GPHN Recombinant Monoclonal Antibody

Code CSB-RA088025A0HU
Size US$210
Order now
Image
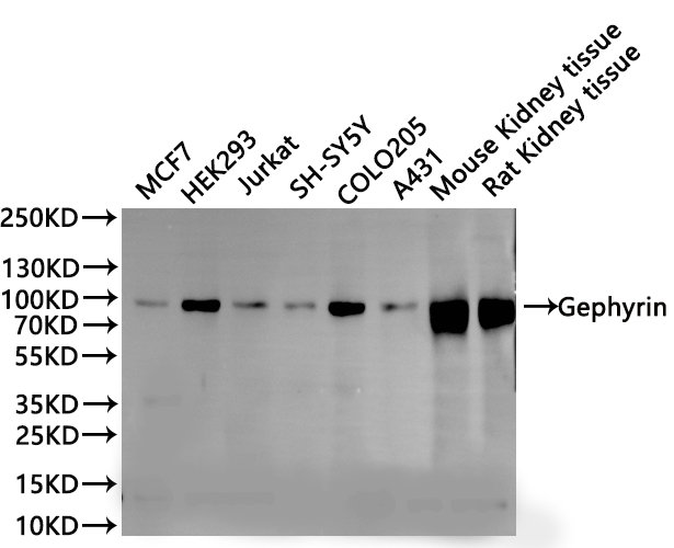
  • Western Blot
    Positive WB detected in: MCF7 whole cell lysate(30µg), HEK293 whole cell lysate(30µg), Jurkat whole cell lysate(30µg), SH-SY5Y whole cell lysate(30µg), COLO205 whole cell lysate(30µg), A431 whole cell lysate(30µg), Mouse kidney tissue lysate(30µg), Rat kidney tissue lysate(30µg)
    All lanes: Gephyrin antibody at 1:1000
    Secondary
    Goat polyclonal to rabbit IgG at 1/40000 dilution
    Predicted band size: 80 kDa
    Observed band size: 93 kDa
    Exposure time:2min
  • IHC image of CSB-RA088025A0HU diluted at 1:100 and staining in paraffin-embedded human brain tissue performed on a Leica BondTM system. After dewaxing and hydration, antigen retrieval was mediated by high pressure in a citrate buffer (pH 6.0). Section was blocked with 10% normal goat serum 30min at RT. Then primary antibody (1% BSA) was incubated at 4°C overnight. The primary is detected by a Goat anti-rabbit polymer IgG labeled by HRP and visualized using 0.05% DAB.
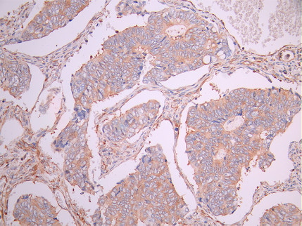
  • IHC image of CSB-RA088025A0HU diluted at 1:100 and staining in paraffin-embedded human colorectal cancer performed on a Leica BondTM system. After dewaxing and hydration, antigen retrieval was mediated by high pressure in a citrate buffer (pH 6.0). Section was blocked with 10% normal goat serum 30min at RT. Then primary antibody (1% BSA) was incubated at 4°C overnight. The primary is detected by a Goat anti-rabbit polymer IgG labeled by HRP and visualized using 0.05% DAB.
  • Overlay Peak curve showing SH-SY5Y cells stained with CSB-RA088025A0HU (red line) at 1:100. The cells were fixed in 4% formaldehyde and permeated by 0.2% TritonX-100 for 10min. Then 10% normal goat serum to block non-specific protein-protein interactions followed by the antibody (1ug/1*106cells) for 45min at 4℃. The secondary antibody used was FITC-conjugated goat anti-rabbit IgG (H+L) at 1/200 dilution for 35min at 4℃.Control antibody (green line) was Rabbit IgG (1ug/1*106cells) used under the same conditions. Acquisition of >10, 000 events was performed.
Have Questions? Leave a Message or Start an on-line Chat

Product Details

Uniprot No.
Target Names
GPHN
Alternative Names
Domain E antibody; Domain G antibody; GEPH antibody; GEPH_HUMAN antibody; GPH antibody; GPHN antibody; GPHRYN antibody; KIAA1385 antibody; Molybdopterin molybdenumtransferase antibody; MPT adenylyltransferase antibody; MPT Mo-transferase antibody
Species Reactivity
Human, Mouse, Rat
Immunogen
A synthesized peptide from human GPHN protein
Immunogen Species
Homo sapiens (Human)
Conjugate
Non-conjugated
Clonality
Monoclonal
Isotype
Rabbit IgG
Clone No.
22B11
Purification Method
Affinity-chromatography
Concentration
It differs from different batches. Please contact us to confirm it.
Buffer
Rabbit IgG in 10mM phosphate buffered saline , pH 7.4, 150mM sodium chloride, 0.05% BSA, 0.02% sodium azide and 50% glycerol.
Form
Liquid
Tested Applications
ELISA, WB, IHC, FC
Recommended Dilution
Application Recommended Dilution
WB 1:500-1:5000
IHC 1:50-1:200
FC 1:50-1:200
Troubleshooting and FAQs
Storage
Upon receipt, store at -20°C or -80°C. Avoid repeated freeze.
Lead Time
Basically, we can dispatch the products out in 1-3 working days after receiving your orders. Delivery time maybe differs from different purchasing way or location, please kindly consult your local distributors for specific delivery time.
Usage
For Research Use Only. Not for use in diagnostic or therapeutic procedures.

Customer Reviews and Q&A

 Customer Reviews

There are currently no reviews for this product.

Submit a Review here

Target Background

Function
Microtubule-associated protein involved in membrane protein-cytoskeleton interactions. It is thought to anchor the inhibitory glycine receptor (GLYR) to subsynaptic microtubules. Acts as a major instructive molecule at inhibitory synapses, where it also clusters GABA type A receptors.; Has also a catalytic activity and catalyzes two steps in the biosynthesis of the molybdenum cofactor. In the first step, molybdopterin is adenylated. Subsequently, molybdate is inserted into adenylated molybdopterin and AMP is released.
Gene References into Functions
  1. This study shown that the SNPs located in the rs723432 (Pallele=0.007; uncorrected) in the GPHN gene showed associated with Japanese individuals affected with schizophrenia. PMID: 28073605
  2. these data reveal that IQSEC3 acts together with gephyrin to regulate inhibitory synapse development. PMID: 27002143
  3. A missense mutation of gephyrin that was unable to synthesize MoCo and activate MoCo-dependent enzymes was identified. PMID: 26613940
  4. A yin-yang haplotype pattern encompassing gephyrin consists of 284 divergent nucleotide states and both variants vary drastically from their mutual ancestral haplotype, suggesting rapid evolution. PMID: 25813846
  5. The N-terminal region of GABRA3 and the GlyR beta subunit occupies the same binding site of gephyrin. PMID: 25531214
  6. Results show that PKC-dependent phosphorylation of GAP43 plays a critical role in regulating postsynaptic gephyrin aggregation in developing GABAergic synapses. PMID: 25755278
  7. Structural exonic microdeletions affecting the GPHN gene constitute a rare genetic risk factor for IGE and other neuropsychiatric disorders by an impairment of the GABAergic inhibitory synaptic transmission. PMID: 24561070
  8. The enhancement of Cb-induced gephyrin clustering by GTP-TC10 does not depend on the guanine nucleotide exchange activity of Cb but involves an interaction that resembles reported interactions of other small GTPases with their effectors PMID: 24297911
  9. abnormal accumulations of gephyrin are highly correlated with the neuropathologic diagnosis of Alzheimer disease in 17 AD versus 14 control cases. Furthermore, gephyrin accumulations were specific for AD. PMID: 24128675
  10. Rare exonic deletions implicate the synaptic organizer Gephyrin (GPHN) in risk for autism, schizophrenia and seizures. PMID: 23393157
  11. Extracellular signal-regulated kinase and glycogen synthase kinase 3beta regulate gephyrin postsynaptic aggregation and GABAergic synaptic function in a calpain-dependent mechanism PMID: 23408424
  12. A reduction in the number of gephyrin clusters in primary neurons reduces GABA signaling. PMID: 23077067
  13. Phosphorylation of gephyrin in hippocampal neurons by cyclin-dependent kinase CDK5 at Ser-270 is dependent on collybistin. PMID: 22778260
  14. The gephyrin's presence in a cytosolic 600 kDa protein complex suggests that its metabolic and/or other non-neuronal functions are exerted in the cytoplasm and are not confined to a particular subcellular compartment. PMID: 22270318
  15. Gephyrin expression is significantly lower in the temporal neocortex of temporal lobe epilepsy (TLE) patients and may be involved in the development of TLE. PMID: 21404332
  16. The authors have identified a protein kinase C (PKC) phosphorylation site within the cytoplasmic domain of the beta-subunit of the GlyR (residue S403) that causes a reduction of the binding affinity between the receptor and gephyrin. PMID: 21829170
  17. Data demonstrate the direct interaction between DYNLL1 and peptides derived from ASFV p54 and gephyrin interacting sequences. PMID: 21094642
  18. we did not obtain evidence for gephyrin gene mutations in patients with temporal lobe epilepsy PMID: 21071388
  19. Data are consistent with the postsynaptic gephyrin scaffold acting as a platform for protein phosphatase 1 (PP1), which regulates gephyrin cluster size by dephosphorylation of gephyrin- or cytoskeleton-associated proteins. PMID: 20206270
  20. Study propose that the collybistin-gephyrin complex has an intimate role in the clustering of GABA(A)Rs containing the alpha2 subunit. PMID: 20622020
  21. Gephyrin plays a role in synaptic function by interacting with GRIP1 splice forms at GABAergic synapses in transfected cultured hippocampal neurons. PMID: 18315564
  22. Gephyrin may have a central organizer role in assembling and stabilizing inhibitory postsynaptic membranes in human brain and is similar in function to those observed in the rodent brain. PMID: 12535948
  23. the N10Y mutation and alternative splicing of GPHN transcripts do not affect interactions with glycine receptor but may affect other interactions with the cytoskeleton or gephyrin accessory proteins PMID: 12684523
  24. Review: A total of 32 different disease-causing mutations, including several common to more than one family, have been identified in molybdenum cofactor-deficient patients and their relatives PMID: 12754701
  25. Colocalization of immunoreactivities for gephyrin and glycine receptor subunits was detected in the dorsal and ventral horns of the spinal cord, the hypoglossal nucleus and the medial vestibular nucleus of the medulla. PMID: 14622920
  26. GPHN as an MLL-GPHN chimera is able to transform hematopoietic progenitors; a tubulin-binding domain of GPHN is necessary and sufficient for this activity and also confers oligomerization capacity on MLL protein, which may contribute to leukemogenesis PMID: 14751928
  27. Within clusters, we identified two subpopulations of GlyR with distinct degrees of stabilization between receptors and scaffolding proteins. PMID: 17293395
  28. crystal structure of N terminal G domain PMID: 11554796

Show More

Hide All

Involvement in disease
Molybdenum cofactor deficiency, complementation group C (MOCODC)
Subcellular Location
Cell junction, synapse, postsynaptic cell membrane; Lipid-anchor; Cytoplasmic side. Cell membrane; Lipid-anchor; Cytoplasmic side. Cytoplasm, cytosol. Cytoplasm, cytoskeleton. Cell projection, dendrite. Cell junction, synapse, postsynaptic density.
Protein Families
MoaB/Mog family; MoeA family
Database Links

HGNC: 15465

OMIM: 603930

KEGG: hsa:10243

STRING: 9606.ENSP00000417901

UniGene: Hs.208765

icon of phone
Call us
301-363-4651 (Available 9 a.m. to 5 p.m. CST from Monday to Friday)
icon of address
Address
7505 Fannin St., Ste 610, Room 7 (CUBIO Innovation Center), Houston, TX 77054, USA
icon of social media
Join us with

Subscribe newsletter

Leave a message

* To protect against spam, please pass the CAPTCHA test below.
CAPTCHA verification
© 2007-2025 CUSABIO TECHNOLOGY LLC All rights reserved. 鄂ICP备15011166号-1
×
Place an order now

I. Product details

*
*
*
*

II. Contact details

*
*

III. Ship To

*
*
*
*
*
*
*

IV. Bill To

*
*
*
*
*
*
*
*