UBP1 Antibody

Code CSB-PA271355
Size US$166
Order now
Image
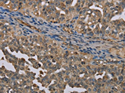
  • The image on the left is immunohistochemistry of paraffin-embedded Human ovarian cancer tissue using CSB-PA271355(UBP1 Antibody) at dilution 1/40, on the right is treated with synthetic peptide. (Original magnification: ×200)
  • Gel: 8%SDS-PAGE, Lysate: 40 μg, Lane: Hepg2 cells, Primary antibody: CSB-PA271355(UBP1 Antibody) at dilution 1/200, Secondary antibody: Goat anti rabbit IgG at 1/8000 dilution, Exposure time: 20 seconds
Have Questions? Leave a Message or Start an on-line Chat

Product Details

Uniprot No.
Target Names
UBP1
Alternative Names
UBP1 antibody; LBP1 antibody; Upstream-binding protein 1 antibody; Transcription factor LBP-1 antibody
Raised in
Rabbit
Species Reactivity
Human,Mouse
Immunogen
Synthetic peptide of Human UBP1
Immunogen Species
Homo sapiens (Human)
Conjugate
Non-conjugated
Isotype
IgG
Purification Method
Antigen affinity purification
Concentration
It differs from different batches. Please contact us to confirm it.
Buffer
-20°C, pH7.4 PBS, 0.05% NaN3, 40% Glycerol
Form
Liquid
Tested Applications
ELISA,WB,IHC
Recommended Dilution
Application Recommended Dilution
ELISA 1:2000-1:5000
WB 1:200-1:1000
IHC 1:50-1:200
Troubleshooting and FAQs
Storage
Upon receipt, store at -20°C or -80°C. Avoid repeated freeze.
Lead Time
Basically, we can dispatch the products out in 1-3 working days after receiving your orders. Delivery time maybe differs from different purchasing way or location, please kindly consult your local distributors for specific delivery time.
Usage
For Research Use Only. Not for use in diagnostic or therapeutic procedures.

Customer Reviews and Q&A

 Customer Reviews

There are currently no reviews for this product.

Submit a Review here

Target Background

Function
Functions as a transcriptional activator in a promoter context-dependent manner. Modulates the placental expression of CYP11A1. Involved in regulation of the alpha-globin gene in erythroid cells. Activation of the alpha-globin promoter in erythroid cells is via synergistic interaction with TFCP2. Involved in regulation of the alpha-globin gene in erythroid cells. Binds strongly to sequences around the HIV-1 initiation site and weakly over the TATA-box. Represses HIV-1 transcription by inhibiting the binding of TFIID to the TATA-box.
Gene References into Functions
  1. Data revealed that dimers composed of LBP-1a and LBP-1c were re-formed probably by a partner-exchange of LBP-1b-containing heterodimers. PMID: 19751393
  2. LBP-1b is an important SF1-independent transcriptional activator stimulating P450scc expression in human placental JEG-3 cells, whereas LBP-9 modulates the action of LBP-1b, exerting both positive and negative effects PMID: 15471945
  3. LBP-1b and LBP-9 both stimulate LBP-32/MGR promoter activity. PMID: 18004979
  4. UBP1 is a critical blood pressure determinant using a combination of mouse and human genetics. PMID: 19662162
Subcellular Location
Nucleus.
Protein Families
Grh/CP2 family, CP2 subfamily
Tissue Specificity
Expressed in adrenal tissue, JEG-3, NCI-H295A, Hep-G2 and HeLa cell lines.
Database Links

HGNC: 12507

OMIM: 609784

KEGG: hsa:7342

STRING: 9606.ENSP00000283628

UniGene: Hs.729120

icon of phone
Call us
301-363-4651 (Available 9 a.m. to 5 p.m. CST from Monday to Friday)
icon of address
Address
7505 Fannin St., Ste 610, Room 7 (CUBIO Innovation Center), Houston, TX 77054, USA
icon of social media
Join us with

Subscribe newsletter

Leave a message

* To protect against spam, please pass the CAPTCHA test below.
CAPTCHA verification
© 2007-2025 CUSABIO TECHNOLOGY LLC All rights reserved. 鄂ICP备15011166号-1
×
Place an order now

I. Product details

*
*
*
*

II. Contact details

*
*

III. Ship To

*
*
*
*
*
*
*

IV. Bill To

*
*
*
*
*
*
*
*