NCK2 Recombinant Monoclonal Antibody

Code CSB-RA957044A0HU
Size US$210
Order now
Image
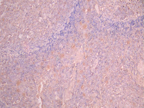
  • IHC image of CSB-RA957044A0HU diluted at 1:100 and staining in paraffin-embedded human tonsil tissue performed on a Leica BondTM system. After dewaxing and hydration, antigen retrieval was mediated by high pressure in a citrate buffer (pH 6.0). Section was blocked with 10% normal goat serum 30min at RT. Then primary antibody (1% BSA) was incubated at 4°C overnight. The primary is detected by a Goat anti-rabbit polymer IgG labeled by HRP and visualized using 0.05% DAB.
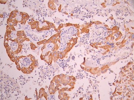
  • IHC image of CSB-RA957044A0HU diluted at 1:100 and staining in paraffin-embedded human cervical cancer performed on a Leica BondTM system. After dewaxing and hydration, antigen retrieval was mediated by high pressure in a citrate buffer (pH 6.0). Section was blocked with 10% normal goat serum 30min at RT. Then primary antibody (1% BSA) was incubated at 4°C overnight. The primary is detected by a Goat anti-rabbit polymer IgG labeled by HRP and visualized using 0.05% DAB.
  • Overlay Peak curve showing A431 cells stained with CSB-RA957044A0HU (red line) at 1:100. The cells were fixed in 4% formaldehyde and permeated by 0.2% TritonX-100 for 10min. Then 10% normal goat serum to block non-specific protein-protein interactions followed by the antibody (1ug/1*106cells) for 45min at 4℃. The secondary antibody used was FITC-conjugated goat anti-rabbit IgG (H+L) at 1/200 dilution for 35min at 4℃.Control antibody (green line) was Rabbit IgG (1ug/1*106cells) used under the same conditions. Acquisition of >10, 000 events was performed.
Have Questions? Leave a Message or Start an on-line Chat

Product Details

Uniprot No.
Target Names
Alternative Names
Cytoplasmic protein NCK2 antibody; GRB4 antibody; Growth factor receptor bound protein 4 antibody; NCK adaptor protein 2 antibody; Nck-2 antibody; NCK2 antibody; NCK2_HUMAN antibody; NCKbeta antibody; Non-catalytic region of tyrosine kinase adaptor protein 2 antibody; Noncatalytic region of tyrosine kinase beta antibody; SH2/SH3 adaptor protein NCK-beta antibody
Species Reactivity
Human
Immunogen
A synthesized peptide from human NCK2 protein
Immunogen Species
Homo sapiens (Human)
Conjugate
Non-conjugated
Clonality
Monoclonal
Isotype
Rabbit IgG
Clone No.
1F5
Purification Method
Affinity-chromatography
Concentration
It differs from different batches. Please contact us to confirm it.
Buffer
Rabbit IgG in 10mM phosphate buffered saline , pH 7.4, 150mM sodium chloride, 0.05% BSA, 0.02% sodium azide and 50% glycerol.
Form
Liquid
Tested Applications
ELISA, IHC, FC
Recommended Dilution
Application Recommended Dilution
IHC 1:50-1:200
FC 1:50-1:200
Troubleshooting and FAQs
Storage
Upon receipt, store at -20°C or -80°C. Avoid repeated freeze.
Lead Time
Basically, we can dispatch the products out in 1-3 working days after receiving your orders. Delivery time maybe differs from different purchasing way or location, please kindly consult your local distributors for specific delivery time.
Usage
For Research Use Only. Not for use in diagnostic or therapeutic procedures.

Customer Reviews and Q&A

 Customer Reviews

There are currently no reviews for this product.

Submit a Review here

Target Background

Function
Adapter protein which associates with tyrosine-phosphorylated growth factor receptors or their cellular substrates. Maintains low levels of EIF2S1 phosphorylation by promoting its dephosphorylation by PP1. Plays a role in ELK1-dependent transcriptional activation in response to activated Ras signaling.
Gene References into Functions
  1. This study provides evidence of a possible role of NCK2 as biomarker of ovarian cancer progression. PMID: 29218693
  2. There was no difference in the Nck2 mRNA expression between the SLE patients and the healthy subjects. PMID: 29911835
  3. Nck1 and Nck2 Interact with WTIP. Nck1/2 integrates nephrin with the Hippo kinase cascade through association with the adaptor protein WTIP. PMID: 27033705
  4. Data suggest that PINCH1 and Nck2 critically participate in the regulation of cellular radiosensitivity and EGFR function and downstream signaling in a cellular model of human squamous cell carcinoma. PMID: 26004008
  5. Tir-Intimin interaction recruits the Nck adaptor to a Tir tyrosine phosphorylated residue where it activates neural Wiskott-Aldrich syndrome protein (N-WASP). PMID: 25482634
  6. Proteasomal degradation of Nck1 but not Nck2 regulates RhoA activation and actin dynamics. PMID: 24287595
  7. NCK2 is involved in the susceptibility to opiates addiction. PMID: 23533358
  8. The hNck2 SH3 domain also exhibited pH dependent monomer-dimer transition. PMID: 23524290
  9. Data show that both HK2 and NCK2 are expressed in the retinal ganglion cell layer. PMID: 23349798
  10. Nck2 effectively influences human melanoma phenotype progression. PMID: 21992144
  11. p21-Activated kinase 3 (PAK3) protein regulates synaptic transmission through its interaction with the Nck2/Grb4 protein adaptor. PMID: 21949127
  12. Nck2 is an adaptor protein composed of 3N-SH3 domains followed by a unique Cterminal SH2 domain. It interacts with PINCH in integrin signal transduction, cell migratio and survival. Review. PMID: 21880263
  13. biophysical analysis of Nck2 SH3 domain PMID: 19956763
  14. Nck-2 interacts with focal adhesion kinase and modulates cell motility. Using a mutational strategy, the formation of the Nck-2-FAK complex is mediated by interactions involving multiple SH2 and SH3 domains of Nck-2. PMID: 11950595
  15. Recruitment of Nck by CD3 epsilon reveals a ligand-induced conformational change essential for T cell receptor signaling and synapse formation. PMID: 12110186
  16. analysis of binding between the Tyr-phosphorylated human ephrinB2 and Nck2 SH2 domain PMID: 15764601
  17. Molecular model of the first SRC homology 3 domain of Nck2. PMID: 16604428
  18. Nck1 (Nckalpha) and Nck2 (Nckbeta and Grb4): binding specificities of both SH2 domains are essentially indistinguishable PMID: 16636066
  19. determined the NMR structures and dynamic properties of the hNck2 SH3 domains and to define their ligand binding preferences with nine proline-rich peptides derived from Wire, CAP-1, CAP-2, Prk, Wrch1, Wrch2, and Nogo PMID: 16752908
  20. Data show that Nck (isoforms 1 and 2) as a component of the CReP/PP1c holophosphatase complex contributes to maintain eIF2alpha in a hypophosphorylated state, and modulates translation and eIF2alpha signaling in response to ER stress. PMID: 16835242
  21. Demonstrate connection between septins/SOCS7/NCK signaling and the DNA damage response. PMID: 17803907
  22. the adaptors Nck and ShcA influenced adherence of S. Typhimurium to non-phagocytic cells. PMID: 17906149
  23. Data show that Nck forms a complex with an atypical PxxDY motif of the CD3epsilon tail, which encompasses Tyr166 within the activation motif and a T-cell receptor endocytosis signal. PMID: 18555270
  24. Results point to NCK2 as a disease candidate gene and further supports the GLC1B locus as an important genomic region that is associated with the genetic predisposition to glaucoma. PMID: 18723748
  25. independent roles and mechanisms of action of Nckalpha and Nckbeta in dermal fibroblast migration, which is critical for wound healing. PMID: 19242519

Show More

Hide All

Subcellular Location
Cytoplasm. Endoplasmic reticulum.
Tissue Specificity
Ubiquitous.
Database Links

HGNC: 7665

OMIM: 604930

KEGG: hsa:8440

STRING: 9606.ENSP00000233154

UniGene: Hs.529244

icon of phone
Call us
301-363-4651 (Available 9 a.m. to 5 p.m. CST from Monday to Friday)
icon of address
Address
7505 Fannin St., Ste 610, Room 7 (CUBIO Innovation Center), Houston, TX 77054, USA
icon of social media
Join us with

Subscribe newsletter

Leave a message

* To protect against spam, please pass the CAPTCHA test below.
CAPTCHA verification
© 2007-2025 CUSABIO TECHNOLOGY LLC All rights reserved. 鄂ICP备15011166号-1
×
Place an order now

I. Product details

*
*
*
*

II. Contact details

*
*

III. Ship To

*
*
*
*
*
*
*

IV. Bill To

*
*
*
*
*
*
*
*