LSP1 Recombinant Monoclonal Antibody

Code CSB-RA955655A0HU
Size US$210
Order now
Image
  • Western Blot
    , Positive WB detected in:Jurkat whole cell lysate(30µg), HL-60 whole cell lysate(30µg), U937 whole cell lysate(30µg)
    All lanes: LSP1 antibody at 1:1000
    Secondary
    Goat polyclonal to rabbit IgG at 1/40000 dilution
    Predicted band size: 37 kDa
    Observed band size:52 kDa
    Exposure time:180s
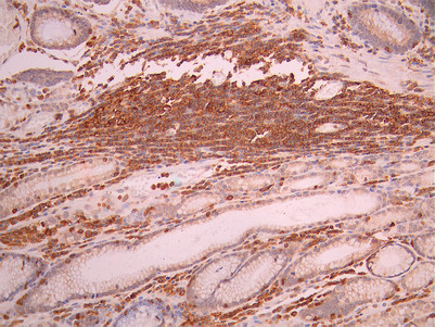
  • IHC image of CSB-RA955655A0HU diluted at 1:100 and staining in paraffin-embedded human gastric cancer performed on a Leica BondTM system. After dewaxing and hydration, antigen retrieval was mediated by high pressure in a citrate buffer (pH 6.0). Section was blocked with 10% normal goat serum 30min at RT. Then primary antibody (1% BSA) was incubated at 4°C overnight. The primary is detected by a Goat anti-rabbit polymer IgG labeled by HRP and visualized using 0.05% DAB.
Have Questions? Leave a Message or Start an on-line Chat

Product Details

Uniprot No.
Target Names
LSP1
Alternative Names
47 kDa actin binding protein antibody; 47 kDa actin-binding protein antibody; 52 kDa phosphoprotein antibody; F actin binding and cytoskeleton associated protein antibody; Leufactin (leukocyte F-actin binding protein) antibody; Leufactin antibody; Leukocyte F actin binding protein antibody; Leukocyte specific protein 1 antibody; LSP 1 antibody; Lsp1 antibody; LSP1_HUMAN antibody; Lymphocyte specific antigen WP34 antibody; Lymphocyte specific protein 1 antibody; Lymphocyte specific protein pp52 antibody; Lymphocyte-specific antigen WP34 antibody; Lymphocyte-specific protein 1 antibody; OTTHUMP00000014138 antibody; OTTHUMP00000014139 antibody; OTTHUMP00000014140 antibody; OTTHUMP00000069612 antibody; OTTHUMP00000069614 antibody; OTTHUMP00000069615 antibody; OTTHUMP00000069616 antibody; pp52 antibody; Protein pp52 antibody; S37 protein antibody; WP 34 antibody; WP34 antibody
Species Reactivity
Human
Immunogen
A synthesized peptide from human LSP1 protein
Immunogen Species
Homo sapiens (Human)
Conjugate
Non-conjugated
Clonality
Monoclonal
Isotype
Rabbit IgG
Clone No.
24F9
Purification Method
Affinity-chromatography
Concentration
It differs from different batches. Please contact us to confirm it.
Buffer
Rabbit IgG in 10mM phosphate buffered saline , pH 7.4, 150mM sodium chloride, 0.05% BSA, 0.02% sodium azide and 50% glycerol.
Form
Liquid
Tested Applications
ELISA, WB, IHC
Recommended Dilution
Application Recommended Dilution
WB 1:500-1:5000
IHC 1:50-1:200
Troubleshooting and FAQs
Storage
Upon receipt, store at -20°C or -80°C. Avoid repeated freeze.
Lead Time
Basically, we can dispatch the products out in 1-3 working days after receiving your orders. Delivery time maybe differs from different purchasing way or location, please kindly consult your local distributors for specific delivery time.
Usage
For Research Use Only. Not for use in diagnostic or therapeutic procedures.

Customer Reviews and Q&A

 Customer Reviews

There are currently no reviews for this product.

Submit a Review here

Target Background

Function
May play a role in mediating neutrophil activation and chemotaxis.
Gene References into Functions
  1. LSP1 rs3817198 T > C polymorphism is associated with increased risk of breast cancer, especially in Caucasian and Asian populations [meta-analysis] PMID: 27590509
  2. These results show that LSP1 is critical regulator of actomyosin contractility in primary macrophages. PMID: 29410425
  3. Underexpression of LSP1 is associated with Breast Cancer Recurrence. PMID: 27165221
  4. LSP1 rs569550 and rs592373 polymorphisms are both risk factors for breast cancer. PMID: 26191300
  5. the importance of LSP1 Copy number variations and LSP1 insufficiency in the pathogenesis of rheumatoid arthritis, is reported. PMID: 26554018
  6. The breast cancer SNP LSP1 rs3817198 was associated with an increased risk of lung cancer (odds ratio: 1.10) This association was strongest for women with adenocarcinoma (P = 1.2x10(-4)). PMID: 24681604
  7. Data indicate that slit2N alters the localization and binding of Robo1 to WASp and LSP1 in HIV-1-gp120-treated immature dendritic cells (iDCs). PMID: 23119100
  8. Single nucleotide polymorphism in LSP1 is associated with breast cancer. PMID: 22454379
  9. The LSP1 rs3817198T>C polymorphism is a low-penetrant risk factor for developing breast cancer but may not be in Africans. PMID: 21127985
  10. Low-risk variants of LSP1 is associated with familial breast cancer. PMID: 19856316
  11. The LSP1 and 2q35 SNPs appear to interact multiplicatively on breast cancer risk for BRCA2 mutation carriers. PMID: 19656774
  12. LSP1 interacts with F-actin and the cytoskeleton through residues downstream of amino acid residue 230. The cytoskeleton binding site of mouse LSP1 maps to the 300-330 interval. PMID: 12972289
  13. Leukocyte-specific protein 1 is a cytoskeletal targeting protein for the ERK/MAP kinase pathway PMID: 15090600
  14. LSP1 protein facilitates virus transport into the proteasome after its interaction with DC-SIGN through its interaction with cytoskeletal proteins. PMID: 17296787
  15. MK2-regulated LSP1 phosphorylation is involved in stabilization of F-actin polarization during neutrophil chemotaxis. PMID: 17481585
  16. DC-SIGN was constitutively associated with a signalosome complex consisting of the scaffold proteins LSP1, KSR1 and CNK and the kinase Raf-1 PMID: 19718030

Show More

Hide All

Subcellular Location
Cell membrane; Peripheral membrane protein; Cytoplasmic side.
Tissue Specificity
Activated T-lymphocytes.
Database Links

HGNC: 6707

OMIM: 153432

KEGG: hsa:4046

STRING: 9606.ENSP00000308383

UniGene: Hs.56729

icon of phone
Call us
301-363-4651 (Available 9 a.m. to 5 p.m. CST from Monday to Friday)
icon of address
Address
7505 Fannin St., Ste 610, Room 7 (CUBIO Innovation Center), Houston, TX 77054, USA
icon of social media
Join us with

Subscribe newsletter

Leave a message

* To protect against spam, please pass the CAPTCHA test below.
CAPTCHA verification
© 2007-2025 CUSABIO TECHNOLOGY LLC All rights reserved. 鄂ICP备15011166号-1
×
Place an order now

I. Product details

*
*
*
*

II. Contact details

*
*

III. Ship To

*
*
*
*
*
*
*

IV. Bill To

*
*
*
*
*
*
*
*