ASH2L Recombinant Monoclonal Antibody

Code CSB-RA014345A0HU
Size US$210
Order now
Image
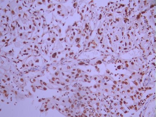
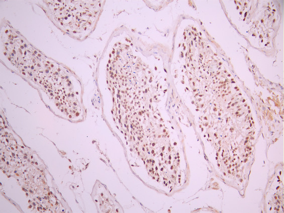
  • IHC image of CSB-RA014345A0HU diluted at 1:100 and staining in paraffin-embedded human testis tissue performed on a Leica BondTM system. After dewaxing and hydration, antigen retrieval was mediated by high pressure in a citrate buffer (pH 6.0). Section was blocked with 10% normal goat serum 30min at RT. Then primary antibody (1% BSA) was incubated at 4°C overnight. The primary is detected by a Goat anti-rabbit polymer IgG labeled by HRP and visualized using 0.05% DAB.
  • IHC image of CSB-RA014345A0HU diluted at 1:100 and staining in paraffin-embedded human cervical cancer performed on a Leica BondTM system. After dewaxing and hydration, antigen retrieval was mediated by high pressure in a citrate buffer (pH 6.0). Section was blocked with 10% normal goat serum 30min at RT. Then primary antibody (1% BSA) was incubated at 4°C overnight. The primary is detected by a Goat anti-rabbit polymer IgG labeled by HRP and visualized using 0.05% DAB.
  • Overlay Peak curve showing MCF-7 cells stained with CSB-RA014345A0HU (red line) at 1:100. The cells were fixed in 4% formaldehyde and permeated by 0.2% TritonX-100 for 10min. Then 10% normal goat serum to block non-specific protein-protein interactions followed by the antibody (1ug/1*106cells) for 45min at 4℃. The secondary antibody used was FITC-conjugated goat anti-rabbit IgG (H+L) at 1/200 dilution for 35min at 4℃.Control antibody (green line) was Rabbit IgG (1ug/1*106cells) used under the same conditions. Acquisition of >10, 000 events was performed.
Have Questions? Leave a Message or Start an on-line Chat

Product Details

Uniprot No.
Target Names
ASH2L
Alternative Names
ASH 2 antibody; Ash2 (absent small or homeotic) like antibody; Ash2 (absent; small; or homeotic) like (Drosophila) antibody; ASH2 antibody; ASH2 LIKE antibody; ASH2 like protein antibody; ASH2-like protein antibody; Ash2l antibody; ASH2L_HUMAN antibody; ASH2L1 antibody; ASH2L2 antibody; Bre 2 antibody; Bre2 antibody; Discs 2-like antibody; Drosophila absent; small; or homeotic antibody; Drosophila ASH2-like antibody; Set1/Ash2 histone methyltransferase complex subunit ASH2 antibody
Species Reactivity
Human
Immunogen
A synthesized peptide from human ASH2L protein
Immunogen Species
Homo sapiens (Human)
Conjugate
Non-conjugated
Clonality
Monoclonal
Isotype
Rabbit IgG
Clone No.
6C1
Purification Method
Affinity-chromatography
Concentration
It differs from different batches. Please contact us to confirm it.
Buffer
Rabbit IgG in 10mM phosphate buffered saline , pH 7.4, 150mM sodium chloride, 0.05% BSA, 0.02% sodium azide and 50% glycerol.
Form
Liquid
Tested Applications
ELISA, IHC, FC
Recommended Dilution
Application Recommended Dilution
IHC 1:50-1:200
FC 1:50-1:200
Troubleshooting and FAQs
Storage
Upon receipt, store at -20°C or -80°C. Avoid repeated freeze.
Lead Time
Basically, we can dispatch the products out in 1-3 working days after receiving your orders. Delivery time maybe differs from different purchasing way or location, please kindly consult your local distributors for specific delivery time.
Usage
For Research Use Only. Not for use in diagnostic or therapeutic procedures.

Customer Reviews and Q&A

 Customer Reviews

There are currently no reviews for this product.

Submit a Review here

Target Background

Function
Transcriptional regulator. Component or associated component of some histone methyltransferase complexes which regulates transcription through recruitment of those complexes to gene promoters. Component of the Set1/Ash2 histone methyltransferase (HMT) complex, a complex that specifically methylates 'Lys-4' of histone H3, but not if the neighboring 'Lys-9' residue is already methylated. As part of the MLL1/MLL complex it is involved in methylation and dimethylation at 'Lys-4' of histone H3. May play a role in hematopoiesis. In association with RBBP5 and WDR5, stimulates the histone methyltransferase activities of KMT2A, KMT2B, KMT2C, KMT2D, SETD1A and SETD1B.
Gene References into Functions
  1. our results suggest that ASH2L contributes to leukemogenesis by cooperating with other proteins that aberrantly upregulate cellular growth and proliferation pathways. PMID: 28185526
  2. different cancer mutations in MLL1 lead to a loss or increase in activity, illustrating the complex and tumor-specific role of MLL1 in carcinogenesis. PMID: 28182322
  3. Overall, epigenetic modulation is a promising approach to evaluate the role of chromatin structure for the radioresponsiveness of glioma cell lines. PMID: 28044469
  4. Data suggest an interplay between megakaryocytic leukemia 1 (MKL1) and ASH2 protein to promote tumor necrosis factor alpha (TNF-alpha) induced proinflammatory transcription in macrophages. PMID: 28218970
  5. the histone methyltransferase core enzyme ASH2L was bound at EGFR in the germinal matrix and in gliomas where levels of H3K4me3 are high, and the histone acetyltransferase P300 was bound in samples with H3K27ac enrichment PMID: 25996283
  6. Ash2L acts in concert with P53 promoter occupancy to activate RNA Polymerase II by aiding formation of a stable transcription pre-initiation complex required for its activation. PMID: 25023704
  7. ASH2L enhances ERalpha expression as a coactivator of GATA3 in breast cancers PMID: 25258321
  8. Non active site mutations in the MLL1 SET domain render the protein defective for H3K4 dimethylation by the MLL1 core complex, which is associated with a loss of the ability of MLL1 to interact with WRAD or with the RbBP5/Ash2L heterodimer. PMID: 24680668
  9. H2B dependent regulation of MLL family histone methylatransferases depends on the N-terminal WH motif of ASH2L. PMID: 23453805
  10. crystal structure of the C-terminal SPRY domain of human Ash2L PMID: 22231628
  11. The structure shows that Ash2L contains an atypical PHD finger that does not have histone tail-binding activity. PMID: 21660059
  12. ASH2L binds DNA using a forkhead-like helix-wing-helix (HWH) domain. PMID: 21642971
  13. NF-Y acts upstream of H3K4me3 deposition by recruiting Ash2L PMID: 21445285
  14. Protein-arginine methyltransferase 1 (PRMT1) methylates Ash2L, a shared component of mammalian histone H3K4 methyltransferase complexes. PMID: 21285357
  15. Data suggest that both Ash2L/RbBP5 and the MLL1 SET domain make direct contacts with the substrates and contribute to the formation of a joint catalytic center. PMID: 21124902
  16. Results show that Depletion of CHD8 enhances HOXA2 expression and a loss of the WDR5/Ash2L/RbBP5 subcomplex. PMID: 20085832
  17. Ash2l and Saf-A are recruited to the inactive X chromosome at the onset of stable X inactivation. PMID: 20150277
  18. high dimethylation of histone H3 at lysine 4 expression is rare in hepatocellular carcinoma compared with other carcinomas, possibly due to complex epigenetic regulation involving Ash2 PMID: 19896696
  19. These findings offer insight into the molecular role of ASH2L, and by extension that of WDR5, in proper H3K4 trimethylation. PMID: 16892064
  20. Although hASH2 expression at the mRNA level was not deregulated, hASH2 protein expression was increased in most human tumors and tumor cell lines. Knockdown of hASH2 inhibited tumor cell proliferation. These show hASH2 as a novel oncoprotein. PMID: 18245475
  21. The identified components revealed factors involved in histone methylation and cell cycle control and include Ash2L, RbBP5, WDR5, HCF-1, DBC-1, and EMSY. PMID: 19131338

Show More

Hide All

Subcellular Location
Nucleus.
Tissue Specificity
Ubiquitously expressed. Predominantly expressed in adult heart and testis and fetal lung and liver, with barely detectable expression in adult lung, liver, kidney, prostate, and peripheral leukocytes.
Database Links

HGNC: 744

OMIM: 604782

KEGG: hsa:9070

STRING: 9606.ENSP00000340896

UniGene: Hs.521530

icon of phone
Call us
301-363-4651 (Available 9 a.m. to 5 p.m. CST from Monday to Friday)
icon of address
Address
7505 Fannin St., Ste 610, Room 7 (CUBIO Innovation Center), Houston, TX 77054, USA
icon of social media
Join us with

Subscribe newsletter

Leave a message

* To protect against spam, please pass the CAPTCHA test below.
CAPTCHA verification
© 2007-2025 CUSABIO TECHNOLOGY LLC All rights reserved. 鄂ICP备15011166号-1
×
Place an order now

I. Product details

*
*
*
*

II. Contact details

*
*

III. Ship To

*
*
*
*
*
*
*

IV. Bill To

*
*
*
*
*
*
*
*