SPDL1 Antibody

Code CSB-PA886322
Size US$166
Order now
Image
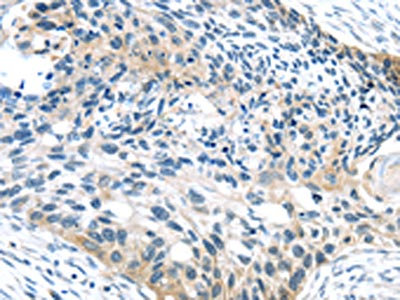
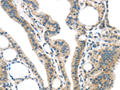
  • The image on the left is immunohistochemistry of paraffin-embedded Human thyroid cancer tissue using CSB-PA886322(SPDL1 Antibody) at dilution 1/35, on the right is treated with synthetic peptide. (Original magnification: ×200)
  • The image on the left is immunohistochemistry of paraffin-embedded Human esophagus cancer tissue using CSB-PA886322(SPDL1 Antibody) at dilution 1/35, on the right is treated with synthetic peptide. (Original magnification: ×200)
Have Questions? Leave a Message or Start an on-line Chat

Product Details

Uniprot No.
Target Names
SPDL1
Alternative Names
AA409762 antibody; Arsenite related gene 1 protein antibody; Arsenite-related gene 1 protein antibody; CCDC 99 antibody; Ccdc99 antibody; Coiled coil domain containing 99 antibody; Coiled-coil domain-containing protein 99 antibody; FLJ20364 antibody; FLJ40690 antibody; hSpindly antibody; MGC124977 antibody; Protein Spindly antibody; rhabdomyosarcoma antigen MU RMS 40.4A antibody; Rhabdomyosarcoma antigen MU-RMS-40.4A antibody; Rrhabdomyosarcoma antigen protein MU RMS 40.4A antibody; SPDL1 antibody; SPDLY_HUMAN antibody; Spindle apparatus coiled coil domain containing protein 1 antibody; Spindle apparatus coiled coil protein 1 antibody; Spindly antibody; Spindly homolog antibody
Raised in
Rabbit
Species Reactivity
Human
Immunogen
Synthetic peptide of Human SPDL1
Immunogen Species
Homo sapiens (Human)
Conjugate
Non-conjugated
Isotype
IgG
Purification Method
Antigen affinity purification
Concentration
It differs from different batches. Please contact us to confirm it.
Buffer
-20°C, pH7.4 PBS, 0.05% NaN3, 40% Glycerol
Form
Liquid
Tested Applications
ELISA,IHC
Recommended Dilution
Application Recommended Dilution
ELISA 1:2000-1:5000
IHC 1:25-1:100
Troubleshooting and FAQs
Storage
Upon receipt, store at -20°C or -80°C. Avoid repeated freeze.
Lead Time
Basically, we can dispatch the products out in 1-3 working days after receiving your orders. Delivery time maybe differs from different purchasing way or location, please kindly consult your local distributors for specific delivery time.
Usage
For Research Use Only. Not for use in diagnostic or therapeutic procedures.

Customer Reviews and Q&A

 Customer Reviews

There are currently no reviews for this product.

Submit a Review here

Target Background

Function
Required for the localization of dynein and dynactin to the mitotic kintochore. Dynein is believed to control the initial lateral interaction between the kinetochore and spindle microtubules and to facilitate the subsequent formation of end-on kinetochore-microtubule attachments mediated by the NDC80 complex. Also required for correct spindle orientation. Does not appear to be required for the removal of spindle assembly checkpoint (SAC) proteins from the kinetochore upon bipolar spindle attachment. Acts as an adapter protein linking the dynein motor complex to various cargos and converts dynein from a non-processive to a highly processive motor in the presence of dynactin. Facilitates the interaction between dynein and dynactin and activates dynein processivity (the ability to move along a microtubule for a long distance without falling off the track). Plays a role in cell migration.
Gene References into Functions
  1. Farnesylation of Spindly is essential for its localization, & thus for proper localization of dynein & dynactin, to prometaphase kinetochores. Both Spindly and CENP-E farnesylation are required for efficient chromosome congression PMID: 25808490
  2. hSpindly is farnesylated in vivo and farnesylation is essential for its interaction with the RZZ complex and hence Kinetochore localization. PMID: 25825516
  3. Spindly is not only required for kinetochore localization of dynein but is a functional component of a mechanism that couples dynein-dependent poleward movement of chromosomes to their efficient attachment to microtubules. PMID: 20427577
  4. dynein-mediated removal of Spindly from microtubule-attached kinetochores, rather than poleward transport per se, is the critical reaction in checkpoint silencing PMID: 20439434
  5. [hSpindly] Localization of human Spindly (hSpindly) to kinetochores is controlled by the Rod/Zw10/Zwilch (RZZ) complex and Aurora B. PMID: 19468067

Show More

Hide All

Subcellular Location
Cytoplasm, cytoskeleton, microtubule organizing center, centrosome. Chromosome, centromere, kinetochore. Nucleus. Cytoplasm, cytoskeleton, spindle pole. Note=Localizes to the nucleus in interphase and to the kinetochore in early prometaphase. Relocalizes to the mitotic spindle pole before metaphase and is subsequently lost from the spindle poles after chromosome congression is completed. Removal of this protein from the kinetochore requires the dynein/dynactin complex.
Protein Families
Spindly family
Database Links

HGNC: 26010

OMIM: 616401

KEGG: hsa:54908

STRING: 9606.ENSP00000265295

UniGene: Hs.368710

icon of phone
Call us
301-363-4651 (Available 9 a.m. to 5 p.m. CST from Monday to Friday)
icon of address
Address
7505 Fannin St., Ste 610, Room 7 (CUBIO Innovation Center), Houston, TX 77054, USA
icon of social media
Join us with

Subscribe newsletter

Leave a message

* To protect against spam, please pass the CAPTCHA test below.
CAPTCHA verification
© 2007-2025 CUSABIO TECHNOLOGY LLC All rights reserved. 鄂ICP备15011166号-1
×
Place an order now

I. Product details

*
*
*
*

II. Contact details

*
*

III. Ship To

*
*
*
*
*
*
*

IV. Bill To

*
*
*
*
*
*
*
*