MED4 Recombinant Monoclonal Antibody

Code CSB-RA562365A0HU
Size US$210
Order now
Image
  • Western Blot
    , Positive WB detected in:MCF7 whole cell lysate(30µg), HEK293 whole cell lysate(30µg), U87 whole cell lysate(30µg), SH-SY5Y whole cell lysate(30µg), Hela whole cell lysate(30µg), Jurkat whole cell lysate(30µg), 4T1 whole cell lysate(30µg), Rat liver tissue lysate(30µg)
    All lanes: MED4 antibody at 1:1000
    Secondary
    Goat polyclonal to rabbit IgG at 1/40000 dilution
    Predicted band size: 30 kDa
    Observed band size: 30 kDa
    Exposure time:10s
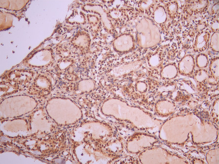
  • IHC image of CSB-RA562365A0HU diluted at 1:100 and staining in paraffin-embedded human thyroid tissue performed on a Leica BondTM system. After dewaxing and hydration, antigen retrieval was mediated by high pressure in a citrate buffer (pH 6.0). Section was blocked with 10% normal goat serum 30min at RT. Then primary antibody (1% BSA) was incubated at 4°C overnight. The primary is detected by a Goat anti-rabbit polymer IgG labeled by HRP and visualized using 0.05% DAB.
  • IHC image of CSB-RA562365A0HU diluted at 1:100 and staining in paraffin-embedded human colorectal cancer performed on a Leica BondTM system. After dewaxing and hydration, antigen retrieval was mediated by high pressure in a citrate buffer (pH 6.0). Section was blocked with 10% normal goat serum 30min at RT. Then primary antibody (1% BSA) was incubated at 4°C overnight. The primary is detected by a Goat anti-rabbit polymer IgG labeled by HRP and visualized using 0.05% DAB.
  • Overlay Peak curve showing SH-SY5Y cells stained with CSB-RA562365A0HU (red line) at 1:100. The cells were fixed in 4% formaldehyde and permeated by 0.2% TritonX-100 for 10min. Then 10% normal goat serum to block non-specific protein-protein interactions followed by the antibody (1ug/1*106cells) for 45min at 4℃. The secondary antibody used was FITC-conjugated goat anti-rabbit IgG (H+L) at 1/200 dilution for 35min at 4℃.Control antibody (green line) was Rabbit IgG (1ug/1*106cells) used under the same conditions. Acquisition of >10, 000 events was performed.
Have Questions? Leave a Message or Start an on-line Chat

Product Details

Uniprot No.
Target Names
MED4
Alternative Names
Activator-recruited cofactor 36 kDa component antibody; ARC36 antibody; DRIP36 antibody; FLJ10956 antibody; HSPC126 antibody; med4 antibody; MED4_HUMAN antibody; Mediator complex subunit 4 antibody; Mediator of RNA polymerase II transcription subunit 4 antibody; Mediator of RNA polymerase II transcription, subunit 4 homolog antibody; OTTHUMP00000018390 antibody; OTTHUMP00000018391 antibody; OTTHUMP00000018392 antibody; RP11-90M2.2 antibody; TRAP/SMCC/PC2 subunit p36 subunit antibody; TRAP36 antibody; VDRIP antibody; Vitamin D3 receptor-interacting protein complex 36 kDa component antibody
Species Reactivity
Human, Rat
Immunogen
A synthesized peptide from human MED4 protein
Immunogen Species
Homo sapiens (Human)
Conjugate
Non-conjugated
Clonality
Monoclonal
Isotype
Rabbit IgG
Clone No.
14C5
Purification Method
Affinity-chromatography
Concentration
It differs from different batches. Please contact us to confirm it.
Buffer
Rabbit IgG in 10mM phosphate buffered saline , pH 7.4, 150mM sodium chloride, 0.05% BSA, 0.02% sodium azide and 50% glycerol.
Form
Liquid
Tested Applications
ELISA, WB, IHC, FC
Recommended Dilution
Application Recommended Dilution
WB 1:500-1:5000
IHC 1:50-1:200
FC 1:50-1:200
Troubleshooting and FAQs
Storage
Upon receipt, store at -20°C or -80°C. Avoid repeated freeze.
Lead Time
Basically, we can dispatch the products out in 1-3 working days after receiving your orders. Delivery time maybe differs from different purchasing way or location, please kindly consult your local distributors for specific delivery time.
Usage
For Research Use Only. Not for use in diagnostic or therapeutic procedures.

Customer Reviews and Q&A

 Customer Reviews

There are currently no reviews for this product.

Submit a Review here

Target Background

Function
Component of the Mediator complex, a coactivator involved in the regulated transcription of nearly all RNA polymerase II-dependent genes. Mediator functions as a bridge to convey information from gene-specific regulatory proteins to the basal RNA polymerase II transcription machinery. Mediator is recruited to promoters by direct interactions with regulatory proteins and serves as a scaffold for the assembly of a functional preinitiation complex with RNA polymerase II and the general transcription factors.
Gene References into Functions
  1. retinoblastoma RB1 -/- cells cannot survive in the absence of MED4, both in vitro and in orthotopic xenograft models in vivo, therefore identifying MED4 as a survival gene in retinoblastoma. PMID: 24858910
  2. Our findings suggest that Vitamin D Receptor polymorphisms may be associated with nasal carriage of S. aureus in individuals with type 1 diabetes. PMID: 19411183
Subcellular Location
Nucleus.
Protein Families
Mediator complex subunit 4 family
Database Links

HGNC: 17903

OMIM: 605718

KEGG: hsa:29079

STRING: 9606.ENSP00000258648

UniGene: Hs.181112

icon of phone
Call us
301-363-4651 (Available 9 a.m. to 5 p.m. CST from Monday to Friday)
icon of address
Address
7505 Fannin St., Ste 610, Room 7 (CUBIO Innovation Center), Houston, TX 77054, USA
icon of social media
Join us with

Subscribe newsletter

Leave a message

* To protect against spam, please pass the CAPTCHA test below.
CAPTCHA verification
© 2007-2025 CUSABIO TECHNOLOGY LLC All rights reserved. 鄂ICP备15011166号-1
×
Place an order now

I. Product details

*
*
*
*

II. Contact details

*
*

III. Ship To

*
*
*
*
*
*
*

IV. Bill To

*
*
*
*
*
*
*
*