HLTF Recombinant Monoclonal Antibody

Code CSB-RA045000A0HU
Size US$210
Order now
Image
  • Western Blot
    , Positive WB detected in:MCF7 whole cell lysate(30µg), A549 whole cell lysate(30µg), A431 whole cell lysate(30µg)
    All lanes: HLTF antibody at 1:1000
    Secondary
    Goat polyclonal to rabbit IgG at 1/20000 dilution
    Predicted band size: 114 kDa
    Observed band size: 120 kDa
    Exposure time:10s
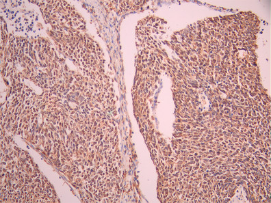
  • IHC image of CSB-RA045000A0HU diluted at 1:100 and staining in paraffin-embedded human lung cancer performed on a Leica BondTM system. After dewaxing and hydration, antigen retrieval was mediated by high pressure in a citrate buffer (pH 6.0). Section was blocked with 10% normal goat serum 30min at RT. Then primary antibody (1% BSA) was incubated at 4°C overnight. The primary is detected by a Goat anti-rabbit polymer IgG labeled by HRP and visualized using 0.05% DAB.
  • Overlay Peak curve showing MCF-7 cells stained with CSB-RA045000A0HU (red line) at 1:100. The cells were fixed in 4% formaldehyde and permeated by 0.2% TritonX-100 for 10min. Then 10% normal goat serum to block non-specific protein-protein interactions followed by the antibody (1ug/1*106cells) for 45min at 4℃. The secondary antibody used was FITC-conjugated goat anti-rabbit IgG (H+L) at 1/200 dilution for 35min at 4℃.Control antibody (green line) was Rabbit IgG (1ug/1*106cells) used under the same conditions. Acquisition of >10, 000 events was performed.
Have Questions? Leave a Message or Start an on-line Chat

Product Details

Uniprot No.
Target Names
HLTF
Alternative Names
DNA-binding protein/plasminogen activator inhibitor 1 regulator antibody; Helicase like transcription factor antibody; Helicase-like transcription factor antibody; HIP116 antibody; HIP116A antibody; HLTF 1 antibody; Hltf antibody; HLTF_HUMAN antibody; HLTF1 antibody; p113 antibody; RING finger protein 80 antibody; RNF80 antibody; SMARC A3 antibody; SMARCA 3 antibody; SMARCA3 antibody; SNF2-like 3 antibody; SNF2L3 antibody; Sucrose nonfermenting protein 2 like 3 antibody; Sucrose nonfermenting protein 2-like 3 antibody; SWI/SNF related matrix associated actin dependent regulator of chromatin subfamily A member 3 antibody; SWI/SNF-related matrix-associated actin-dependent regulator of chromatin a3 antibody; SWI/SNF-related matrix-associated actin-dependent regulator of chromatin subfamily A member 3 antibody; ZBU 1 antibody; ZBU1 antibody
Species Reactivity
Human
Immunogen
A synthesized peptide from human HLTF protein
Immunogen Species
Homo sapiens (Human)
Conjugate
Non-conjugated
Clonality
Monoclonal
Isotype
Rabbit IgG
Clone No.
21D10
Purification Method
Affinity-chromatography
Concentration
It differs from different batches. Please contact us to confirm it.
Buffer
Rabbit IgG in 10mM phosphate buffered saline , pH 7.4, 150mM sodium chloride, 0.05% BSA, 0.02% sodium azide and 50% glycerol.
Form
Liquid
Tested Applications
ELISA, WB, IHC, FC
Recommended Dilution
Application Recommended Dilution
WB 1:500-1:5000
IHC 1:50-1:200
FC 1:50-1:200
Troubleshooting and FAQs
Storage
Upon receipt, store at -20°C or -80°C. Avoid repeated freeze.
Lead Time
Basically, we can dispatch the products out in 1-3 working days after receiving your orders. Delivery time maybe differs from different purchasing way or location, please kindly consult your local distributors for specific delivery time.
Usage
For Research Use Only. Not for use in diagnostic or therapeutic procedures.

Customer Reviews and Q&A

 Customer Reviews

There are currently no reviews for this product.

Submit a Review here

Target Background

Function
Has both helicase and E3 ubiquitin ligase activities. Possesses intrinsic ATP-dependent nucleosome-remodeling activity; This activity may be required for transcriptional activation or repression of specific target promoters. These may include the SERPINE1 and HIV-1 promoters and the SV40 enhancer, to which this protein can bind directly. Plays a role in error-free postreplication repair (PRR) of damaged DNA and maintains genomic stability through acting as a ubiquitin ligase for 'Lys-63'-linked polyubiquitination of chromatin-bound PCNA.
Gene References into Functions
  1. Data suggest that HIV-1 vpr mediates polyubiquitination of HLTF by directly loading it onto C-terminal WD40 domain of DCAF1 in complex the CRL4, an E3 ubiquitin ligase. (vpr = vpr gene product of Human immunodeficiency virus 1; HLTF = human helicase like transcription factor; DCAF1 = human Vpr (HIV-1) binding protein; CRL4 = human E3 ubiquitin ligase CRL4) PMID: 29079575
  2. A low WT HLTF expression with a high I21R HLTF expression is associated with a poor disease-free survival PMID: 29661164
  3. the present study does not provide any strong evidence that PAI-1 gene variants are implicated in the risk of DR or the development of DR during T2DM course. PMID: 28632032
  4. A large number of SNF2 family, DNA and ATP-dependent motor proteins are needed during transcription, DNA replication, and DNA repair to manipulate protein-DNA interactions and change DNA structure. SMARCAL1, ZRANB3, and HLTF are three related members of this family with specialized functions that maintain genome stability during DNA replication. [review] PMID: 28954549
  5. depletion of SMARCAL1, a SNF2-family DNA translocase that remodels stalled forks, restores replication fork stability and reduces the formation of replication stress-induced DNA breaks and chromosomal aberrations in BRCA1/2-deficient cells. In addition to SMARCAL1, other SNF2-family fork remodelers, including ZRANB3 and HLTF, cause nascent DNA degradation and genomic instability PMID: 29053959
  6. HIV-1 vpr reprograms CRL4(DCAF1) E3 to direct HLTF for proteasome-dependent degradation independent from previously reported Vpr interactions with base excision repair enzyme uracil DNA glycosylase (UNG2) and crossover junction endonuclease MUS81, which Vpr also directs for degradation via CRL4(DCAF1) E3. PMID: 27335459
  7. Fasudil reduced LPS-mediated TF and PAI-1 expression and activity in PBMCs. These effects may partially be relevant to the clinical benefits of fasudil in the treatment of CAPD patients. PMID: 27756191
  8. HLTF is degraded in lymphocytic cells and macrophages infected with Vpr-expressing HIV-1. Our results reveal a previously unidentified strategy for HIV-1 to antagonize DNA repair in host cells. PMID: 27114546
  9. HLTF expression is altered in various cancers via two mechanisms: gene silencing through promoter hypermethylation or alternative mRNA splicing, which leads to the expression of truncated proteins that lack DNA repair domains. [review] PMID: 26472339
  10. HLTF promotes the filling-in of gaps left opposite damaged DNA during replication, and this postreplication repair function depends on its HIRAN domain. PMID: 26350214
  11. Findings indicate a mechanism of helicase-like transcription factor HLTF-mediated fork reversal and suggest the requirement for distinct fork remodeling activities in the cell. PMID: 26051180
  12. These results suggest that the HIRAN domain functions as a sensor to the 3'-end of the primer strand at the stalled replication fork and that the domain facilitates fork regression. PMID: 25858588
  13. Study demonstrates a correlation between HLTF expression level and thyroid neoplastic progression where three truncated forms are detected in thyroid carcinoma. PMID: 25005870
  14. We were able to provide evidence that methylation of HLTF and especially HPP1 detected in serum is strongly correlated with cell death in CRC using LDH as surrogate marker PMID: 24708595
  15. Results demonstrate that loss of HLTF function promotes the malignant transformation of intestinal or colonic adenomas to carcinomas by inducing genomic instability. PMID: 22452792
  16. results delineate a previously unknown USP7-HLTF-PCNA molecular network controlling DNA damage response PMID: 21845734
  17. HLTF can displace a broad spectrum of proteins such as replication protein A (RPA), PCNA, and replication factor C (RFC), thereby providing the first example for a protein clearing activity at the stalled replication fork. PMID: 21795603
  18. HLTF and SHPRH suppress mutagenesis in a damage-specific manner, preventing mutations induced by UV rays and methyl methanesulfonate. PMID: 21396873
  19. results suggest that HLTF is involved in DNA repair and apoptosis in cancer cells, which might represent a target for gene therapies of human cancer PMID: 20535496
  20. this is the first report identifying the regulatory mechanism of HLTF by CHFR, suggesting that CHFR-mediated downregulation of HLTF may help protect against cancer. PMID: 20388495
  21. HLTF can promote error-free replication of damaged DNA and support a role for HLTF in preventing mutagenesis and carcinogenesis, providing thereby for its potential tumor suppressor role. PMID: 19948885
  22. These results suggest that HLTF promoter hypermethylation is frequently demonstrated in human gastric cancer, and inactivation of HLTF or the chromatin-remodeling complex may play a crucial role in gastric carcinogenesis. PMID: 12766908
  23. Acetylation of histones H3 and H4 in the 5' CpG island of the HLTF gene were inversely associated with DNA methylation status. PMID: 12901794
  24. Methylation helicase-like transcription factor is associated with advanced esophageal squamous cell carcinoma PMID: 17094449
  25. HLTF activation was recently linked to the initial steps of carcinogenesis in an experimental model of estrogen-induced kidney tumor. [REVIEW] PMID: 18034322
  26. HLTF physically interacts with the Rad6-Rad18 and Mms2-Ubc13 ubiquitin-conjugating enzyme complexes and promotes the Lys-63-linked polyubiquitination of proliferating cell nuclear antigen at its Lys-164 residue. PMID: 18316726
  27. Splice arrays and RT-PCR showed that although most splice variants in RUSH and ATP11B are conserved in human and rabbit, the RFBP isoform is specific to rabbit. PMID: 18584949
  28. HLTF and SHPRH are functional homologues of yeast Rad5 that cooperatively mediate PCNA polyubiquitination and maintain genomic stability. PMID: 18719106
  29. There is an association between the presence of helicase-like transcription factor and neoplastic progression of hypopharyngeal and laryngeal squamous cell carcinomas. PMID: 18825407
  30. Hypopharyngeal squamous cell carcinomas presenting high levels of HLTF have a worse prognosis. PMID: 19614770
  31. biochemical characterisation of cellular HLTF is described. PMID: 19723507
  32. HLTF/SMARCA3, a member of SWI/SNF family, is a common target for methylation and epigenetic gene silencing in colon cancer and a candidate colon cancer suppressor gene. PMID: 11904375
  33. SMARCA3 is the human gene for RUSH transcription factors (U66564, U66565; Mol Endocrinol, 1996, 10:1335-1349). A binding partner has been cloned and characterized (AF236061; JBC, 2001, 276:3641-3649). PMID: 11058586

Show More

Hide All

Subcellular Location
Cytoplasm. Nucleus. Nucleus, nucleolus. Nucleus, nucleoplasm.
Protein Families
SNF2/RAD54 helicase family, RAD16 subfamily
Tissue Specificity
Expressed in brain, heart, kidney, liver, lung, pancreas, placenta and skeletal muscle.
Database Links

HGNC: 11099

OMIM: 603257

KEGG: hsa:6596

STRING: 9606.ENSP00000308944

UniGene: Hs.3068

icon of phone
Call us
301-363-4651 (Available 9 a.m. to 5 p.m. CST from Monday to Friday)
icon of address
Address
7505 Fannin St., Ste 610, Room 7 (CUBIO Innovation Center), Houston, TX 77054, USA
icon of social media
Join us with

Subscribe newsletter

Leave a message

* To protect against spam, please pass the CAPTCHA test below.
CAPTCHA verification
© 2007-2025 CUSABIO TECHNOLOGY LLC All rights reserved. 鄂ICP备15011166号-1
×
Place an order now

I. Product details

*
*
*
*

II. Contact details

*
*

III. Ship To

*
*
*
*
*
*
*

IV. Bill To

*
*
*
*
*
*
*
*