SLC44A1 Antibody

Code CSB-PA208167
Size US$166
Order now
Image
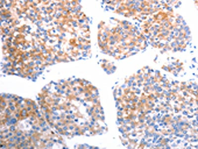
  • The image on the left is immunohistochemistry of paraffin-embedded Human liver cancer tissue using CSB-PA208167(SLC44A1 Antibody) at dilution 1/25, on the right is treated with synthetic peptide. (Original magnification: ×200)
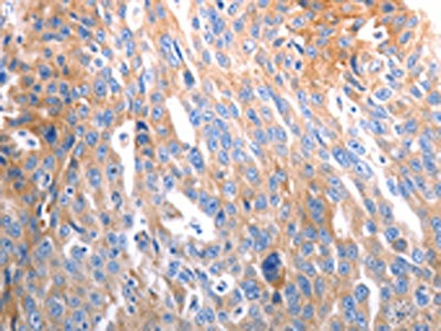
  • The image on the left is immunohistochemistry of paraffin-embedded Human ovarian cancer tissue using CSB-PA208167(SLC44A1 Antibody) at dilution 1/25, on the right is treated with synthetic peptide. (Original magnification: ×200)
Have Questions? Leave a Message or Start an on-line Chat

Product Details

Uniprot No.
Target Names
SLC44A1
Alternative Names
CD 92 antibody; CD92 antibody; CD92 antigen antibody; CD92 protein antibody; CDW 92 antibody; CDw92 antibody; CDW92 antigen antibody; Choline transporter like protein 1 antibody; Choline transporter-like protein 1 antibody; CHTL 1 antibody; CHTL1 antibody; CTL 1 antibody; CTL1 antibody; CTL1_HUMAN antibody; RP11 287A8.1 antibody; slc44a1 antibody; Solute carrier family 44 member 1 antibody
Raised in
Rabbit
Species Reactivity
Human,Mouse,Rat
Immunogen
Synthetic peptide of Human SLC44A1
Immunogen Species
Homo sapiens (Human)
Conjugate
Non-conjugated
Isotype
IgG
Purification Method
Antigen affinity purification
Concentration
It differs from different batches. Please contact us to confirm it.
Buffer
-20°C, pH7.4 PBS, 0.05% NaN3, 40% Glycerol
Form
Liquid
Tested Applications
ELISA,IHC
Recommended Dilution
Application Recommended Dilution
ELISA 1:1000-1:5000
IHC 1:25-1:100
Troubleshooting and FAQs
Storage
Upon receipt, store at -20°C or -80°C. Avoid repeated freeze.
Lead Time
Basically, we can dispatch the products out in 1-3 working days after receiving your orders. Delivery time maybe differs from different purchasing way or location, please kindly consult your local distributors for specific delivery time.
Usage
For Research Use Only. Not for use in diagnostic or therapeutic procedures.

Customer Reviews and Q&A

 Customer Reviews

There are currently no reviews for this product.

Submit a Review here

Target Background

Function
Choline transporter. Involved in membrane synthesis and myelin production.
Gene References into Functions
  1. SLC44A1 and KLF13 may be involved in tumorigenesis and the metastasis of colon cancer by miRNA regulation PMID: 29408621
  2. The differential expression pattern of CTL1 and CTL2 suggests that CTL1 is the key transporter involved in choline transport from maternal circulation and both transporters are likely involved in stromal and endothelial cell choline transport. PMID: 26601765
  3. This study showed that SLC44A1-PRKCA fusion seems to be a specific characteristic of Papillary glioneuronal tumors with a high diagnostic value. PMID: 26671581
  4. Reduced CTL1 expression is associated with postural orthostatic tachycardia syndrome. PMID: 25466896
  5. NCI-H69 cells express the choline transporter CTL1 which uses a directed H(+) gradient as a driving force, and its transport functions in co-operation with NHE1. PMID: 23948665
  6. REVIEW highlights discovery and characterization of SLC44A1, describes its expression patterns and subcellular localization and summarizes evidence for the role of this choline transporter in the central nervous system. PMID: 22483272
  7. CTL1 is expressed in both SH-SY5Y and LA-N-2 cells and is responsible for choline uptake that relies on a directed hydrogen ion gradient as a driving force. PMID: 21185344
  8. In conclusion, choline transport in A549 cells is increased by treatment with DEX, and the increase is mediated by induction of functional choline transporters CTL1 and CTL2. PMID: 20410607
  9. This study provides the first example of CHT1 expression in neurons which do not use acetylcholine as neurotransmitter. PMID: 15691711
  10. Data suggest that an impaired choline transporter-like protein-1 trafficking is the key contributing factor to reduced choline uptake, subsequent to the PMA-induced THP-1 differentiation to macrophages. PMID: 16319125
  11. characterization the 5'-flanking region of the human (h)CTL1 gene and some of the possible mechanisms of its regulation, including promoter activity, splicing, and expression PMID: 16609143
  12. SLC44A1 mRNA and protein expression were down-regulated during choline deficiency. PMID: 19357133
  13. The presence of CTL1 protein in rat and human CNS regions, where it is found in neuronal, glial and endothelial cells, suggests that malfunction of this transporter could have important implications in nervous system development and repair. PMID: 19519661

Show More

Hide All

Subcellular Location
Cell membrane; Multi-pass membrane protein. Mitochondrion outer membrane; Multi-pass membrane protein.
Protein Families
CTL (choline transporter-like) family
Tissue Specificity
Expressed in various cells of the hematopoietic system.
Database Links

HGNC: 18798

OMIM: 606105

KEGG: hsa:23446

STRING: 9606.ENSP00000363852

UniGene: Hs.573495

icon of phone
Call us
301-363-4651 (Available 9 a.m. to 5 p.m. CST from Monday to Friday)
icon of address
Address
7505 Fannin St., Ste 610, Room 7 (CUBIO Innovation Center), Houston, TX 77054, USA
icon of social media
Join us with

Subscribe newsletter

Leave a message

* To protect against spam, please pass the CAPTCHA test below.
CAPTCHA verification
© 2007-2025 CUSABIO TECHNOLOGY LLC All rights reserved. 鄂ICP备15011166号-1
×
Place an order now

I. Product details

*
*
*
*

II. Contact details

*
*

III. Ship To

*
*
*
*
*
*
*

IV. Bill To

*
*
*
*
*
*
*
*