ERP27 Recombinant Monoclonal Antibody

Code CSB-RA272525A0HU
Size US$210
Order now
Image
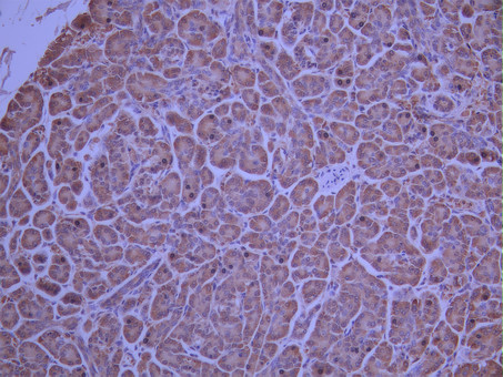
  • IHC image of CSB-RA272525A0HU diluted at 1:100 and staining in paraffin-embedded human pancreatic tissue performed on a Leica BondTM system. After dewaxing and hydration, antigen retrieval was mediated by high pressure in a citrate buffer (pH 6.0). Section was blocked with 10% normal goat serum 30min at RT. Then primary antibody (1% BSA) was incubated at 4°C overnight. The primary is detected by a Goat anti-rabbit polymer IgG labeled by HRP and visualized using 0.05% DAB.
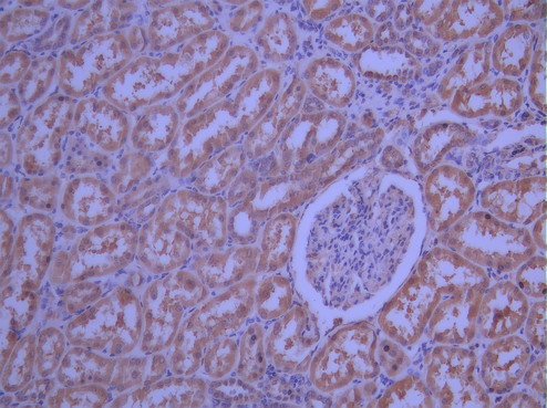
  • IHC image of CSB-RA272525A0HU diluted at 1:100 and staining in paraffin-embedded human kidney tissue performed on a Leica BondTM system. After dewaxing and hydration, antigen retrieval was mediated by high pressure in a citrate buffer (pH 6.0). Section was blocked with 10% normal goat serum 30min at RT. Then primary antibody (1% BSA) was incubated at 4°C overnight. The primary is detected by a Goat anti-rabbit polymer IgG labeled by HRP and visualized using 0.05% DAB.
  • Overlay Peak curve showing MCF-7 cells stained with CSB-RA272525A0HU (red line) at 1:100. The cells were fixed in 4% formaldehyde and permeated by 0.2% TritonX-100 for 10min. Then 10% normal goat serum to block non-specific protein-protein interactions followed by the antibody (1ug/1*106cells) for 45min at 4℃. The secondary antibody used was FITC-conjugated goat anti-rabbit IgG (H+L) at 1/200 dilution for 35min at 4℃.Control antibody (green line) was Rabbit IgG (1ug/1*106cells) used under the same conditions. Acquisition of >10, 000 events was performed.
Have Questions? Leave a Message or Start an on-line Chat

Product Details

Uniprot No.
Target Names
ERP27
Alternative Names
C12orf46 antibody; Chromosome 12 open reading frame 46 antibody; Endoplasmic reticulum protein 27 antibody; Endoplasmic reticulum protein 27 kDa antibody; Endoplasmic reticulum resident protein 27 antibody; Endoplasmic reticulum resident protein ERp27 antibody; ER protein 27 antibody; ERp 27 antibody; ERp27 antibody; ERP27_HUMAN antibody; FLJ32115 antibody; PDIA8 antibody; Protein disulfide isomerase family A; member 8 antibody
Species Reactivity
Human
Immunogen
A synthesized peptide from human ERP27 protein
Immunogen Species
Homo sapiens (Human)
Conjugate
Non-conjugated
Clonality
Monoclonal
Isotype
Rabbit IgG
Clone No.
13C8
Purification Method
Affinity-chromatography
Concentration
It differs from different batches. Please contact us to confirm it.
Buffer
Rabbit IgG in 10mM phosphate buffered saline , pH 7.4, 150mM sodium chloride, 0.05% BSA, 0.02% sodium azide and 50% glycerol.
Form
Liquid
Tested Applications
ELISA, IHC, FC
Recommended Dilution
Application Recommended Dilution
IHC 1:50-1:200
FC 1:50-1:200
Troubleshooting and FAQs
Storage
Upon receipt, store at -20°C or -80°C. Avoid repeated freeze.
Lead Time
Basically, we can dispatch the products out in 1-3 working days after receiving your orders. Delivery time maybe differs from different purchasing way or location, please kindly consult your local distributors for specific delivery time.
Usage
For Research Use Only. Not for use in diagnostic or therapeutic procedures.

Customer Reviews and Q&A

 Customer Reviews

There are currently no reviews for this product.

Submit a Review here

Target Background

Function
Specifically binds unfolded proteins and may recruit protein disulfide isomerase PDIA3 to unfolded substrates. Binds protein substrates via a hydrophobic pocket in the C-terminal domain. May play a role in the unfolded stress response.
Gene References into Functions
  1. High-resolution NMR studies of structure and dynamics of human ERp27 indicate extensive interdomain flexibility PMID: 23234573
  2. ERp27 is able to distinguish between folded and unfolded substrates, only interacting with the latter and presenting them to for catalysis. PMID: 23192347
  3. ERp27 is bound by ERp57 both in vitro and in vivo by a similar mechanism by which ERp57 binds calreticulin PMID: 16940051
Subcellular Location
Endoplasmic reticulum lumen.
Protein Families
Protein disulfide isomerase family
Database Links

HGNC: 26495

OMIM: 610642

KEGG: hsa:121506

STRING: 9606.ENSP00000266397

UniGene: Hs.162143

icon of phone
Call us
301-363-4651 (Available 9 a.m. to 5 p.m. CST from Monday to Friday)
icon of address
Address
7505 Fannin St., Ste 610, Room 7 (CUBIO Innovation Center), Houston, TX 77054, USA
icon of social media
Join us with

Subscribe newsletter

Leave a message

* To protect against spam, please pass the CAPTCHA test below.
CAPTCHA verification
© 2007-2025 CUSABIO TECHNOLOGY LLC All rights reserved. 鄂ICP备15011166号-1
×
Place an order now

I. Product details

*
*
*
*

II. Contact details

*
*

III. Ship To

*
*
*
*
*
*
*

IV. Bill To

*
*
*
*
*
*
*
*