SFRP5 Antibody

Code CSB-PA830021
Size US$166
Order now
Image
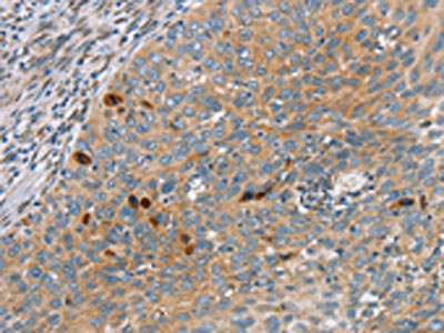
  • The image on the left is immunohistochemistry of paraffin-embedded Human thyroid cancer tissue using CSB-PA830021(SFRP5 Antibody) at dilution 1/20, on the right is treated with synthetic peptide. (Original magnification: ×200)
  • The image on the left is immunohistochemistry of paraffin-embedded Human cervical cancer tissue using CSB-PA830021(SFRP5 Antibody) at dilution 1/20, on the right is treated with synthetic peptide. (Original magnification: ×200)
Have Questions? Leave a Message or Start an on-line Chat

Product Details

Uniprot No.
Target Names
Alternative Names
SFRP5 antibody; FRP1B antibody; SARP3 antibody; Secreted frizzled-related protein 5 antibody; sFRP-5 antibody; Frizzled-related protein 1b antibody; FRP-1b antibody; Secreted apoptosis-related protein 3 antibody; SARP-3 antibody
Raised in
Rabbit
Species Reactivity
Human,Mouse
Immunogen
Synthetic peptide of Human SFRP5
Immunogen Species
Homo sapiens (Human)
Conjugate
Non-conjugated
Isotype
IgG
Purification Method
Antigen affinity purification
Concentration
It differs from different batches. Please contact us to confirm it.
Buffer
-20°C, pH7.4 PBS, 0.05% NaN3, 40% Glycerol
Form
Liquid
Tested Applications
ELISA,IHC
Recommended Dilution
Application Recommended Dilution
ELISA 1:1000-1:2000
IHC 1:25-1:100
Troubleshooting and FAQs
Storage
Upon receipt, store at -20°C or -80°C. Avoid repeated freeze.
Lead Time
Basically, we can dispatch the products out in 1-3 working days after receiving your orders. Delivery time maybe differs from different purchasing way or location, please kindly consult your local distributors for specific delivery time.
Usage
For Research Use Only. Not for use in diagnostic or therapeutic procedures.

Customer Reviews and Q&A

 Customer Reviews

There are currently no reviews for this product.

Submit a Review here

Target Background

Function
Soluble frizzled-related proteins (sFRPS) function as modulators of Wnt signaling through direct interaction with Wnts. They have a role in regulating cell growth and differentiation in specific cell types. SFRP5 may be involved in determining the polarity of photoreceptor, and perhaps, other cells in the retina.
Gene References into Functions
  1. results revealed the epigenetic silencing of SFRP5 by promoter methylation plays pivotal roles in chondrosarcoma development and metastasis through SFRP5/Wnt/beta-catenin signaling axis; modulation of their levels may serve as potential targets and diagnostic tools for novel therapeutic strategies of chondrosarcoma PMID: 30125549
  2. Sfrp5 may be an adipokine that is associated with the pathogenesis of Metabolic Syndrome in humans. PMID: 28303637
  3. Higher serum SFRP5 was inversely associated with multiple risk factors for type 2 diabetes and cardiovascular disease. PMID: 28851362
  4. This review article focuses on the effects of SFRP5 on the major systems of the body and on its association with the Wnt signaling pathways--{review} PMID: 25003224
  5. SFRP5 confers protection against oxidative stress-induced apoptosis through inhibition of beta-catenin activation and downregulation of Bax. PMID: 28834606
  6. serum concentration correlated with blood pressure in obese children and increased in response to lifestyle intervention PMID: 27882931
  7. The inverse association of serum Sfrp5 with beta-cell function suggests a detrimental role of Sfrp5 for insulin secretion also in humans. The severity of NAFLD does not appear to affect this relationship. The weak association between serum Sfrp5 and insulin sensitivity was partially explained by body mass. PMID: 27019073
  8. Results identify several coding and non-coding variants in the sFRP5 gene region, the majority of which resulted in a non-synonymous amino acid change in the protein. One of the variants (c.-3G[A) shows a trend towards association between the variant frequency and the obese phenotype. PMID: 27497818
  9. Results indicate that miR-125b can regulate SFRP5 expression and thus influence the growth and activation of cardiac fibroblasts. PMID: 27592695
  10. Decreased first trimester serum Sfrp-5 levels are significantly associated with the increased risk of gestational diabetes mellitus. PMID: 26100762
  11. Report reduced hepatic SFRP5 expression in morbidly women with NAFLD. PMID: 26256895
  12. Data suggest that serum SFRP5 levels are up-regulated in subjects with newly diagnosed type 2 diabetes as compared to prediabetic or control subjects; subjects were matched for obesity/overweight/body mass index. PMID: 25139699
  13. Sfrp5 represents a candidate for a mature adipocyte marker gene. PMID: 25324487
  14. The wnt5a/sFRP5 system is altered in human sepsis and might therefore be of interest for future studies on molecular pathophysiology of this common human disease. PMID: 25382802
  15. Serum SFRP5 is regulated by weight status and seems to be correlated with metabolic disorders in children. PMID: 24330025
  16. We were able to show a significant association of sFRP5 with both total abdominal and subcutaneous fat. The association signal was only seen in obese males in which the minor allele of rs7072751 explains 1.8 % of variance in total abdominal fat. PMID: 24287795
  17. SFRP5 and WNT5A comprise a balanced duo that may regulate metabolic homeostasis in prepubertal children. PMID: 24603290
  18. Secreted frizzled-related protein 5 suppresses inflammatory response in rheumatoid arthritis fibroblast-like synoviocytes through down-regulation of c-Jun N-terminal kinase. PMID: 24764263
  19. Serum SFRP5 levels significantly correlated with body mass index, the homeostasis model of assessment of insulin resistance, adiponectin levels, and CAD severity. Low SFRP5 levels may contribute to CAD. PMID: 24530778
  20. Therefore, cytokine release and insulin signaling were analyzed to investigate the impact of Sfrp5 on inflammation and insulin signaling in primary human adipocytes and skeletal muscle cells (hSkMC). PMID: 24465779
  21. SFRP5 gene methylation in leukemia cells activates Wnt/ss-catenin signaling to upregulate mdr1/P-gp expression and cause multidrug resistance. PMID: 24434572
  22. Wnt5a overproduction and SFRP5 deficiency in gastric mucosa may together play an important role in gastric inflammation and carcinogenesis. PMID: 24416340
  23. Epigenetic silencing of SFRP5 by hepatitis B virus X protein enhances hepatoma cell tumorigenicity through Wnt signaling pathway PMID: 24374650
  24. Sfrp5 may play a role in the pathogenesis of T2 Diabetes mellitus. PMID: 23653377
  25. Plasma levels of SFRP5 were decreased in Chinese obese and T2DM subjects. SFRP5 was an independent factor affecting glucolipid metabolism, inflammation and insulin resistance. PMID: 23290274
  26. Patients with unmethylated SFRP5 are more likely to benefit from EGFR-TKI therapy. PMID: 23009178
  27. Circulating Sfrp5 is likely to play a major role in insulin resistance in humans. PMID: 23185036
  28. findings suggest that epithelium-derived SFRP5 may play a probable defensive role in impeding gastric cancer progression, characteristically by inhibiting GEC migration induced by macrophage-derived Wnt5a via JNK signaling activation PMID: 23054609
  29. Pro-inflammatory wnt5a and anti-inflammatory sFRP5 are differentially regulated by nutritional factors in obese human subjects PMID: 22384249
  30. Promoter hypermethylation of SFRP5 is associated with Acute myeloid leukemia. PMID: 20795789
  31. data suggested that epigenetic silencing of SFRP5 leads to oncogenic activation of the Wnt pathway and contributes to ovarian cancer progression and chemoresistance through the TWIST-mediated EMT and AKT2 signaling PMID: 19957335
  32. The SFRP5 protein gene plays an important role in the pathogenesis of bladder tumor and can be detected using cellular DNA extracted from urine samples. PMID: 16609023
  33. In its role as tumor suppressor gene. SFRP5 methylation may be a novel DNA-based biomarker potentially useful in clinical breast cancer management. PMID: 18356147
  34. Loss of SFRP5 is associated with oral squamous cell carcinoma PMID: 18497987
  35. SFRP5 promoter hypermethylation was significantly more frequent in microsatellite unstable colorectal neoplasms. PMID: 18795670
  36. In multiple myeloma cell lines, hypermethylation of SFRP5 was associated with transcriptional silencing. SFRP5 methylation was restricted to advanced MM stages & plasma-cell leukemia and may play a role in disease progression. PMID: 19299079
  37. SFRP5 is downregulated and inversely correlated with MMP-7 and MT1-MMP in gastric cancer PMID: 19586554

Show More

Hide All

Subcellular Location
Secreted.
Protein Families
Secreted frizzled-related protein (sFRP) family
Tissue Specificity
Highly expressed in the retinal pigment epithelium (RPE) and pancreas. Weak expression in heart, liver and muscle.
Database Links

HGNC: 10779

OMIM: 604158

KEGG: hsa:6425

STRING: 9606.ENSP00000266066

UniGene: Hs.279565

icon of phone
Call us
301-363-4651 (Available 9 a.m. to 5 p.m. CST from Monday to Friday)
icon of address
Address
7505 Fannin St., Ste 610, Room 7 (CUBIO Innovation Center), Houston, TX 77054, USA
icon of social media
Join us with

Subscribe newsletter

Leave a message

* To protect against spam, please pass the CAPTCHA test below.
CAPTCHA verification
© 2007-2025 CUSABIO TECHNOLOGY LLC All rights reserved. 鄂ICP备15011166号-1
×
Place an order now

I. Product details

*
*
*
*

II. Contact details

*
*

III. Ship To

*
*
*
*
*
*
*

IV. Bill To

*
*
*
*
*
*
*
*