KCNJ2 Recombinant Monoclonal Antibody

Code CSB-RA151954A0HU
Size US$210
Order now
Image
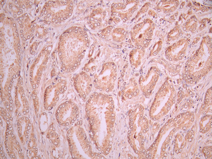
  • IHC image of CSB-RA151954A0HU diluted at 1:100 and staining in paraffin-embedded human prostate cancer performed on a Leica BondTM system. After dewaxing and hydration, antigen retrieval was mediated by high pressure in a citrate buffer (pH 6.0). Section was blocked with 10% normal goat serum 30min at RT. Then primary antibody (1% BSA) was incubated at 4°C overnight. The primary is detected by a Goat anti-rabbit polymer IgG labeled by HRP and visualized using 0.05% DAB.
Have Questions? Leave a Message or Start an on-line Chat

Product Details

Uniprot No.
Target Names
Alternative Names
Cardiac inward rectifier potassium channel antibody; HHBIRK 1 antibody; HHBIRK1 antibody; HHIRK 1 antibody; HHIRK1 antibody; HIRK 1 antibody; hIRK1 antibody; Inward rectifier K antibody; Inward rectifier K(+) channel Kir2.1 antibody; Inward rectifier potassium channel 2 antibody; inwardly rectifying subfamily J member 2 antibody; IRK 1 antibody; IRK-1 antibody; IRK1 antibody; IRK2_HUMAN antibody; KCNJ2 antibody; KIR2.1 antibody; LQT 7 antibody; LQT7 antibody; Potassium channel antibody; Potassium channel inwardly rectifying subfamily J member 2 antibody; Potassium inwardly rectifying channel J2 antibody; Potassium inwardly rectifying channel subfamily J member 2 antibody; SQT 3 antibody; SQT3 antibody
Species Reactivity
Human
Immunogen
A synthesized peptide from human KCNJ2 protein
Immunogen Species
Homo sapiens (Human)
Conjugate
Non-conjugated
Clonality
Monoclonal
Isotype
Rabbit IgG
Clone No.
16B6
Purification Method
Affinity-chromatography
Concentration
It differs from different batches. Please contact us to confirm it.
Buffer
Rabbit IgG in 10mM phosphate buffered saline , pH 7.4, 150mM sodium chloride, 0.05% BSA, 0.02% sodium azide and 50% glycerol.
Form
Liquid
Tested Applications
ELISA, IHC
Recommended Dilution
Application Recommended Dilution
IHC 1:50-1:200
Troubleshooting and FAQs
Storage
Upon receipt, store at -20°C or -80°C. Avoid repeated freeze.
Lead Time
Basically, we can dispatch the products out in 1-3 working days after receiving your orders. Delivery time maybe differs from different purchasing way or location, please kindly consult your local distributors for specific delivery time.
Usage
For Research Use Only. Not for use in diagnostic or therapeutic procedures.

Customer Reviews and Q&A

 Customer Reviews

There are currently no reviews for this product.

Submit a Review here

Target Background

Function
Probably participates in establishing action potential waveform and excitability of neuronal and muscle tissues. Inward rectifier potassium channels are characterized by a greater tendency to allow potassium to flow into the cell rather than out of it. Their voltage dependence is regulated by the concentration of extracellular potassium; as external potassium is raised, the voltage range of the channel opening shifts to more positive voltages. The inward rectification is mainly due to the blockage of outward current by internal magnesium. Can be blocked by extracellular barium or cesium.
Gene References into Functions
  1. Twelve tag single nucleotide polymorphisms (SNPs) from the KCNJ2 and KCNJ10 genes were genotyped. Among the 12 examined SNPs, only KCNJ10 rs1186689 was significantly associated with disease susceptibility; the variant T allele conferred a lower risk of developing ASD PMID: 30304693
  2. data show that hydrocinnamic acid can inhibit the currents of Kir2.1 channel in both excised inside-out and whole-cell patch with the IC50 of 5.21 +/- 1.02 and 10.08 +/- 0.46 mM, respectively. PMID: 28660286
  3. study confirms the pathogenicity of Kir2.1-52V in 1 patient with long-QT syndrome and also supports the use of isogenic human induced pluripotent stem cell-derived cardiomyocytes as a physiologically relevant model for the screening of variants of unknown function. PMID: 29021306
  4. We report a novel KCNJ2 sequence variant (p.Y145C) in a family with diagnosed Andersen-Tawil syndrome. PMID: 29017447
  5. Combined inhibition of IKr and IKur produced a synergistic anti-arrhythmic effect in both forms of SQT3. In conclusion, this study provides mechanistic insights into atrial proarrhythmia with SQT3 Kir2.1 mutations and highlights possible pharmacological strategies for management of SQT3-linked AF. PMID: 28609477
  6. Data suggest that an R204A mutation disrupts the characteristic cytoplasmic domain subunit interface salt bridges in Kir2.1 reducing apparent sensitivity of channel activity to ligand PIP2 (phosphatidylinositol bisphosphate). PMID: 28446610
  7. These findings suggest that KCNJ2 plays an important role in the pathophysiology of Thyrotoxic Periodic Paralysis in Korean Graves' Disease patients with Thyrotoxic Periodic Paralysis . PMID: 28008586
  8. Nav1.5 N-terminal domain binding to alpha1-syntrophin increases membrane density of human Kir2.1, Kir2.2 and Nav1.5 channels PMID: 26786162
  9. Kir2.1 may participate in macrophage maturation and differentiation, and play a key role in lipid uptake and foam cell formation through modulating the expression of scavenger receptors. PMID: 26689595
  10. a Korean family with Andersen-Tawil syndrome with a G215D mutation of the KCNJ2 gene revealed by diagnostic exome sequencing, is reported. PMID: 26927354
  11. Chloroethylclonidine interact with Kir2.1 channels in the cytoplasmic pore. PMID: 26922543
  12. Variability has been found in a three-generation family with Pierre Robin sequence, acampomelic campomelic dysplasia, and intellectual disability due to a novel approximately 1 Mb deletion upstream of SOX9, and including KCNJ2 and KCNJ16. PMID: 26663529
  13. Patients with Dilated Cardiomyopathy and Sustained Monomorphic Ventricular Tachycardia Show Up-Regulation of KCNN3 and KCNJ2 Genes and CACNG8-Linked Left Ventricular Dysfunction PMID: 26710323
  14. Results indicate that silencing BKCa (KCa1.1) inhibits cell mobility, while silencing IKir (Kir2.1) increases cell mobility in human cardiac c-kit+ progenitor cells. PMID: 26390131
  15. No genetic variants were identified in the KCNJ2 gene in this cohort of Chinese thyrotoxic periodic paralysis patients. PMID: 25885757
  16. Kir2.1 channels exhibit a binding site determined by Cys311 that is responsible for drug-induced increases in inward rectifier Kir2.1 currents. PMID: 25205296
  17. Kir2.1 channel function is essential during osteoblastogenesis. PMID: 25205110
  18. Upregulation of the inwardly rectifying potassium channel Kir2.1 (KCNJ2) modulates multidrug resistance of small-cell lung cancer under the regulation of miR-7 and the Ras/MAPK pathway. PMID: 25880778
  19. propose that Kir2.1 currents control the interspike interval, and predict that blocking Kir2.1 channels increases the action potential frequency, which should augment the rate of insulin secretion in pancreatic beta cells PMID: 25727015
  20. Results show that K346T mutation causes gain of function of the Kir2.1 channels by altering their trafficking and stabilization suggesting that the variant has a combined effect on cardiac rhythm and neuropsychiatric phenotype. PMID: 24794859
  21. This study demonistrated that KCNJ2 mutations cause a variable phenotype, with dysmorphic features seen in all patients studied, a high penetrance of periodic paralysis in males and ventricular arrhythmia with a risk of sudden cardiac death. PMID: 24861851
  22. R67Q-Kir2.1 is associated with an adrenergic-dependent clinical and cellular phenotype with rectification abnormality enhanced by increased calcium. PMID: 24561538
  23. genetic variation in the KCNJ2 gene is a significant locus for thyrotoxic periodic paralysis PMID: 23803013
  24. Mutations in KCNJ2 has been shown to cause familial atrial fibrillation. PMID: 24460807
  25. SGK3 is a novel regulator of K(ir)2.1. PMID: 24556932
  26. Thus multiple proteolytic pathways control Kir2.1 levels at the plasma membrane PMID: 24227888
  27. This review describes the loss-of-function mutations in KCNJ2 associated with type 1 Anderson-Tawil syndrome. PMID: 24383070
  28. Despite a severe clinical presentation with a very high rate of ventricular arrhythmias, the arrhythmic prognosis of the Andersen-Tawil syndrome patients with KCNJ2 mutations is relatively good under treatment. PMID: 23867365
  29. Andersen-Tawil syndrome (ATS) is a rare inherited multisystem disorder associated with mutations in KCNJ2. PMID: 24047492
  30. This review compiles clinical, genetic, biochemical, electrophysiological, and molecular evidence that identifies Kir2.1 as a molecular target for FASD development and possibly therapeutic treatment. PMID: 23756044
  31. Genetic background of catecholaminergic polymorphic ventricular tachycardia in Japan. PMID: 23595086
  32. Report pentamidine analogue which specifically blocks cardiac KIR2.1 channel, lengthening action potential duration. PMID: 23625347
  33. Kir2.1 gene expression inhibits motor neuron activity by resisting depolarization to the action potential threshold. PMID: 23277370
  34. Energetics and location of phosphoinositide binding in human Kir2.1 channels. PMID: 23564459
  35. Overexpression of Kir2.1 channel aTTENUATES POSTTRANSPLANTATION PROARRHYthmic risk in myocardial infarction. PMID: 23041574
  36. Kir2.1 loss of function is additive to the increase in late sodium current, prolonging repolarization and leading to arrhythmia generation in Cav3-mediated long qt syndrome 9. PMID: 23640888
  37. Identify two novel, heterozygous KCNJ2 mutations (p.N318S, p.W322C) located in the C-terminus of the Kir2.1 subunit in Andersen-Tawil syndrome. PMID: 23644778
  38. the present observations show that PKB in conjunction with PIKfyve activates Kir2.1 channels. PMID: 23188060
  39. miR-26 controls the expression of KCNJ2 and may have a role in atrial fibrillation PMID: 23543060
  40. KCNJ2 mutation in short QT syndrome 3 results in atrial fibrillation and ventricular proarrhythmia. PMID: 23440193
  41. Mutations of two distant Kir2.1 cytosolic residues, Leu-222 and Asn-251, form a two-way molecular switch that controls channel modulation by cholesterol. PMID: 22995912
  42. The targeting of the K(ir)2.1 3'UTR at bp 2677-2683 by miR-212 results in a decrease in the red/green fluorescence intensity ratio as determined by automated image analysis confirmed the mutations at this site alter the binding. PMID: 22880819
  43. The common variant rs7219669 is associated with the TPE interval(EKG). It is a candidate to modify repolarization-related arrhythmia susceptibility. PMID: 22342860
  44. Expression quantitative trait locus (eQTL) analysis identified SNPs in the region flanking rs312691 (+/-10 kb) that could potentially affect KCNJ2 expression in thyrotoxic periodic paralysis. PMID: 22863731
  45. Mutation-positive rates of KCNJ2 were 75% in typical ATS, 71% in cardiac phenotype alone, 100% in periodic paralysis, and 7% in CPVT. PMID: 22589293
  46. KCNJ2-D172N mutation leads to accelerated ventricular repolarization and QT interval shortening, facilitating initiation and maintenance of re-entrant circuits. PMID: 22308236
  47. Characterization of a novel, dominant negative KCNJ2 mutation associated with Andersen-Tawil syndrome. PMID: 22186697
  48. The C-terminal region is a vital motif of phosphatidylinositol-4,5-bisphosphate (PIP2) binding and channel trafficking, and defects in PIP2 binding have been reported to constitute a pathogenic mechanism in ATS.5 PMID: 21875779
  49. bacterial Kir channels (KirBac1.1 and KirBac3.1) and human Kir2.1 are all inhibited by cholesterol, most likely by locking the channels into prolonged closed states, whereas the enantiomer, ent-cholesterol, does not inhibit these channels PMID: 21559361
  50. tetrad complex shows the close association of the Kir2.1 cytoplasmic domains and the influence of PSD-95 mediated self-assembly on the clustering of these channels PMID: 21756874

Show More

Hide All

Involvement in disease
Long QT syndrome 7 (LQT7); Short QT syndrome 3 (SQT3); Atrial fibrillation, familial, 9 (ATFB9)
Subcellular Location
Membrane; Multi-pass membrane protein. Membrane; Lipid-anchor.
Protein Families
Inward rectifier-type potassium channel (TC 1.A.2.1) family, KCNJ2 subfamily
Tissue Specificity
Heart, brain, placenta, lung, skeletal muscle, and kidney. Diffusely distributed throughout the brain.
Database Links

HGNC: 6263

OMIM: 170390

KEGG: hsa:3759

STRING: 9606.ENSP00000243457

UniGene: Hs.1547

icon of phone
Call us
301-363-4651 (Available 9 a.m. to 5 p.m. CST from Monday to Friday)
icon of address
Address
7505 Fannin St., Ste 610, Room 7 (CUBIO Innovation Center), Houston, TX 77054, USA
icon of social media
Join us with

Subscribe newsletter

Leave a message

* To protect against spam, please pass the CAPTCHA test below.
CAPTCHA verification
© 2007-2025 CUSABIO TECHNOLOGY LLC All rights reserved. 鄂ICP备15011166号-1
×
Place an order now

I. Product details

*
*
*
*

II. Contact details

*
*

III. Ship To

*
*
*
*
*
*
*

IV. Bill To

*
*
*
*
*
*
*
*