FLOT1 Recombinant Monoclonal Antibody

Code CSB-RA058742A0HU
Size US$210
Order now
Image
  • Flow cytometric analysis of Flotillin1 expression in HepG2 cells using Flotillin1 antibody. Green, isotype control; red, Flotillin1.
  • Immunocytochemical staining of HepG2 cells with Flotillin 1 antibody. Nuclei were stained blue with DAPI; Flotillin 1 was stained magenta with Alexa Fluor® 647. Images were taken using Leica stellaris 5. Protein abundance based on laser Intensity and smart gain: Medium. Scale bar, 20 μm.
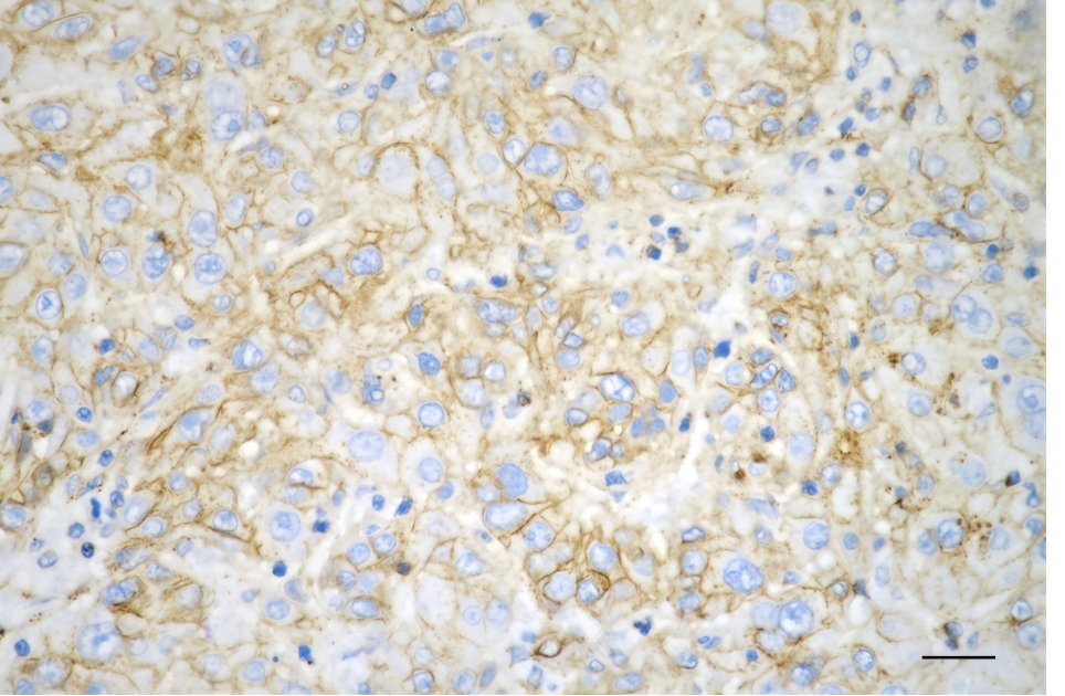
  • Immunohistochemistry was performed on paraffin-embedded human hepatocarcinoma using flotillin 1 antibody. Antigen retrieval was done in sodium citrate buffer (pH 6.0). DAB was used for detection, with hematoxylin counterstaining. Images were acquired using a Nikon Ci-L Plus microscope (40× objective). Scale bar: 25 μm.
  • Western blotting analysis using flotillin 1 antibody. Total cell lysates (30 μg for H9c2, 20 μg for others) from various cell lines were loaded and separated by SDS-PAGE. The blot was incubated with flotillin 1 antibody and HRP-conjugated goat anti-rabbit secondary antibody respectively.
Have Questions? Leave a Message or Start an on-line Chat

Product Details

Uniprot No.
Target Names
Alternative Names
FLOT1; Flotillin 1; Flotillin-1; Integral Membrane Component Of Caveolae
Species Reactivity
Human, Mouse, Rat
Immunogen
Recombinant Human FLOT1 protein
Immunogen Species
Homo sapiens (Human)
Conjugate
Non-conjugated
Clonality
Monoclonal
Isotype
Rabbit IgG
Clone No.
25A4
Purification Method
Affinity-chromatography
Concentration
It differs from different batches. Please contact us to confirm it.
Buffer
Rabbit IgG in PBS (pH 7.4) containing 50% glycerol, and 0.02% sodium azide.
Form
Liquid
Tested Applications
ELISA, WB, FC, ICC, IHC
Recommended Dilution
Application Recommended Dilution
WB 1:2000-1:10000
FC 1:200-1:2000
ICC 1:100-1:1000
IHC 1:100-1:200
Troubleshooting and FAQs
Storage
Upon receipt, store at -20°C or -80°C. Avoid repeated freeze.
Lead Time
Basically, we can dispatch the products out in 1-3 working days after receiving your orders. Delivery time maybe differs from different purchasing way or location, please kindly consult your local distributors for specific delivery time.
Usage
For Research Use Only. Not for use in diagnostic or therapeutic procedures.

Customer Reviews and Q&A

 Customer Reviews

There are currently no reviews for this product.

Submit a Review here

Target Background

Function
May act as a scaffolding protein within caveolar membranes, functionally participating in formation of caveolae or caveolae-like vesicles.
Gene References into Functions
  1. flotillin-1 is a tumorigenic protein that plays an important role in promoting the proliferation and tumorigenicity of LUAD. PMID: 28825855
  2. flotillin has a role in desmosomal adhesion and Pemphigus vulgaris-like localisation of desmoglein-3 in human keratinocytes PMID: 27346727
  3. Autoantibodies against flotillin-1/2 heterocomplex are present in 1-2% of patients with bona fide multiple sclerosis. PMID: 28645295
  4. Furthermore, we identify flotillin-1 (FLOT1) and histone H1 as downstream factors for cytoplasmic and nuclear pathway of S100A11, which are required for LASP1-S100A11 axis-mediated epithelial-mesenchymal transition and colorectal cancer progression. PMID: 27181092
  5. FLOT1 is associated with aggressive characteristics of HCC PMID: 23840303
  6. This study presents the endocytic pathways of internalization for muscarinic type 3 receptor and flotillin-1/2 in salivary gland epithelial cells. knockdown of flot-1 or -2 by flotillin-specific siRNA prevented internalization and reduced the endocytic efficiency of muscarinic type 3 receptor. PMID: 27221048
  7. Data show that overexpression of 4.1N protein decreased expression of flotillin-1, decreased activation of beta-catenin/Wnt pathway in non-small-cell lung cancer (NSCLC) cells. PMID: 27448302
  8. Upregulation of flotillin-1 promotes invasion and metastasis by activating TGF-beta signaling in nasopharyngeal carcinoma. PMID: 26646322
  9. Flotillin-1 protein is upregulated in human endometrial cancer and localization shifts from epithelial to stromal with increasing tumor grade PMID: 26682635
  10. Expression of flotillin-1 was associated with H-Ras in breast cancer, especially in TNBC (p < 0.001). PMID: 26413934
  11. findings revealed the expression of flotillin 1 in gastric cancer samples is significantly higher than that of noncancer/normal tissues; findings suggest that flotillin 1 may be a novel biomarker for gastric cancer PMID: 25948494
  12. miR-506 expression was down-regulated in clear cell renal cell carcinoma (ccRCC) and correlated with advanced histologic grade, clinical stage, tumor stage, positive lymph node metastasis, and distant metastasis. FLOT1, a potential target gene of miR-506, was inversely correlated with miR-506 expression in ccRCC tissues. PMID: 25793370
  13. polycystins are necessary for assembly of a novel flotillin-containing ciliary signaling complex and provide a molecular rationale for the common renal pathologies caused by OFD1 and polycystin mutations. PMID: 25180832
  14. Findings suggest that FLOT1 plays an important role in the proliferation and recurrence of transitional cell carcinoma. PMID: 24890092
  15. Downregulation of microRNA-182-5p contributes to renal cell carcinoma proliferation via activating the AKT/FOXO3a signaling pathway with FLOT1 being a target. PMID: 24886554
  16. overexpression of FLOT1 can be found in tongue squamous cell cancer patients with higher pathological stage, T classification, N classification or recurrence PMID: 24695539
  17. Flotillin-1 mRNA expression is up-regulated in non-small cell lung cancer patients. PMID: 24533441
  18. a critical role of flotillin-1 in ROS production mediated by c-Src PMID: 24983503
  19. Flotillin-1 regulates oncogenic signaling in neuroblastoma cells by regulating ALK membrane association. PMID: 24830726
  20. The FLOT1 is abundantly expressed in term villous placental CTs and endothelial cells, and in comparison, expression of these proteins in the ST is reduced. PMID: 23064789
  21. Depletion of either flotillin-1 or flotillin-2 resulted in downregulation of ErbB3 and a selective reduction of ErbB2-ErbB3 receptor complexes. PMID: 24747692
  22. study demonstrated that miR-124 might be a tumor suppressor in breast cancer via the regulation of FLOT1 PMID: 24330780
  23. We have identified flotillin 1 and 2 as new partners of the cadherin complexes PMID: 24046456
  24. These data here provide direct evidences for the molecular interaction and endocytosis of PrP(C) with Flot-1 in the presence of copper ions. PMID: 23625312
  25. Patients with higher FLOT1 expression had shorter overall survival time, whereas those with lower FLOT1 expression had longer survival time PMID: 24277378
  26. Human group V secretory phospholipase A2 is associated with lipid rafts and internalized in a flotillindependent pathway. PMID: 24042857
  27. EGFR overexpression and increase in signaling correlates with flotillin-1 expresion. PMID: 24304721
  28. Report role for flotillin 1/2 in interactions of lung epithelial cells with silica nanoparticles. PMID: 22669515
  29. we describe how flotillin-1 and -2 contribute to the stabilization of ErbB2 at the cell surface in breast cancer tissue PMID: 22869152
  30. Flotillin-1 plays an important role in Oral squamous cell carcinoma (OSCC) development. PMID: 23581411
  31. Flotillin-1 interacted with PrPc and promote the endocytosis of PrPc. PMID: 23627023
  32. results support predominant formation of flotillin-1 and -2 hetero-oligomers in resting and chemokine-stimulated human T-cells which may importantly contribute to structuring of the uropod. PMID: 23012365
  33. a novel signaling network containing FRS2, CAP and flotillin-1 PMID: 22235335
  34. receptor-tyrosine kinases may also rely on flotillin-1 upon activation, thus suggesting a general role for flotillin-1 as a novel factor in receptor-tyrosine kinase/MAP kinase signaling. PMID: 22232557
  35. Chlamydia pneumoniae intracellular growth was attenuated in the flotillin-1-silenced cells. PMID: 22215737
  36. FLOT1 plays an important role in promoting proliferation and tumorigenesis of human breast cancer and may represent a novel prognostic biomarker and therapeutic target for the disease. PMID: 21447726
  37. Flot1-enriched membrane microdomains are required for protein kinase C-regulated internalization of the DA transporter (DAT) and the glial glutamate transporter EAAT2. PMID: 21399631
  38. flotillins have a role in NPC1L1-mediated cholesterol uptake and NPC1L1-flotillins-postive cholesterol-enriched membrane microdomains are involved in the mechanism for efficient cholesterol absorption PMID: 21187433
  39. the cellular pathways used by transportan and transportan 10 (TP10) for protein transduction PMID: 19348413
  40. Data show that the BCG phagosome is relatively depleted in LAMP-2, NPC1, flotillin-1, vATPase, and syntaxin 3. PMID: 19815536
  41. In hematopoietic cells, flotillins provide intrinsic cues that govern segregation of certain microdomain-associated molecules during immune cell polarization. PMID: 20027317
  42. Flotillin-1, a marker of rafts, accumulates in lysosomes of neurons in Alzheimer's disease PMID: 14708344
  43. ATP-binding cassette, sub-family A (ABC1), member 1 forms a complex with syntaxin 13 and flotillin-1, residing at the plasma membrane and in phagosomes PMID: 15469992
  44. It is significant that there is an increased gene expression of flotillin-1 in the Parkinson substantia nigra/ventral tegmental area compared to controls. PMID: 15545008
  45. Recombinant flotillin-1 was purified and characterized in in large quantity and high purity. PMID: 15939299
  46. Myocilins with mutations such as G364V, K423E, and Y437H on the domain failed to interact with flotillin-1. PMID: 16198165
  47. Flotillin-1 small interfering RNA (siRNA) inhibited both clathrin-independent uptake of cholera toxin and endocytosis of a GPI-linked protein. We propose that flotillin-1 is one determinant of a clathrin-independent endocytic pathway in mammalian cells. PMID: 16341206
  48. flotillin-1 may recruit amyloid beta (A4) precursor protein to lipid rafts and therefore participate in the localization and processing of APP PMID: 16480949
  49. The results showed that flotillin-1 can interact with arginase1, and hence arginase activity was up-regulated by 26.8%. PMID: 17113085
  50. These lines of evidence suggested that a Gq-coupled receptor activates specifically p38 MAPK through lipid rafts and Src kinase activation, in which flotillins positively modulate the Gq signaling. PMID: 17307333

Show More

Hide All

Subcellular Location
Cell membrane; Peripheral membrane protein. Endosome. Membrane, caveola; Peripheral membrane protein. Melanosome. Membrane raft.
Protein Families
Band 7/mec-2 family, Flotillin subfamily
Database Links

HGNC: 3757

OMIM: 606998

KEGG: hsa:10211

STRING: 9606.ENSP00000365569

UniGene: Hs.179986

icon of phone
Call us
301-363-4651 (Available 9 a.m. to 5 p.m. CST from Monday to Friday)
icon of address
Address
7505 Fannin St., Ste 610, Room 7 (CUBIO Innovation Center), Houston, TX 77054, USA
icon of social media
Join us with

Subscribe newsletter

Leave a message

* To protect against spam, please pass the CAPTCHA test below.
CAPTCHA verification
© 2007-2025 CUSABIO TECHNOLOGY LLC All rights reserved. 鄂ICP备15011166号-1
×
Place an order now

I. Product details

*
*
*
*

II. Contact details

*
*

III. Ship To

*
*
*
*
*
*
*

IV. Bill To

*
*
*
*
*
*
*
*