WNK2 Antibody

Code CSB-PA934165
Size US$166
Order now
Image
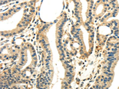
  • The image on the left is immunohistochemistry of paraffin-embedded Human thyroid cancer tissue using CSB-PA934165(WNK2 Antibody) at dilution 1/35, on the right is treated with synthetic peptide. (Original magnification: ×200)
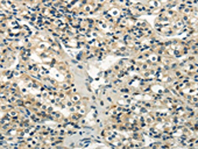
  • The image on the left is immunohistochemistry of paraffin-embedded Human prostate cancer tissue using CSB-PA934165(WNK2 Antibody) at dilution 1/35, on the right is treated with synthetic peptide. (Original magnification: ×200)
  • Gel: 6%SDS-PAGE,Lysate: 40 μg,Lane 1-2: A431 cells, MCF7 cells,Primary antibody: CSB-PA934165(WNK2 Antibody) at dilution 1/200 dilution,Secondary antibody: Goat anti rabbit IgG at 1/8000 dilution,Exposure time: 3 minutes
Have Questions? Leave a Message or Start an on-line Chat

Product Details

Uniprot No.
Target Names
WNK2
Raised in
Rabbit
Species Reactivity
Human,Mouse
Immunogen
Synthetic peptide of Human WNK2
Immunogen Species
Homo sapiens (Human)
Conjugate
Non-conjugated
Isotype
IgG
Purification Method
Antigen affinity purification
Concentration
It differs from different batches. Please contact us to confirm it.
Buffer
-20°C, pH7.4 PBS, 0.05% NaN3, 40% Glycerol
Form
Liquid
Tested Applications
ELISA,WB,IHC
Recommended Dilution
Application Recommended Dilution
ELISA 1:1000-1:2000
WB 1:200-1:1000
IHC 1:25-1:100
Troubleshooting and FAQs
Storage
Upon receipt, store at -20°C or -80°C. Avoid repeated freeze.
Lead Time
Basically, we can dispatch the products out in 1-3 working days after receiving your orders. Delivery time maybe differs from different purchasing way or location, please kindly consult your local distributors for specific delivery time.
Usage
For Research Use Only. Not for use in diagnostic or therapeutic procedures.

Related Products

Customer Reviews and Q&A

 Customer Reviews

There are currently no reviews for this product.

Submit a Review here

Target Background

Function
Serine/threonine kinase which plays an important role in the regulation of electrolyte homeostasis, cell signaling, survival, and proliferation. Acts as an activator and inhibitor of sodium-coupled chloride cotransporters and potassium-coupled chloride cotransporters respectively. Activates SLC12A2, SCNN1A, SCNN1B, SCNN1D and SGK1 and inhibits SLC12A5. Negatively regulates the EGF-induced activation of the ERK/MAPK-pathway and the downstream cell cycle progression. Affects MAPK3/MAPK1 activity by modulating the activity of MAP2K1 and this modulation depends on phosphorylation of MAP2K1 by PAK1. WNK2 acts by interfering with the activity of PAK1 by controlling the balance of the activity of upstream regulators of PAK1 activity, RHOA and RAC1, which display reciprocal activity.
Subcellular Location
Cytoplasm. Cell membrane.
Protein Families
Protein kinase superfamily, Ser/Thr protein kinase family, WNK subfamily
Tissue Specificity
Expressed in various cancer cell lines (at protein level). Predominantly expressed in heart, brain, skeletal muscle and colon.
Database Links

HGNC: 14542

OMIM: 606249

KEGG: hsa:65268

STRING: 9606.ENSP00000297954

UniGene: Hs.654856

icon of phone
Call us
301-363-4651 (Available 9 a.m. to 5 p.m. CST from Monday to Friday)
icon of address
Address
7505 Fannin St., Ste 610, Room 7 (CUBIO Innovation Center), Houston, TX 77054, USA
icon of social media
Join us with

Subscribe newsletter

Leave a message

* To protect against spam, please pass the CAPTCHA test below.
CAPTCHA verification
© 2007-2026 CUSABIO TECHNOLOGY LLC All rights reserved. 鄂ICP备15011166号-1
Place an order now

I. Product details

*
*
*
*

II. Contact details

*
*

III. Ship To

*
*
*
*
*
*
*

IV. Bill To

*
*
*
*
*
*
*
*