EWSR1 Recombinant Monoclonal Antibody

Code CSB-RA567639A0HU
Size US$210
Order now
Image
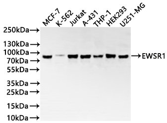
  • Western Blot
    Positive WB detected in: MCF7 whole cell lysate(30µg), K562 whole cell lysate(30µg), Jurkat whole cell lysate(30µg), A431 whole cell lysate(30µg), THP-1 whole cell lysate(30µg), HEK293 whole cell lysate(30µg), U251MG whole cell lysate(30µg)
    All lanes:EWSR1 antibody at 1:1000
    Secondary
    Goat polyclonal to rabbit IgG at 1/40000 dilution
    Predicted band size: 68 kDa
    Observed band size: 85 kDa
    Exposure time:2min
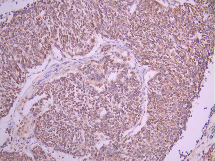
  • IHC image of CSB-RA567639A0HU diluted at 1:100 and staining in paraffin-embedded human lung cancer performed on a Leica BondTM system. After dewaxing and hydration, antigen retrieval was mediated by high pressure in a citrate buffer (pH 6.0). Section was blocked with 10% normal goat serum 30min at RT. Then primary antibody (1% BSA) was incubated at 4°C overnight. The primary is detected by a Goat anti-rabbit polymer IgG labeled by HRP and visualized using 0.05% DAB.
  • Immunofluorescence staining of HeLa cell with CSB-RA567639A0HU at 1:50 , counter-stained with DAPI. The cells were fixed in 4% formaldehyde, permeabilized using 0.2% Triton X-100 and blocked in 10% normal Goat Serum. The cells were then incubated with the antibody overnight at 4°C. The secondary antibody was Alexa Fluor 488-congugated AffiniPure Goat Anti-Rabbit IgG(H+L).
  • Overlay Peak curve showing Hela cells stained with CSB-RA567639A0HU (red line) at 1:100. The cells were fixed in 4% formaldehyde and permeated by 0.2% TritonX-100 for 10min. Then 10% normal goat serum to block non-specific protein-protein interactions followed by the antibody (1ug/1*106cells) for 45min at 4℃. The secondary antibody used was FITC-conjugated goat anti-rabbit IgG (H+L) at 1/200 dilution for 35min at 4℃.Control antibody (green line) was Rabbit IgG (1ug/1*106cells) used under the same conditions. Acquisition of >10, 000 events was performed.
Have Questions? Leave a Message or Start an on-line Chat

Product Details

Uniprot No.
Target Names
EWSR1
Alternative Names
bK984G1.4 antibody; bK984G1.4 Ewing sarcoma breakpoint region 1 protein antibody; Ewing sarcoma breakpoint region 1 antibody; Ewing sarcoma breakpoint region 1 protein antibody; Ewings sarcoma EWS Fli1 type 1 oncogene antibody; EWS antibody; EWS oncogene antibody; EWS RNA binding protein 1 antibody; EWS_HUMAN antibody; EWSR 1 antibody; Ewsr1 antibody; EWSR1 protein antibody; RNA binding protein EWS antibody; RNA-binding protein EWS antibody
Species Reactivity
Human
Immunogen
A synthesized peptide from human EWSR1 protein
Immunogen Species
Homo sapiens (Human)
Conjugate
Non-conjugated
Clonality
Monoclonal
Isotype
Rabbit IgG
Clone No.
3F1
Purification Method
Affinity-chromatography
Concentration
It differs from different batches. Please contact us to confirm it.
Buffer
Rabbit IgG in 10mM phosphate buffered saline , pH 7.4, 150mM sodium chloride, 0.05% BSA, 0.02% sodium azide and 50% glycerol.
Form
Liquid
Tested Applications
ELISA, WB, IHC, IF, FC
Recommended Dilution
Application Recommended Dilution
WB 1:500-1:5000
IHC 1:50-1:200
IF 1:50-1:200
FC 1:50-1:200
Troubleshooting and FAQs
Storage
Upon receipt, store at -20°C or -80°C. Avoid repeated freeze.
Lead Time
Basically, we can dispatch the products out in 1-3 working days after receiving your orders. Delivery time maybe differs from different purchasing way or location, please kindly consult your local distributors for specific delivery time.
Usage
For Research Use Only. Not for use in diagnostic or therapeutic procedures.

Customer Reviews and Q&A

 Customer Reviews

There are currently no reviews for this product.

Submit a Review here

Target Background

Function
Might normally function as a transcriptional repressor. EWS-fusion-proteins (EFPS) may play a role in the tumorigenic process. They may disturb gene expression by mimicking, or interfering with the normal function of CTD-POLII within the transcription initiation complex. They may also contribute to an aberrant activation of the fusion protein target genes.
Gene References into Functions
  1. ATG4B expression was observed markedly upregulated by EWS-FLI1 overexpression, and silencing of ATG4B dramatically inhibits autophagy in Ewing sarcoma cells. PMID: 28902354
  2. Studies demonstrate that the translocation-derived fusion protein EF (EWS-FLI1) misregulates numerous genes involved in metabolism suggesting that EF is a master regulator of metabolic reprogramming in Ewing sarcoma, diverting metabolites toward biosynthesis. PMID: 28720588
  3. Together, the data demonstrate the critical requirement of GGAA-microsatellites as EWS/FLI activating response elements in vivo and reveal an unexpected role for the EWS portion of the EWS/FLI fusion in binding to sweet-spot GGAA-microsatellites. PMID: 28847958
  4. EWSR1 fusion protein is required for PAX7 expression in Ewing sarcoma and identify a candidate EWSR1-FLI1-bound PAX7 enhancer that coincides with both a consensus GGAA repeat-containing binding site and a peak of regulatory H3K27 acetylation. PMID: 28643791
  5. In the 3 cases of the primary extraskeletal myxoid chondrosarcoma (EMC) of bone we found the most frequent and specific chromosomal translocation t(9:22) EWSR1-NR4A3 of the extraskeletal counterpart. PMID: 28249774
  6. a breakpoint in the EWSR1-ATF1 fusion to be the same as that reported in HCCC. Established CCOC-T cells grew extremely slowly, but the cells showed highly invasive activity PMID: 28559020
  7. study proposed that EWSR1 rearrangement was present in a subset of myoepithelial tumors of salivary glands, with variable morphological features PMID: 28648935
  8. EWSR1 Gene Rearrangement is associated with Endometrial Primitive Neuroectodermal Tumor. PMID: 28801375
  9. -cell lymphoblastic leukemia with t(11;22)(q24;q12) and EWSR1 rearrangement. PMID: 28104675
  10. Kinetics of EWSR1 fusion sequence copy numbers in the plasma are correlated with changes of the tumor volume in patients with localized and metastatic disease. PMID: 27283964
  11. Authors found that FUS, EWS and TAF15 expression is differentially regulated during brain development, both in time and in space. In particular, this study identifies a fine-tuned regulation of FUS and EWS during neuronal differentiation. PMID: 28453628
  12. Recent advances in biologic and genomic understanding of these two cancers has expanded the potential for therapeutic advancement and prevention. In Ewing sarcoma, directed focus on inhibition of EWSR1-FLI1 and its effectors has produced promising results. PMID: 28561686
  13. data suggest EWS/FLI binds to "promoter-like" and "enhancer-like" microsatellites to mediate activation and repression of target genes through different regulatory mechanisms PMID: 29091716
  14. As spontaneous fluctuations in EWS-FLI1 levels of Ewing sarcoma cells in vitro and in vivo, associated with a switch between a proliferative, non-migratory EWS-FLI1-high and a non-proliferative highly migratory EWS-FLI1-low state, were recently described, our data provide a mechanistic basis for the underlying EWS-FLI1-dependent reversible cytoskeletal reprogramming of Ewing sarcoma cells. PMID: 28671673
  15. Fusion of short fragments of EWSR1 to FLI1 is sufficient to recapitulate BAF complex retargeting and EWS-FLI1 activities; studies thus demonstrate that the physical properties of prion-like domains can retarget critical chromatin regulatory complexes to establish and maintain oncogenic gene expression programs. PMID: 28844694
  16. Case Reports: maxillary sinus clear cell carcinomas with EWSR1-ATF1 gene fusion. PMID: 27916624
  17. Results expand the spectrum of tumor types harboring EWSR1/FUS-ATF1 gene fusions to include a subgroup of conventional epithelioid malignant mesothelioma. PMID: 28505004
  18. papillary thyroid carcinomas with EWSR1 rearrangement disclosed a lower percentage of nuclei with EWSR1 polysomy than those without EWSR1 rearrangement PMID: 28236059
  19. The net result of combined lurbinectedin and irinotecan treatment was a complete reversal of EWS-FLI1 activity and elimination of established tumors in 30% to 70% of mice after only 11 days of therapy. Our results illustrate the preclinical safety and efficacy of a disease-specific therapy targeting the central oncogenic driver in Ewing sarcoma. PMID: 27697767
  20. Aggregation of FET proteins FUS, EWSR1, and TAF15 mediate a pathological change in amyotrophic lateral sclerosis. (Review) PMID: 27311318
  21. A subgroup of MAML2 fusion-negative mucoepidermoid carcinomas are actually clear cell carcinoma of the salivary gland with EWSR1 translocation. PMID: 27769871
  22. Study found consistent DNA hypomethylation at enhancers regulated by the disease-defining EWS-FLI1 fusion protein, thus establishing epigenomic enhancer reprogramming as a ubiquitous and characteristic feature of Ewing sarcoma. PMID: 28134926
  23. Report a distinct group of myxoid mesenchymal neoplasms occurring in children or young adults with a predilection for intracranial locations with EWSR1-AFT1/CREB1/CREM fusions. PMID: 28009602
  24. We conclude that in the context of 22q11-12 regional alterations present in SMARCB1-deleted tumors, simultaneous EWSR1 involvement may be misinterpreted as equivalent to EWSR1 rearrangement. A detailed clinicopathologic correlation and supplementing the EWSR1 FISH assay with complementary methodology is mandatory for correct diagnosis PMID: 27218413
  25. While our study confirmed that fluorescence in-situ hybridization is a sensitive and specific tool in the diagnosis of EWSR1-associated tumours, atypical fluorescence in-situ hybridization signals and classical rearrangement in entities other than EWSR1-associated tumours can occur PMID: 27385661
  26. EWSR1 regulates the acetylation of microtubules in a cell cycle-dependent manner through its dynamic location on spindle MTs, and may be a novel regulator for mitosis progress independent of its translocation. PMID: 27341063
  27. Studies provide evidence that FUS/TLS, EWS and TAF15 proteins play a major role in neurodegenerative disorders. (review). PMID: 27415968
  28. We identified EWSR1 rearrangement in 25% of Ectomesenchymal chondromyxoid tumour PMID: 27010880
  29. EWSR1-related rearrangement was detected extraskeletal myxoid chondrosarcoma PMID: 27402218
  30. a novel EWSR1/ETS chimeric gene, was identified in a patient diagnosed with refractory AML, suggesting a potential role of leukemogenesis in rare cases of AML. This fusion gene is very likely to exhibit oncogenic potential by interfering with the p53/p21-dependent pathway. PMID: 27627705
  31. LRWD1 is a novel regulator of EWS-FLI1 driven cell proliferation in Ewing sarcoma cells. EWS-FLI1 regulates LRWD1 expression and LRWD1 may contribute to EWS-FLI1 mediated transcriptional repression. PMID: 27760381
  32. Ewing sarcoma may be susceptible to treatment with epigenetic inhibitors blocking BRD3/4 activity and the associated pathognomonic EWS-FLT1 transcriptional program. PMID: 26623725
  33. FUS and EWS target genes involved in pathways at the RNA regulatory level PMID: 26573619
  34. Identify SP1 and PI3K/AKT signaling as modulators of EWS/FLI1 gene expression in tumor cell lines. PMID: 26336820
  35. Case Reports: 2 girls with primary renal myoepithelial carcinomas with a novel EWSR1-KLF15 fusion. PMID: 26523541
  36. 3'-UTR poly(T/U) repeat of EWSR1 is altered in microsatellite unstable colorectal cancer. PMID: 25930744
  37. study investigated EWSR1 status in ovarian hemangiomas; all cases were negative for EWSR1 rearrangement; 2 cases demonstrated additional intact copies of EWSR1 indicating aneusomy 22 or structural abnormality of chromosome 22 resulting in apparent duplication of the EWSR1 gene region PMID: 25851709
  38. The paper investigates the presence of EWS/FLI-1 fusion in clinically diagnosed sarcoma belonging to different non-Ewing connective tissue tumors. PMID: 25914746
  39. Results show that RNA-binding protein EWS binds and regulates CCDC6 expression at RNA and protein levels. PMID: 25751255
  40. KLF17 is also a rare gene fusion partner to EWSR1-rearranged myoepithelial tumors. PMID: 25706482
  41. The impairment of EWS-dependent midzone formation via the recruitment of Aurora B is a potential mechanism of Ewing sarcoma development. PMID: 25483190
  42. Results show that although the cosegregation of the EWSR1 p.R471C substitution in the index family could not be established in people suffering from essential tremor, the EWSR1 p.R471C substitution is a candidate variant that needs to be further screened. PMID: 25375143
  43. A key function of EWS-FLI1 in tumorigenesis is to maintain the epigenetic memory of activated homeobox genes programs. PMID: 25625846
  44. Data suggest that aberrant cell cycle activation in Ewing sarcoma is due to the de-repression of transcription factor E2F targets of transcriptional induction and physical recruitment of E2F3 by fusion protein EWS-FLI1 replacing E2F4 on their promoters. PMID: 25712098
  45. EWS/FLI-induced repression of alpha5 integrin and zyxin expression promotes tumor progression by supporting anchorage-independent cell growth. PMID: 25057021
  46. These experiments establish systemic alternative splicing as an oncogenic process modulated by EWS-FLI1. PMID: 25737553
  47. Case Reports: genetically confirmed primary renal sclerosing epithelioid fibrosarcoma with EWSR1-CREB3L1 gene fusion. PMID: 25353281
  48. Describe EWSR1 gene rearrangement in a subset of myoepithelial carcinomas arising in minor and major salivary glands. PMID: 25581728
  49. EWSR1-ATF1 fusion gene was found in hyalinizing clear cell carcinoma PMID: 25359601
  50. EWSR1 rearrangement is associated with ewing sarcomas. PMID: 24293381

Show More

Hide All

Involvement in disease
Ewing sarcoma (ES); Angiomatoid fibrous histiocytoma (AFH)
Subcellular Location
Nucleus. Cytoplasm. Cell membrane. Note=Relocates from cytoplasm to ribosomes upon PTK2B/FAK2 activation.
Protein Families
RRM TET family
Tissue Specificity
Ubiquitous.
Database Links

HGNC: 3508

OMIM: 133450

KEGG: hsa:2130

STRING: 9606.ENSP00000400142

UniGene: Hs.374477

icon of phone
Call us
301-363-4651 (Available 9 a.m. to 5 p.m. CST from Monday to Friday)
icon of address
Address
7505 Fannin St., Ste 610, Room 7 (CUBIO Innovation Center), Houston, TX 77054, USA
icon of social media
Join us with

Subscribe newsletter

Leave a message

* To protect against spam, please pass the CAPTCHA test below.
CAPTCHA verification
© 2007-2025 CUSABIO TECHNOLOGY LLC All rights reserved. 鄂ICP备15011166号-1
×
Place an order now

I. Product details

*
*
*
*

II. Contact details

*
*

III. Ship To

*
*
*
*
*
*
*

IV. Bill To

*
*
*
*
*
*
*
*