BUB3 Recombinant Monoclonal Antibody

Code CSB-RA126057A0HU
Size US$210
Order now
Image
  • Flow cytometric analysis of BUB3 expression in HepG2 cells using BUB3 antibody. Green, isotype control; red, BUB3.
  • Immunocytochemical staining of HepG2 cells with BUB3 antibody. Nuclei were stained blue with DAPI; BUB3 was stained magenta with Alexa Fluor® 647. Images were taken using leica stellaris 5. Protein abundance based on laser intensity and smart gain: Medium. Scale bar: 20 μm.
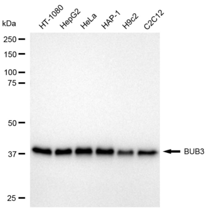
  • Western blotting analysis using BUB3 antibody. Total cell lysates (30 μg) from various cell lines were loaded and separated by SDS-PAGE. The blot was incubated with BUB3 antibody and HRP-conjugated goat anti-rabbit secondary antibody respectively.
Have Questions? Leave a Message or Start an on-line Chat

Product Details

Uniprot No.
Target Names
Alternative Names
BUB3; BUB3 Mitotic Checkpoint Protein; BUB3L; Mitotic Checkpoint Protein BUB3; BUB3 (Budding Uninhibited By Benzimidazoles 3, Yeast) Homolog; Budding Uninhibited By Benzimidazoles 3 Homolog (Yeast); BUB3 Budding Uninhibited By Benzimidazoles 3 Homolog; Budding Uninhibited By Benzimidazoles 3 Homolog; Testicular Tissue Protein Li 27; Budding Uninhibited By Benomyl; Mitotic Checkpoint Component; HBUB3
Species Reactivity
Human, Mouse, Rat
Immunogen
Recombinant Human BUB3 protein
Immunogen Species
Homo sapiens (Human)
Conjugate
Non-conjugated
Clonality
Monoclonal
Isotype
Rabbit IgG
Clone No.
12E5
Purification Method
Affinity-chromatography
Concentration
It differs from different batches. Please contact us to confirm it.
Buffer
Rabbit IgG in PBS (pH 7.4) containing 50% glycerol, and 0.02% sodium azide.
Form
Liquid
Tested Applications
ELISA, WB, FC, ICC
Recommended Dilution
Application Recommended Dilution
WB 1:1000-1:5000
FC 1:200-1:2000
ICC 1:100-1:1000
Troubleshooting and FAQs
Storage
Upon receipt, store at -20°C or -80°C. Avoid repeated freeze.
Lead Time
Basically, we can dispatch the products out in 1-3 working days after receiving your orders. Delivery time maybe differs from different purchasing way or location, please kindly consult your local distributors for specific delivery time.
Usage
For Research Use Only. Not for use in diagnostic or therapeutic procedures.

Customer Reviews and Q&A

 Customer Reviews

There are currently no reviews for this product.

Submit a Review here

Target Background

Function
Has a dual function in spindle-assembly checkpoint signaling and in promoting the establishment of correct kinetochore-microtubule (K-MT) attachments. Promotes the formation of stable end-on bipolar attachments. Necessary for kinetochore localization of BUB1. Regulates chromosome segregation during oocyte meiosis. The BUB1/BUB3 complex plays a role in the inhibition of anaphase-promoting complex or cyclosome (APC/C) when spindle-assembly checkpoint is activated and inhibits the ubiquitin ligase activity of APC/C by phosphorylating its activator CDC20. This complex can also phosphorylate MAD1L1.
Gene References into Functions
  1. Small sequence differences in Bub1 and BubR1 direct Bub3 to different phosphorylated targets in the spindle assembly checkpoint signaling cascade. PMID: 28943088
  2. The integrity of the mitotic checkpoint complex depends on the specific recognition between BubR1 and Bub3, for which the BubR1 Gle2 binding sequence motif is essential. PMID: 27030009
  3. We show that kinetochore recruitment of BUBR1 and BUB3 by BUB1 is dispensable for SAC activation PMID: 26148513
  4. a mutual antagonism exists between Bub3 and dynein to ensure optimal KT-MT attachments PMID: 26526612
  5. the mechanisms of BUB3 in mitotic checkpoint signaling PMID: 25814666
  6. Data show sequential multisite regulation of the microtubule-associated protein KNL1-kinase-adaptor complex BUB1/BUB3 interaction. PMID: 25661489
  7. Data indicate that cell cycle protein Bub3-mediated kinetochore recruitment of BubR1 kinase enhances mitotic checkpoint signaling. PMID: 25246557
  8. Results suggest that these USP7-dependent effects are mediated by decreased levels of spindle assembly checkpoint (SAC) component Bub3. PMID: 25003721
  9. Mutations targeting the Bub3 interface prevent kinetochore recruitment of the SAC kinase Bub1. Crucially, they also cause a checkpoint defect, showing that recognition of phosphorylated targets by Bub3 is required for checkpoint signaling PMID: 24066227
  10. Results showed that neither variants in BUB3 nor variants in MAD2L1 caused any significant effect on the risk of breast cancer PMID: 24711138
  11. Mutations in BUB1 and BUB3 cause mosaic variegated aneuploidy and increase the risk of colorectal cancer at a young age. PMID: 23747338
  12. These results indicate that Bub3 and Cdc20 play additional roles in the integration of cell cycle arrest as transcriptional repressors. PMID: 15388328
  13. Allelic loss at 10q26 in osteosarcoma is reported in the region of BUB3. PMID: 15796961
  14. subpopulation of dynein, containing the DYNLT3 light chain, may be important for chromosome congression, in addition to having a role in the transport of checkpoint proteins from the kinetochore to the spindle pole PMID: 17289665
  15. Using RNA interference and high-resolution microscopy, we analyzed kinetochore-microtubule attachments in Bub3-depleted cells and compared them to those in Bub1- or BubR1-depleted cells. PMID: 18199686
  16. Results suggest a novel molecular mechanism leading to aneuploidy involving interference of TAp73alpha with Bub1 and Bub3 resulting in an altered mitotic checkpoint. PMID: 19182530

Show More

Hide All

Subcellular Location
Nucleus. Chromosome, centromere, kinetochore.
Protein Families
WD repeat BUB3 family
Database Links

HGNC: 1151

OMIM: 603719

KEGG: hsa:9184

STRING: 9606.ENSP00000357858

UniGene: Hs.418533

icon of phone
Call us
301-363-4651 (Available 9 a.m. to 5 p.m. CST from Monday to Friday)
icon of address
Address
7505 Fannin St., Ste 610, Room 7 (CUBIO Innovation Center), Houston, TX 77054, USA
icon of social media
Join us with

Subscribe newsletter

Leave a message

* To protect against spam, please pass the CAPTCHA test below.
CAPTCHA verification
© 2007-2025 CUSABIO TECHNOLOGY LLC All rights reserved. 鄂ICP备15011166号-1
×
Place an order now

I. Product details

*
*
*
*

II. Contact details

*
*

III. Ship To

*
*
*
*
*
*
*

IV. Bill To

*
*
*
*
*
*
*
*