NUDT19 Recombinant Monoclonal Antibody

Code CSB-RA048395A0HU
Size US$210
Order now
Image
  • Western Blot
    Positive WB detected in: A431 whole cell lysate(30µg), MCF-7 whole cell lysate(30µg), A549 whole cell lysate(30µg), HEK293 whole cell lysate(30µg), K562 whole cell lysate(30µg), SH-SY5Y whole cell lysate(30µg), THP-1 whole cell lysate(30µg)
    All lanes: NUDT19 antibody at 1:1000
    Secondary
    Goat polyclonal to rabbit IgG at 1/40000 dilution
    Predicted band size: 42 kDa
    Observed band size: 42 kDa
    Exposure time:2min
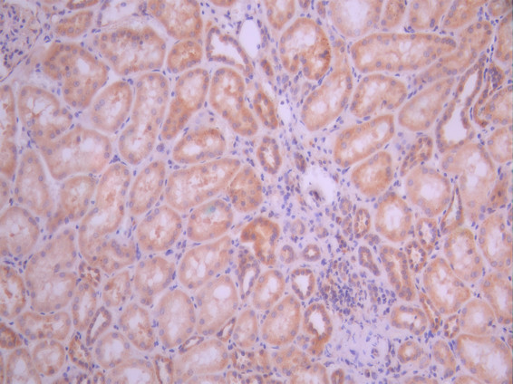
  • IHC image of CSB-RA048395A0HU diluted at 1:100 and staining in paraffin-embedded human kidney tissue performed on a Leica BondTM system. After dewaxing and hydration, antigen retrieval was mediated by high pressure in a citrate buffer (pH 6.0). Section was blocked with 10% normal goat serum 30min at RT. Then primary antibody (1% BSA) was incubated at 4°C overnight. The primary is detected by a Goat anti-rabbit polymer IgG labeled by HRP and visualized using 0.05% DAB.
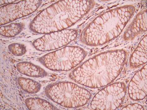
  • IHC image of CSB-RA048395A0HU diluted at 1:100 and staining in paraffin-embedded human colorectal cancer performed on a Leica BondTM system. After dewaxing and hydration, antigen retrieval was mediated by high pressure in a citrate buffer (pH 6.0). Section was blocked with 10% normal goat serum 30min at RT. Then primary antibody (1% BSA) was incubated at 4°C overnight. The primary is detected by a Goat anti-rabbit polymer IgG labeled by HRP and visualized using 0.05% DAB.
  • Overlay Peak curve showing Hela cells stained with CSB-RA048395A0HU (red line) at 1:100. The cells were fixed in 4% formaldehyde and permeated by 0.2% TritonX-100 for 10min. Then 10% normal goat serum to block non-specific protein-protein interactions followed by the antibody (1ug/1*106cells) for 45min at 4℃. The secondary antibody used was FITC-conjugated goat anti-rabbit IgG (H+L) at 1/200 dilution for 35min at 4℃.Control antibody (green line) was Rabbit IgG (1ug/1*106cells) used under the same conditions. Acquisition of >10, 000 events was performed.
Have Questions? Leave a Message or Start an on-line Chat

Product Details

Uniprot No.
Target Names
NUDT19
Alternative Names
mitochondrial antibody; Nucleoside diphosphate-linked moiety X motif 19 antibody; nucleoside diphosphate-linked moiety X motif 19, mitochondrial antibody; NUD19_HUMAN antibody; nudix (nucleoside diphosphate linked moiety X)-type motif 19 antibody; Nudix motif 19 antibody; NUDT19 antibody; RP2 antibody
Species Reactivity
Human
Immunogen
A synthesized peptide from human NUDT19 protein
Immunogen Species
Homo sapiens (Human)
Conjugate
Non-conjugated
Clonality
Monoclonal
Isotype
Rabbit IgG
Clone No.
5B2
Purification Method
Affinity-chromatography
Concentration
It differs from different batches. Please contact us to confirm it.
Buffer
Rabbit IgG in 10mM phosphate buffered saline , pH 7.4, 150mM sodium chloride, 0.05% BSA, 0.02% sodium azide and 50% glycerol.
Form
Liquid
Tested Applications
ELISA, WB, IHC, FC
Recommended Dilution
Application Recommended Dilution
WB 1:500-1:5000
IHC 1:50-1:200
FC 1:50-1:200
Troubleshooting and FAQs
Storage
Upon receipt, store at -20°C or -80°C. Avoid repeated freeze.
Lead Time
Basically, we can dispatch the products out in 1-3 working days after receiving your orders. Delivery time maybe differs from different purchasing way or location, please kindly consult your local distributors for specific delivery time.
Usage
For Research Use Only. Not for use in diagnostic or therapeutic procedures.

Customer Reviews and Q&A

 Customer Reviews

There are currently no reviews for this product.

Submit a Review here

Target Background

Function
Fatty acyl-coenzyme A (CoA) diphosphatase that hydrolyzes fatty acyl-CoA to yield acyl-4'-phosphopantetheine and adenosine 3',5'-bisphosphate. Mediates the hydrolysis of a wide range of CoA esters, including choloyl-CoA and branched-chain fatty-acyl-CoA esters and at low substrate concentrations medium and long-chain fatty-acyl-CoA esters are the primary substrates. Highest activity seen with medium-chain acyl-CoA esters and higher rates of activity seen with the unsaturated acyl-CoA esters compared with the saturated esters. Exhibits decapping activity towards dpCoA-capped RNAs in vitro.
Gene References into Functions
  1. Observational study of gene-disease association. (HuGE Navigator) PMID: 20877624
  2. Isolation and functional characterization of the NUDT19 ortholog in mouse. PMID: 16185196
Subcellular Location
Peroxisome.
Protein Families
Nudix hydrolase family
Database Links

HGNC: 32036

KEGG: hsa:390916

STRING: 9606.ENSP00000380251

UniGene: Hs.203961

icon of phone
Call us
301-363-4651 (Available 9 a.m. to 5 p.m. CST from Monday to Friday)
icon of address
Address
7505 Fannin St., Ste 610, Room 7 (CUBIO Innovation Center), Houston, TX 77054, USA
icon of social media
Join us with

Subscribe newsletter

Leave a message

* To protect against spam, please pass the CAPTCHA test below.
CAPTCHA verification
© 2007-2025 CUSABIO TECHNOLOGY LLC All rights reserved. 鄂ICP备15011166号-1
×
Place an order now

I. Product details

*
*
*
*

II. Contact details

*
*

III. Ship To

*
*
*
*
*
*
*

IV. Bill To

*
*
*
*
*
*
*
*