GTPBP4 Recombinant Monoclonal Antibody

Code CSB-RA781541A0HU
Size US$210
Order now
Image
  • Western Blot
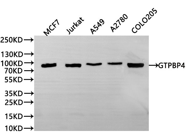
    Positive WB detected in: MCF7 whole cell lysate(30µg), Jurkat whole cell lysate(30µg), A549 whole cell lysate(30µg), A2780 whole cell lysate(30µg), COLO205 whole cell lysate(30µg)
    All lanes:GTPBP4 antibody at 1:1000
    Secondary
    Goat polyclonal to rabbit IgG at 1/40000 dilution
    Predicted band size: 74 kDa
    Observed band size: 80 kDa
    Exposure time:1min
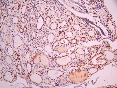
  • IHC image of CSB-RA781541A0HU diluted at 1:100 and staining in paraffin-embedded human thyroid tissue performed on a Leica BondTM system. After dewaxing and hydration, antigen retrieval was mediated by high pressure in a citrate buffer (pH 6.0). Section was blocked with 10% normal goat serum 30min at RT. Then primary antibody (1% BSA) was incubated at 4°C overnight. The primary is detected by a Goat anti-rabbit polymer IgG labeled by HRP and visualized using 0.05% DAB.
  • Overlay Peak curve showing HepG2 cells stained with CSB-RA781541A0HU (red line) at 1:100. The cells were fixed in 4% formaldehyde and permeated by 0.2% TritonX-100 for 10min. Then 10% normal goat serum to block non-specific protein-protein interactions followed by the antibody (1ug/1*106cells) for 45min at 4℃. The secondary antibody used was FITC-conjugated goat anti-rabbit IgG (H+L) at 1/200 dilution for 35min at 4℃.Control antibody (green line) was Rabbit IgG (1ug/1*106cells) used under the same conditions. Acquisition of >10, 000 events was performed.
Have Questions? Leave a Message or Start an on-line Chat

Product Details

Uniprot No.
Target Names
GTPBP4
Alternative Names
Chronic renal failure gene protein antibody; CRFG antibody; G protein binding protein CRFG antibody; GTP binding protein 4 antibody; GTP-binding protein NGB antibody; Gtpbp4 antibody; NGB antibody; NOG1 antibody; NOG1_HUMAN antibody; Nucleolar GTP binding protein 1 antibody; Nucleolar GTP-binding protein 1 antibody
Species Reactivity
Human
Immunogen
A synthesized peptide from human GTPBP4 protein
Immunogen Species
Homo sapiens (Human)
Conjugate
Non-conjugated
Clonality
Monoclonal
Isotype
Rabbit IgG
Clone No.
8F2
Purification Method
Affinity-chromatography
Concentration
It differs from different batches. Please contact us to confirm it.
Buffer
Rabbit IgG in 10mM phosphate buffered saline , pH 7.4, 150mM sodium chloride, 0.05% BSA, 0.02% sodium azide and 50% glycerol.
Form
Liquid
Tested Applications
ELISA, WB, IHC, FC
Recommended Dilution
Application Recommended Dilution
WB 1:500-1:5000
IHC 1:50-1:200
FC 1:50-1:200
Troubleshooting and FAQs
Storage
Upon receipt, store at -20°C or -80°C. Avoid repeated freeze.
Lead Time
Basically, we can dispatch the products out in 1-3 working days after receiving your orders. Delivery time maybe differs from different purchasing way or location, please kindly consult your local distributors for specific delivery time.
Usage
For Research Use Only. Not for use in diagnostic or therapeutic procedures.

Customer Reviews and Q&A

 Customer Reviews

There are currently no reviews for this product.

Submit a Review here

Target Background

Function
Involved in the biogenesis of the 60S ribosomal subunit.
Gene References into Functions
  1. GTPBP4 promotes colorectal cancer metastasis by disrupting actin cytoskeleton, which is mediated by the reduced RhoA activity.Up-regulation of GTPBP4 in colorectal carcinoma is responsible for tumor metastasis. PMID: 27720713
  2. NGB is a tumor suppressor that regulates and requires merlin to suppress cell proliferation PMID: 17210637
Subcellular Location
Nucleus, nucleolus.
Protein Families
TRAFAC class OBG-HflX-like GTPase superfamily, OBG GTPase family, NOG subfamily
Database Links

HGNC: 21535

KEGG: hsa:23560

STRING: 9606.ENSP00000354040

UniGene: Hs.215766

icon of phone
Call us
301-363-4651 (Available 9 a.m. to 5 p.m. CST from Monday to Friday)
icon of address
Address
7505 Fannin St., Ste 610, Room 7 (CUBIO Innovation Center), Houston, TX 77054, USA
icon of social media
Join us with

Subscribe newsletter

Leave a message

* To protect against spam, please pass the CAPTCHA test below.
CAPTCHA verification
© 2007-2025 CUSABIO TECHNOLOGY LLC All rights reserved. 鄂ICP备15011166号-1
×
Place an order now

I. Product details

*
*
*
*

II. Contact details

*
*

III. Ship To

*
*
*
*
*
*
*

IV. Bill To

*
*
*
*
*
*
*
*