STX10 Antibody

Code CSB-PA225382
Size US$166
Order now
Image
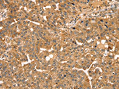
  • The image on the left is immunohistochemistry of paraffin-embedded Human esophagus cancer tissue using CSB-PA225382(STX10 Antibody) at dilution 1/35, on the right is treated with fusion protein. (Original magnification: ×200)
  • The image on the left is immunohistochemistry of paraffin-embedded Human breast cancer tissue using CSB-PA225382(STX10 Antibody) at dilution 1/35, on the right is treated with fusion protein. (Original magnification: ×200)
  • Gel: 12%SDS-PAGE, Lysate: 40 μg, Lane 1-4: A375 cells, A431 cells, lovo cells, hela cells, Primary antibody: CSB-PA225382(STX10 Antibody) at dilution 1/800, Secondary antibody: Goat anti rabbit IgG at 1/8000 dilution, Exposure time: 5 seconds
Have Questions? Leave a Message or Start an on-line Chat

Product Details

Uniprot No.
Target Names
STX10
Alternative Names
STX10 antibody; SYN10 antibody; Syntaxin-10 antibody; Syn10 antibody
Raised in
Rabbit
Species Reactivity
Human
Immunogen
Fusion protein of Human STX10
Immunogen Species
Homo sapiens (Human)
Conjugate
Non-conjugated
Isotype
IgG
Purification Method
Antigen affinity purification
Concentration
It differs from different batches. Please contact us to confirm it.
Buffer
-20°C, pH7.4 PBS, 0.05% NaN3, 40% Glycerol
Form
Liquid
Tested Applications
ELISA,WB,IHC
Recommended Dilution
Application Recommended Dilution
ELISA 1:2000-1:10000
WB 1:1000-1:5000
IHC 1:30-1:150
Troubleshooting and FAQs
Storage
Upon receipt, store at -20°C or -80°C. Avoid repeated freeze.
Lead Time
Basically, we can dispatch the products out in 1-3 working days after receiving your orders. Delivery time maybe differs from different purchasing way or location, please kindly consult your local distributors for specific delivery time.
Usage
For Research Use Only. Not for use in diagnostic or therapeutic procedures.

Customer Reviews and Q&A

 Customer Reviews

There are currently no reviews for this product.

Submit a Review here

Target Background

Function
SNARE involved in vesicular transport from the late endosomes to the trans-Golgi network.
Gene References into Functions
  1. Loss of syntaxin 10 leads to defects in normal chlamydial maturation including: variable inclusion size with fewer chlamydial organisms per inclusion, fewer infectious progeny, and delayed or halted reticulate body-elementary body differentiation. PMID: 26442221
  2. May have a hitherto unrecognized function in the trans-Golgi network-endosome boundary. PMID: 16154903
Subcellular Location
Golgi apparatus membrane; Single-pass type IV membrane protein.
Protein Families
Syntaxin family
Tissue Specificity
Expressed at high levels in heart, skeletal muscle and pancreas.
Database Links

HGNC: 11428

OMIM: 603765

KEGG: hsa:8677

STRING: 9606.ENSP00000466298

UniGene: Hs.43812

icon of phone
Call us
301-363-4651 (Available 9 a.m. to 5 p.m. CST from Monday to Friday)
icon of address
Address
7505 Fannin St., Ste 610, Room 7 (CUBIO Innovation Center), Houston, TX 77054, USA
icon of social media
Join us with

Subscribe newsletter

Leave a message

* To protect against spam, please pass the CAPTCHA test below.
CAPTCHA verification
© 2007-2026 CUSABIO TECHNOLOGY LLC All rights reserved. 鄂ICP备15011166号-1
Place an order now

I. Product details

*
*
*
*

II. Contact details

*
*

III. Ship To

*
*
*
*
*
*
*

IV. Bill To

*
*
*
*
*
*
*
*