ASNS Recombinant Monoclonal Antibody

Code CSB-RA576831A0HU
Size US$210
Order now
Image
  • Western Blot
    , Positive WB detected in:K562 whole cell lysate(30µg)
    All lanes: Asparagine synthetase antibody at 1:1000
    Secondary
    Goat polyclonal to rabbit IgG at 1/40000 dilution
    Predicted band size: 64 kDa
    Observed band size: 64 kDa
    Exposure time:180s
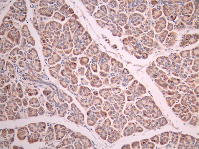
  • IHC image of CSB-RA576831A0HU diluted at 1:100 and staining in paraffin-embedded human pancreatic tissue performed on a Leica BondTM system. After dewaxing and hydration, antigen retrieval was mediated by high pressure in a citrate buffer (pH 6.0). Section was blocked with 10% normal goat serum 30min at RT. Then primary antibody (1% BSA) was incubated at 4°C overnight. The primary is detected by a Goat anti-rabbit polymer IgG labeled by HRP and visualized using 0.05% DAB.
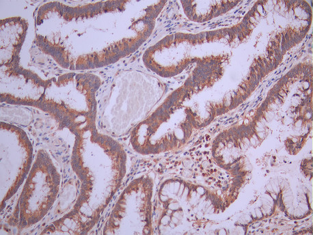
  • IHC image of CSB-RA576831A0HU diluted at 1:100 and staining in paraffin-embedded human gastric cancer performed on a Leica BondTM system. After dewaxing and hydration, antigen retrieval was mediated by high pressure in a citrate buffer (pH 6.0). Section was blocked with 10% normal goat serum 30min at RT. Then primary antibody (1% BSA) was incubated at 4°C overnight. The primary is detected by a Goat anti-rabbit polymer IgG labeled by HRP and visualized using 0.05% DAB.
Have Questions? Leave a Message or Start an on-line Chat

Product Details

Uniprot No.
Target Names
ASNS
Alternative Names
asnS antibody; ASNS_HUMAN antibody; ASNSD antibody; Asparagine synthetase [glutamine-hydrolyzing] antibody; Asparagine synthetase antibody; Cell cycle control protein TS11 antibody; Glutamine dependent asparagine synthetase 3 antibody; Glutamine dependent asparagine synthetase antibody; Glutamine hydrolyzing antibody; Glutamine-dependent asparagine synthetase antibody; OTTHUMP00000024510 antibody; OTTHUMP00000204938 antibody; OTTHUMP00000204939 antibody; OTTHUMP00000204940 antibody; OTTHUMP00000204941 antibody; OTTHUMP00000204942 antibody; TS11 antibody; TS11 cell cycle control protein antibody
Species Reactivity
Human
Immunogen
A synthesized peptide from human ASNS protein
Immunogen Species
Homo sapiens (Human)
Conjugate
Non-conjugated
Clonality
Monoclonal
Isotype
Rabbit IgG
Clone No.
1E2
Purification Method
Affinity-chromatography
Concentration
It differs from different batches. Please contact us to confirm it.
Buffer
Rabbit IgG in 10mM phosphate buffered saline , pH 7.4, 150mM sodium chloride, 0.05% BSA, 0.02% sodium azide and 50% glycerol.
Form
Liquid
Tested Applications
ELISA, WB, IHC
Recommended Dilution
Application Recommended Dilution
WB 1:500-1:5000
IHC 1:50-1:200
Troubleshooting and FAQs
Storage
Upon receipt, store at -20°C or -80°C. Avoid repeated freeze.
Lead Time
Basically, we can dispatch the products out in 1-3 working days after receiving your orders. Delivery time maybe differs from different purchasing way or location, please kindly consult your local distributors for specific delivery time.
Usage
For Research Use Only. Not for use in diagnostic or therapeutic procedures.

Customer Reviews and Q&A

 Customer Reviews

There are currently no reviews for this product.

Submit a Review here

Target Background

Gene References into Functions
  1. basal ASNS expression at protein levels was significantly correlated with sensitivity to combined treatment. These results provide mechanistic insights into the role of GCN2 in the amino acid response and a rationale for further investigation of GCN2 inhibitors for the treatment of cancer. PMID: 30061420
  2. The expression of ASNS was significantly elevated when ATF6 was over expressed. The expressions of these 2 genes were both decreased in hepatocellular carcinoma (HCC)patients, and it was more significantly with ASNS. The mRNA levels of ASNS and ATF6 were positively correlated with each other. rs34050735 was associated with HCC in the case-control study and also an independent predictor of overall survival of HCC patients. PMID: 28629319
  3. our study demonstrated that ASNS had an important role in the growth of human lung cancer cells by inhibiting the proliferation and arresting cell cycle of lung cancer cells PMID: 27444726
  4. review of ASNS function, structure, mutations and roles in genetic disease and asparaginase drug resistance PMID: 29084849
  5. Transient knockdown of ASNS inhibited cell proliferation and colony formation in AGS and MKN-45 cells. Stable knockdown of ASNS conferred sensitivity to cisplatin in these cells. Depletion of ASNS and cisplatin treatment exerted synergistic effects on tumor growth in AGS xenografts. Moreover, ASNS was found to be up-regulated in human gastric cancer tissues compared with matched normal colon tissues. PMID: 27251594
  6. role of ASNS in melanoma cells A375 and human epidermoid carcinoma cell line A431 PMID: 25858017
  7. Polymorphisms of ASNS are associated with an increased risk of asparaginase-related complications in children with acute lymphoblastic leukemia. PMID: 24907114
  8. Data shows that high ASNS expression in NK/T cell lymphoma is correlated with worse clinicopathological features. PMID: 24913732
  9. ASNS deficiency is correlated with poor therapeutic response and worse survivals in patients with rectal cancer receiving neoadjuvant CCRT PMID: 24729124
  10. cell differentiation was enhanced when asparagine in the culture media was depleted by an addition of L-asparaginase, indicating that downregulation of asparagine synthetase gene expression PMID: 24398846
  11. ASNS and MMP19, along with eIF3a, are the sensitivity factors for cisplatin treatment and may serve as potential candidate molecular markers for predicting cisplatin sensitivity of advanced nasopharyngeal carcinoma. PMID: 23956056
  12. A conditional interaction between the ASNS polymorphism and an early response to chemotherapy among pediatric patients with acute lymphoblastic leukemia. PMID: 24268318
  13. study indicates that asparagine synthesis is essential for the development and function of the brain. PMID: 24139043
  14. expression of ASNS was higher in hepatocellular carcinoma tissues; expression of ASNS is an independent factor affecting the survival of HCC patients, and low ASNS expression in HCC was correlated with worse surgical outcomes PMID: 23764751
  15. Identifying the roles of ASNS in fetal development, tissue differentiation, and tumor growth may reveal that ASNS function extends beyond asparagine biosynthesis. PMID: 23403946
  16. Subcellular translocation of asparagine synthetase may play an important role in L-asparaginase resistance in leukemia cells. PMID: 21505976
  17. Activation of asparagine synthetase by amino acid limitation results in dynamic changes in genomic histone association. PMID: 22978410
  18. AsnS mRNA expression level in tumor cells reflects the sensitivity of cells to L-asparaginase. PMID: 20561401
  19. High expression of asparagine synthetase is associated with a poor outcome in ALL children. PMID: 19035175
  20. Role of Sp1 and Sp3 in the nutrient-regulated expression of the human asparagine synthetase gene PMID: 11867623
  21. ATF4 is a mediator of the nutrient-sensing response pathway that activates asparagine synthetase gene PMID: 11960987
  22. Genomic sequences necessary for transcriptional activation by amino acid deprivation of mammalian cells. activation of asparagine synthetase gene by endoplasmic reticulum stress. PMID: 12097650
  23. documentation of the comparison between CHOP and AS transcriptional control elements used by the amino acid pathway PMID: 12351626
  24. ATF3-FL and C/EBPbeta act as transcriptional suppressors for the ASNS gene to counterbalance the transcription rate activated by ATF4 following amino acid deprivation PMID: 15385533
  25. The Asparagine Synthetase), which is a housekeeping gene, is repressed and the promoting region of the gene is highly methylated. PMID: 15674423
  26. coorelation between methylation of ASNS and acute lymphoblastic leukemia PMID: 16598302
  27. results suggest that the presence of MELAS and NARP mtDNA mutations elicits upregulation of CHOP and ASNS genes through the elevation of ATF4 expression and its binding to the amino acid regulatory element and nutrient-sensing response element-1 PMID: 17276738
  28. RNA interference decreases capacity of mesenchymal stem cells to protect acute lymphoblastic leukemia cells from asparaginase, whereas enforced ASNS expression conferred enhanced protection. PMID: 17380207
  29. ASNS (asparagine synthetase) transcription activity was up-regulated in HepG2 cells treated with the UPR activators thapsigargin and tunicamycin PMID: 18840095
  30. These findings provide rationale for evaluation of ASNS protein expression as a predictive biomarker of clinical L-ASP activity in ovarian cancer. PMID: 18852115
  31. CHOP is a member of the transcription factor network that controls the stress-induced regulation of specific C/EBP-ATF4-containing genes, such as ASNS PMID: 18940792
  32. DNA polymorphism of a tandem repeated sequence is associated with the asparagine synthetase gene in acute lymphoblastic leukemia PMID: 19054556
  33. Declined asparagine synthetase mRNA expression and enhanced sensitivity to asparaginase in HL-60 cells committed to monocytic differentiation. PMID: 19414379
  34. ASNS protein expression predicts L-asparaginase chemotherapeutic activity in a large, diverse set of ovarian cancer cell lines. PMID: 18852115
  35. ASNS RNAi potentiates L-asparaginase chemotherapeutic activity in ovarian cancer cell lines from the NCI-60, and ASNS mRNA expression predicts L-asparaginase activity in the ovarian subpanel of the NCI-60. PMID: 17088436

Show More

Hide All

Involvement in disease
Asparagine synthetase deficiency (ASNSD)
Database Links

HGNC: 753

OMIM: 108370

KEGG: hsa:440

STRING: 9606.ENSP00000175506

UniGene: Hs.489207

icon of phone
Call us
301-363-4651 (Available 9 a.m. to 5 p.m. CST from Monday to Friday)
icon of address
Address
7505 Fannin St., Ste 610, Room 7 (CUBIO Innovation Center), Houston, TX 77054, USA
icon of social media
Join us with

Subscribe newsletter

Leave a message

* To protect against spam, please pass the CAPTCHA test below.
CAPTCHA verification
© 2007-2025 CUSABIO TECHNOLOGY LLC All rights reserved. 鄂ICP备15011166号-1
×
Place an order now

I. Product details

*
*
*
*

II. Contact details

*
*

III. Ship To

*
*
*
*
*
*
*

IV. Bill To

*
*
*
*
*
*
*
*