid
Tested Applications
ELISA, IHC
Recommended Dilution
Application Recommended Dilution
IHC 1:20-1:200
Troubleshooting and FAQs
Storage
Upon receipt, store at -20°C or -80°C. Avoid repeated freeze.
Lead Time
Basically, we can dispatch the products out in 1-3 working days after receiving your orders. Delivery time maybe differs from different purchasing way or location, please kindly consult your local distributors for specific delivery time.
Usage
For Research Use Only. Not for use in diagnostic or therapeutic procedures.

Customer Reviews and Q&A

 Customer Reviews

There are currently no reviews for this product.

Submit a Review here

icon of phone
Call us
301-363-4651 (Available 9 a.m. to 5 p.m. CST from Monday to Friday)
icon of address
Address
7505 Fannin St., Ste 610, Room 7 (CUBIO Innovation Center), Houston, TX 77054, USA
icon of social media
Join us with

Subscribe newsletter

Leave a message

* To protect against spam, please pass the CAPTCHA test below.
CAPTCHA verification
© 2007-2025 CUSABIO TECHNOLOGY LLC All rights reserved. 鄂ICP备15011166号-1
×
Place an order now

I. Product details

*
*
*
*

II. Contact details

*
*

III. Ship To

*
*
*
*
*
*
*

IV. Bill To

*
*
*
*
*
*
*
*