FAM175A Recombinant Monoclonal Antibody

Code CSB-RA032745A0HU
Size US$210
Order now
Image
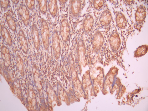
  • IHC image of CSB-RA032745A0HU diluted at 1:100 and staining in paraffin-embedded human small intestine tissue performed on a Leica BondTM system. After dewaxing and hydration, antigen retrieval was mediated by high pressure in a citrate buffer (pH 6.0). Section was blocked with 10% normal goat serum 30min at RT. Then primary antibody (1% BSA) was incubated at 4°C overnight. The primary is detected by a Goat anti-rabbit polymer IgG labeled by HRP and visualized using 0.05% DAB.
  • Overlay Peak curve showing jurkat cells stained with CSB-RA032745A0HU (red line) at 1:100. The cells were fixed in 4% formaldehyde and permeated by 0.2% TritonX-100 for 10min. Then 10% normal goat serum to block non-specific protein-protein interactions followed by the antibody (1ug/1*106cells) for 45min at 4℃. The secondary antibody used was FITC-conjugated goat anti-rabbit IgG (H+L) at 1/200 dilution for 35min at 4℃.Control antibody (green line) was Rabbit IgG (1ug/1*106cells) used under the same conditions. Acquisition of >10, 000 events was performed.
Have Questions? Leave a Message or Start an on-line Chat

Product Details

Uniprot No.
Target Names
FAM175A
Alternative Names
3830405G04Rik antibody; 5630400M01Rik antibody; ABRA1 antibody; ABRAXAS antibody; Abraxas protein antibody; AI506069 antibody; AL024423 antibody; AV118690 antibody; BRCA1-A complex subunit Abraxas antibody; coiled coil domain containing 98 antibody; Coiled-coil domain-containing protein 98 antibody; F175A_HUMAN antibody; FAM175A antibody; Family with sequence similarity 175 member A antibody; FLJ11520 antibody; FLJ12642 antibody; FLJ13614 antibody; Protein FAM175A antibody
Species Reactivity
Human
Immunogen
A synthesized peptide from human FAM175A protein
Immunogen Species
Homo sapiens (Human)
Conjugate
Non-conjugated
Clonality
Monoclonal
Isotype
Rabbit IgG
Clone No.
17E2
Purification Method
Affinity-chromatography
Concentration
It differs from different batches. Please contact us to confirm it.
Buffer
Rabbit IgG in 10mM phosphate buffered saline , pH 7.4, 150mM sodium chloride, 0.05% BSA, 0.02% sodium azide and 50% glycerol.
Form
Liquid
Tested Applications
ELISA, IHC, FC
Recommended Dilution
Application Recommended Dilution
IHC 1:50-1:200
FC 1:50-1:200
Troubleshooting and FAQs
Storage
Upon receipt, store at -20°C or -80°C. Avoid repeated freeze.
Lead Time
Basically, we can dispatch the products out in 1-3 working days after receiving your orders. Delivery time maybe differs from different purchasing way or location, please kindly consult your local distributors for specific delivery time.
Usage
For Research Use Only. Not for use in diagnostic or therapeutic procedures.

Customer Reviews and Q&A

 Customer Reviews

There are currently no reviews for this product.

Submit a Review here

Target Background

Function
Involved in DNA damage response and double-strand break (DSB) repair. Component of the BRCA1-A complex, acting as a central scaffold protein that assembles the various components of the complex and mediates the recruitment of BRCA1. The BRCA1-A complex specifically recognizes 'Lys-63'-linked ubiquitinated histones H2A and H2AX at DNA lesion sites, leading to target the BRCA1-BARD1 heterodimer to sites of DNA damage at DSBs. This complex also possesses deubiquitinase activity that specifically removes 'Lys-63'-linked ubiquitin on histones H2A and H2AX.
Gene References into Functions
  1. Our data also suggest how ataxia telangiectasia mutated (ATM)-dependent BRCA1 dimerization may stabilize self-association of the entire BRCA1-A complex. PMID: 28009280
  2. Results identified 16 novel rare variants in FAM175A but no significant difference in allele frequencies between cases and controls was observed which suggest no evidence that rare variants in ABRAXAS are associated with increased breast cancer risk in the population studied. PMID: 27270457
  3. Demonstrate a mechanism involving IR-induced phosphorylation and dimerization of the BRCT/Abraxas complex for regulating Abraxas-mediated recruitment of BRCA1 in response to IR. PMID: 26778126
  4. The recurrent Abraxas c.1082G>A mutation connects to breast cancer predisposition. PMID: 22357538
  5. low expression correlates with better response to chemotherapy and longer survival in patients with advanced non small-cell lung cancer PMID: 21529986
  6. CCDC98 is a BRCA1 binding partner that mediates BRCA1 function in response to DNA damage. PMID: 17643121
  7. CCDC98 is a mediator of BRCA1 function involved in the mammalian DNA damage response. PMID: 17643122
  8. Mutational analysis in 168 multiple-case breast/ovarian cancer families, negative for mutations in BRCA1 or BRCA2, suggests that CCDC98 does not play an important role as a high penetrance breast cancer susceptibility gene. PMID: 18270812
  9. examined RAP80 and Abraxas expression and their effect on treatment outcome in non-small-cell lung cancer PMID: 19415121

Show More

Hide All

Involvement in disease
Breast cancer (BC)
Subcellular Location
Nucleus.
Protein Families
FAM175 family, Abraxas subfamily
Database Links

HGNC: 25829

OMIM: 114480

KEGG: hsa:84142

STRING: 9606.ENSP00000369857

UniGene: Hs.334772

icon of phone
Call us
301-363-4651 (Available 9 a.m. to 5 p.m. CST from Monday to Friday)
icon of address
Address
7505 Fannin St., Ste 610, Room 7 (CUBIO Innovation Center), Houston, TX 77054, USA
icon of social media
Join us with

Subscribe newsletter

Leave a message

* To protect against spam, please pass the CAPTCHA test below.
CAPTCHA verification
© 2007-2025 CUSABIO TECHNOLOGY LLC All rights reserved. 鄂ICP备15011166号-1
×
Place an order now

I. Product details

*
*
*
*

II. Contact details

*
*

III. Ship To

*
*
*
*
*
*
*

IV. Bill To

*
*
*
*
*
*
*
*