ZFAND2A Antibody

Code CSB-PA057570
Size US$166
Order now
Image
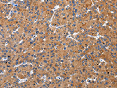
  • The image on the left is immunohistochemistry of paraffin-embedded Human liver cancer tissue using CSB-PA057570(ZFAND2A Antibody) at dilution 1/30, on the right is treated with synthetic peptide. (Original magnification: ×200)
  • The image on the left is immunohistochemistry of paraffin-embedded Human esophagus cancer tissue using CSB-PA057570(ZFAND2A Antibody) at dilution 1/30, on the right is treated with synthetic peptide. (Original magnification: ×200)
  • Gel: 12%SDS-PAGE, Lysate: 40 μg, Lane: Human normal kidney tissue, Primary antibody: CSB-PA057570(ZFAND2A Antibody) at dilution 1/300 dilution, Secondary antibody: Goat anti rabbit IgG at 1/8000 dilution, Exposure time: 2 minutes
Have Questions? Leave a Message or Start an on-line Chat

Product Details

Uniprot No.
Target Names
ZFAND2A
Alternative Names
ZFAND2A antibody; AN1-type zinc finger protein 2A antibody
Raised in
Rabbit
Species Reactivity
Human
Immunogen
Synthetic peptide of Human ZFAND2A
Immunogen Species
Homo sapiens (Human)
Conjugate
Non-conjugated
Isotype
IgG
Purification Method
Antigen affinity purification
Concentration
It differs from different batches. Please contact us to confirm it.
Buffer
-20°C, pH7.4 PBS, 0.05% NaN3, 40% Glycerol
Form
Liquid
Tested Applications
ELISA,WB,IHC
Recommended Dilution
Application Recommended Dilution
ELISA 1:1000-1:2000
WB 1:200-1:1000
IHC 1:25-1:100
Troubleshooting and FAQs
Storage
Upon receipt, store at -20°C or -80°C. Avoid repeated freeze.
Lead Time
Basically, we can dispatch the products out in 1-3 working days after receiving your orders. Delivery time maybe differs from different purchasing way or location, please kindly consult your local distributors for specific delivery time.
Usage
For Research Use Only. Not for use in diagnostic or therapeutic procedures.

Customer Reviews and Q&A

 Customer Reviews

There are currently no reviews for this product.

Submit a Review here

Target Background

Gene References into Functions
  1. arsenite- inducible regulatory particle-associated protein (AIRAP) transcript to be translationally induced during arsenite stress conditions. PMID: 24898249
  2. Data indicate that both heat shock factors HSF1 and HSF2 are recruited to the arsenite-inducible RNA-associated protein (AIRAP) promoter and regulate bortezomib-induced AIRAP expression. PMID: 24619424
  3. The HSF1 binding HSE sequence in the AIRAP promoter critical for heat-induced transcription was identified. PMID: 20185824
Subcellular Location
Cytoplasm. Nucleus.
Database Links

HGNC: 28073

OMIM: 610699

KEGG: hsa:90637

STRING: 9606.ENSP00000314619

UniGene: Hs.648111

icon of phone
Call us
301-363-4651 (Available 9 a.m. to 5 p.m. CST from Monday to Friday)
icon of address
Address
7505 Fannin St., Ste 610, Room 7 (CUBIO Innovation Center), Houston, TX 77054, USA
icon of social media
Join us with

Subscribe newsletter

Leave a message

* To protect against spam, please pass the CAPTCHA test below.
CAPTCHA verification
© 2007-2026 CUSABIO TECHNOLOGY LLC All rights reserved. 鄂ICP备15011166号-1
Place an order now

I. Product details

*
*
*
*

II. Contact details

*
*

III. Ship To

*
*
*
*
*
*
*

IV. Bill To

*
*
*
*
*
*
*
*