FMO3 Recombinant Monoclonal Antibody

Code CSB-RA144042A0HU
Size US$210
Order now
Image
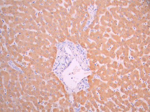
  • IHC image of CSB-RA144042A0HU diluted at 1:100 and staining in paraffin-embedded human liver tissue performed on a Leica BondTM system. After dewaxing and hydration, antigen retrieval was mediated by high pressure in a citrate buffer (pH 6.0). Section was blocked with 10% normal goat serum 30min at RT. Then primary antibody (1% BSA) was incubated at 4°C overnight. The primary is detected by a Goat anti-rabbit polymer IgG labeled by HRP and visualized using 0.05% DAB.
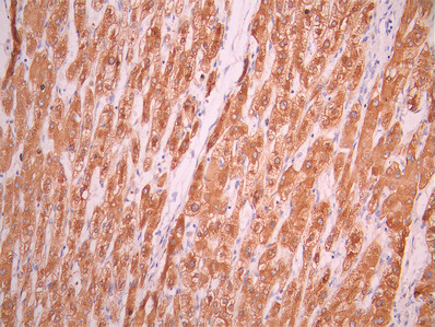
  • IHC image of CSB-RA144042A0HU diluted at 1:100 and staining in paraffin-embedded human liver cancer performed on a Leica BondTM system. After dewaxing and hydration, antigen retrieval was mediated by high pressure in a citrate buffer (pH 6.0). Section was blocked with 10% normal goat serum 30min at RT. Then primary antibody (1% BSA) was incubated at 4°C overnight. The primary is detected by a Goat anti-rabbit polymer IgG labeled by HRP and visualized using 0.05% DAB.
Have Questions? Leave a Message or Start an on-line Chat

Product Details

Uniprot No.
Target Names
FMO3
Alternative Names
Dimethylaniline monooxygenase [N oxide forming] 3 antibody; Dimethylaniline monooxygenase [N-oxide-forming] 3 antibody; Dimethylaniline monooxygenase 3 antibody; Dimethylaniline oxidase 3 antibody; dJ127D3.1 antibody; Flavin containing monooxygenase 3 antibody; FMO 3 antibody; FMO form 2 antibody; FMO II antibody; FMO3 antibody; FMO3_HUMAN antibody; FMOII antibody; Hepatic flavin containing monooxygenase 3 antibody; Hepatic flavin-containing monooxygenase 3 antibody; MGC34400 antibody; TMAU antibody; Trimethylamine monooxygenase antibody
Species Reactivity
Human
Immunogen
A synthesized peptide from human FMO3 protein
Immunogen Species
Homo sapiens (Human)
Conjugate
Non-conjugated
Clonality
Monoclonal
Isotype
Rabbit IgG
Clone No.
24E6
Purification Method
Affinity-chromatography
Concentration
It differs from different batches. Please contact us to confirm it.
Buffer
Rabbit IgG in 10mM phosphate buffered saline , pH 7.4, 150mM sodium chloride, 0.05% BSA, 0.02% sodium azide and 50% glycerol.
Form
Liquid
Tested Applications
ELISA, IHC
Recommended Dilution
Application Recommended Dilution
IHC 1:50-1:200
Troubleshooting and FAQs
Storage
Upon receipt, store at -20°C or -80°C. Avoid repeated freeze.
Lead Time
Basically, we can dispatch the products out in 1-3 working days after receiving your orders. Delivery time maybe differs from different purchasing way or location, please kindly consult your local distributors for specific delivery time.
Usage
For Research Use Only. Not for use in diagnostic or therapeutic procedures.

Customer Reviews and Q&A

 Customer Reviews

There are currently no reviews for this product.

Submit a Review here

Target Background

Function
Essential hepatic enzyme that catalyzes the oxygenation of a wide variety of nitrogen- and sulfur-containing compounds including drugs as well as dietary compounds. Plays an important role in the metabolism of trimethylamine (TMA), via the production of trimethylamine N-oxide (TMAO) metabolite. TMA is generated by the action of gut microbiota using dietary precursors such as choline, choline containing compounds, betaine or L-carnitine. By regulating TMAO concentration, FMO3 directly impacts both platelet responsiveness and rate of thrombus formation.
Gene References into Functions
  1. Finally, understanding the binding mode of methimazole and indole could be advantageous for development of hFMO3 inhibitors, currently investigated as a possible treatment strategy for atherosclerosis PMID: 29959003
  2. Report developmental regulation of hepatic FMO3 expression. PMID: 26839369
  3. the involvement of flavin-containing monooxygenase-3 (FMO3) and cytochrome P450 enzymes (CYPs) in Busulphan metabolic pathway, is reported. PMID: 29121650
  4. FMO3 protein abundance is significantly associated with age, gender, and genotype PMID: 28819071
  5. FMO3 Variant is associated with chronic kidney disease. PMID: 27513517
  6. The two FMO3 mutants were in close linkage disequilibrium and might play an important role in the pharmacokinetics of sulindac in Chinese healthy male volunteers. PMID: 28331852
  7. mechanism of hFMO3 which could be valuable not only for screening of new chemical entities but more significantly for designing of novel inhibitors of this important Phase I drug metabolising enzyme. PMID: 27523475
  8. Olanzapine clearance was not affected by CYP2D6 or FMO3 genotypes or smoking behavior as a single factor under the present conditions because olanzapine clearance is mediated by multiple enzymes involved in two major and one minor pathways PMID: 26856397
  9. Oxidative stress-responsive transcription factor NRF2 is not indispensable for the human hepatic Flavin-containing monooxygenase-3 (FMO3) gene expression in HepG2 cells PMID: 26616280
  10. FMO3 gene polymorphism E158K is a significant predictor of predisposition to chronic heart disease in women. PMID: 26519273
  11. FMO3 is centrally involved in the pathogenesis of atherosclerosis by regulating cholesterol metabolism and insulin resistance. [Review] PMID: 26218418
  12. FMO3 expression is increased in obese/insulin resistant patients. PMID: 25849138
  13. These results suggest that genetic polymorphism in the human FMO3 gene may lead to changes of drug interactions for N- or S-oxygenations of xenobiotics and endogenous substances. PMID: 25760532
  14. Effect of two-linked mutations of the FMO3 gene on itopride metabolism in Chinese healthy volunteers PMID: 25224784
  15. Three polymorphisms were found in intronic regions of FMO3 in a child with trimethylaminuria and in her parents and a brother. The parents and brother showed no symptoms. PMID: 25288227
  16. Comparisons of genotype and phenotype reveal that severe trimethylaminuria is caused by loss of function mutations in FMO3 PMID: 24028545
  17. results show that FMO3 E158K and POR A503V polymorphisms are minor sources of nicotine metabolism variation, insufficient to appreciably alter smoking. PMID: 24448396
  18. CYP3A4 and FMO3 are the major enzymes responsible for the metabolism of teneligliptin in humans. PMID: 23855261
  19. FMO3 (rs2266780) was in complete linkage disequilibrium with FMO6. PMID: 24173915
  20. single-nucleotide polymorphisms in the FMO3 gene is associated with chronic allograft dysfunction. PMID: 23350966
  21. Novel variations in the FMO3 gene associated with trimethylaminuria. PMID: 23791655
  22. provides fundamental, up-to-date information on the importance of human FMO3 in individual xenobiotic oxygenations, including those of new medicines and dietary-derived trimethylamine PMID: 23567996
  23. FMO3 heterozygote genotypes increase the risk of stroke 6 times in hypertensives in Turkish population. PMID: 23510775
  24. Polymorphisms in FMO3 influence nicotine clearance and that these genetic variants in turn influence cigarette consumption. PMID: 23211429
  25. Genetic variations in the FMO3 gene in patients with trimethylaminuria do not always present with fish-like body odor. PMID: 23266626
  26. Six novel variants of the FMO3 gene have been found responsible for trimethylaminuria in a Japanese population. PMID: 22819296
  27. It was found that FMO3 158K, 257M and 308G alleles, demonstrate impaired metabolism toward many FMO3 substrates, were observed frequently in Turkish population similar to the other populations PMID: 22409263
  28. patient heterozygous for 4 FMO3 mutations PMID: 21075259
  29. This study is the first to demonstrate a gene-environment interaction in SIDS. The findings suggest that the common polymorphism G472A of FMO3 could act as an additional genetic SIDS risk factor in children whose mothers smoke. PMID: 20198379
  30. These data suggest that birth is necessary, but not sufficient for the onset of FMO3 expression. A gender-independent increase in FMO3 expression was observed from 11 to 18 y of age. PMID: 11809920
  31. two new polymorphisms, His132-FMO3 and Pro360-FMO3, were identified; the effect of the amino acid substitutions on the function of FMO3 was evaluated PMID: 12814961
  32. Data show that the frequencies of FMO3 mutant alleles varied not only in different ethnic groups, but also in different populations that stemmed from the same ethnic group. PMID: 12903042
  33. ..FMO3 appears to be the most important flavin-containing monoxygenase..in adult human liver. p. 574 ..human FMO3 appears to oxygenate nucleophilic heteroatom-containing substrates.." p. 576 PMID: 15203093
  34. FMO3 displayed a significant, dominant liver-specific mRNA profile. PMID: 16183778
  35. variants in the FMO3 gene do not predispose to essential hypertension in a cardiovascular disease population of 1649 individuals, 691(41.9%) of whom had a history of hypertension requiring drug treatment PMID: 16324215
  36. Flavin-containing monooxygenase 3 (FMO3) is responsible for the majority of FMO-mediated xenobiotic metabolism in the adult human liver. PMID: 16481213
  37. Genetic basis of trimethylaminuria is studied in Italian pedigrees and shows a spectrum of variation in the FM03 gene with 3 novel mutations: a de novo missense mutation, a deletion (G1182del) at codon 394 and a novel missense mutation (R238P). PMID: 16600650
  38. The genotypes and allele frequencies of the MDR1/C3435T, FMO3/G488A, FMO3/A923G and CYP1A2/G-3860 A polymorphisms were not significantly different in cancer-free subjects and CRC patients. PMID: 16800822
  39. The study is said to be the first report for significant single nucleotide polymorphisms of the FMO3 causing amino acid substitutions in Japanese trimethylaminuria patients. PMID: 16858129
  40. As summarized in this review, FMO3 is apparently unique to the human, yet is the most abundant FMO family member in the adult human liver, whereas FMO1 dominates in most animal models. PMID: 16863467
  41. Individuals homozygous for either of the nonsense mutations--Arg500Stop and/or Cys197Stop--alleles in the FMO3 gene can possess abnormal trimethylamine N-oxygenation. PMID: 16996766
  42. results suggest that the effects of genetic variation of FMO3 could operate at the functional level for N- & S-oxygenation for typical FMO3 substrates PMID: 17142560
  43. abnormal FMO3 capacity is caused by menstruation particularly in the presence, in homozygous form, of mild genetic variants such as [Glu158Lys; Glu308Gly] that cause a reduced FMO3 function PMID: 17257434
  44. A homology model for FMO3 was constructed based on the crystal structure for yeast FMO which places the N61 residue alone, of the mutants analyzed here, in close proximity to the FAD catalytic center. PMID: 17531949
  45. This review summarizes the current state of research on the genetic polymorphisms of FMO3, with a focus on their clinical implications in gastrointestinal diseases. PMID: 17559352
  46. Mutations of the FMO3 gene were investigated in Japanese trimethylaminuria that showed low FMO3 metabolic capacity. PMID: 17584019
  47. FMO3 is the primary human adult liver FMO enzyme, but is developmentally regulated PMID: 17786630
  48. TG100435 and TG100855 were interconverted metabolically. FMO3 seem to be the major N-oxidizing enzyme, whereas cytochrome P450 reductase seems to be responsible for the retroreduction reaction. PMID: 17881660
  49. The results provide evidence that FMO3 has been the subject of balancing selection. PMID: 17885620
  50. Site-directed mutagenesis studies suggest that the putative hepatic nuclear factor-4 (HNF-4) binding site and CCAAT box could be responsible cis-acting elements of the FMO3 gene in a Japanese population. PMID: 18305374

Show More

Hide All

Involvement in disease
Trimethylaminuria (TMAU)
Subcellular Location
Microsome membrane; Single-pass membrane protein. Endoplasmic reticulum membrane; Single-pass membrane protein.
Protein Families
FMO family
Tissue Specificity
Liver.
Database Links

HGNC: 3771

OMIM: 136132

KEGG: hsa:2328

STRING: 9606.ENSP00000356729

UniGene: Hs.445350

icon of phone
Call us
301-363-4651 (Available 9 a.m. to 5 p.m. CST from Monday to Friday)
icon of address
Address
7505 Fannin St., Ste 610, Room 7 (CUBIO Innovation Center), Houston, TX 77054, USA
icon of social media
Join us with

Subscribe newsletter

Leave a message

* To protect against spam, please pass the CAPTCHA test below.
CAPTCHA verification
© 2007-2025 CUSABIO TECHNOLOGY LLC All rights reserved. 鄂ICP备15011166号-1
×
Place an order now

I. Product details

*
*
*
*

II. Contact details

*
*

III. Ship To

*
*
*
*
*
*
*

IV. Bill To

*
*
*
*
*
*
*
*