P4HTM Recombinant Monoclonal Antibody

Code CSB-RA268805A0HU
Size US$210
Order now
Image
  • Western Blot
    Positive WB detected in: U-251MG whole cell lysate(30µg), HT-29 whole cell lysate(30µg), A549 whole cell lysate(30µg), MCF-7 whole cell lysate(30µg), HepG2 whole cell lysate(30µg), THP-1 whole cell lysate(30µg)
    All lanes:HIF PH4 antibody at 1:1000
    Secondary
    Goat polyclonal to rabbit IgG at 1/40000 dilution
    Predicted band size: 57 kDa
    Observed band size: 55 kDa
    Exposure time:1min
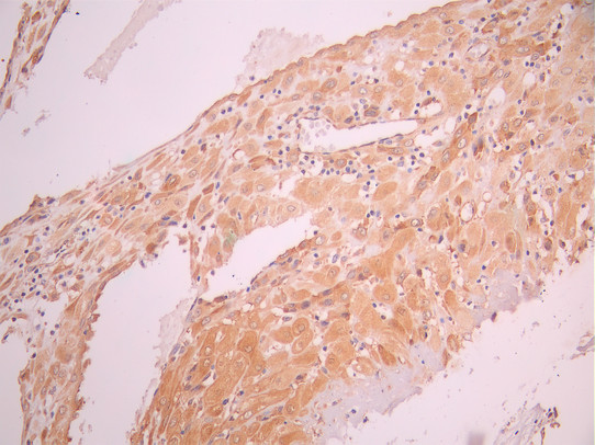
  • IHC image of CSB-RA268805A0HU diluted at 1:100 and staining in paraffin-embedded human placenta tissue performed on a Leica BondTM system. After dewaxing and hydration, antigen retrieval was mediated by high pressure in a citrate buffer (pH 6.0). Section was blocked with 10% normal goat serum 30min at RT. Then primary antibody (1% BSA) was incubated at 4°C overnight. The primary is detected by a Goat anti-rabbit polymer IgG labeled by HRP and visualized using 0.05% DAB.
  • Overlay Peak curve showing PC-3 cells stained with CSB-RA268805A0HU (red line) at 1:100. The cells were fixed in 4% formaldehyde and permeated by 0.2% TritonX-100 for 10min. Then 10% normal goat serum to block non-specific protein-protein interactions followed by the antibody (1ug/1*106cells) for 45min at 4℃. The secondary antibody used was FITC-conjugated goat anti-rabbit IgG (H+L) at 1/200 dilution for 35min at 4℃.Control antibody (green line) was Rabbit IgG (1ug/1*106cells) used under the same conditions. Acquisition of >10, 000 events was performed.
Have Questions? Leave a Message or Start an on-line Chat

Product Details

Uniprot No.
Target Names
P4HTM
Alternative Names
EGLN4 antibody; HIF PH4 antibody; HIF Prolyl Hydroxylase 4 antibody; HIF prolyl hydroxylase PH 4 antibody; HIF prolyl hydroxylase PH4 antibody; HIF-PH4 antibody; HIF-prolyl hydroxylase 4 antibody; HIFPH4 antibody; HPH 4 antibody; HPH-4 antibody; Hypoxia inducible factor prolyl 4 hydroxylase antibody; Hypoxia-inducible factor prolyl hydroxylase 4 antibody; P4H with transmembrane domain antibody; P4H-TM antibody; P4htm antibody; P4HTM_HUMAN antibody; PH 4 antibody; PH4 antibody; PHD 4 antibody; Proline 4 hydroxylase antibody; prolyl 4-hydroxylase antibody; Transmembrane prolyl 4-hydroxylase antibody
Species Reactivity
Human
Immunogen
A synthesized peptide from human P4HTM protein
Immunogen Species
Homo sapiens (Human)
Conjugate
Non-conjugated
Clonality
Monoclonal
Isotype
Rabbit IgG
Clone No.
1B12
Purification Method
Affinity-chromatography
Concentration
It differs from different batches. Please contact us to confirm it.
Buffer
Rabbit IgG in 10mM phosphate buffered saline , pH 7.4, 150mM sodium chloride, 0.05% BSA, 0.02% sodium azide and 50% glycerol.
Form
Liquid
Tested Applications
ELISA, WB, IHC, FC
Recommended Dilution
Application Recommended Dilution
WB 1:500-1:5000
IHC 1:50-1:200
FC 1:50-1:200
Troubleshooting and FAQs
Storage
Upon receipt, store at -20°C or -80°C. Avoid repeated freeze.
Lead Time
Basically, we can dispatch the products out in 1-3 working days after receiving your orders. Delivery time maybe differs from different purchasing way or location, please kindly consult your local distributors for specific delivery time.
Usage
For Research Use Only. Not for use in diagnostic or therapeutic procedures.

Customer Reviews and Q&A

 Customer Reviews

There are currently no reviews for this product.

Submit a Review here

Target Background

Function
Catalyzes the post-translational formation of 4-hydroxyproline in hypoxia-inducible factor (HIF) alpha proteins. Hydroxylates HIF1A at 'Pro-402' and 'Pro-564'. May function as a cellular oxygen sensor and, under normoxic conditions, may target HIF through the hydroxylation for proteasomal degradation via the von Hippel-Lindau ubiquitination complex.
Gene References into Functions
  1. The results suggest that SESN2 increases degradation of HIF-1A via AMPK-PHD regulation that contributes to inhibition of in vitro and in vivo tumorigenesis. PMID: 27840318
  2. This review will expand our knowledge of biology of HIFs, PHDs, PHD inhibitors, and bone regeneration, and it may also aid the design of novel therapies for accelerating bone repair and regeneration or inhibiting bone tumours. [review] PMID: 24895555
  3. Results suggest that increased expression of prolyl hydroxylase (PH) might play an role in the physiology of uterine leiomyoma during the menstrual cycle. PMID: 23241241
  4. Data suggest that PH-4 is a novel hypoxia-inducible factor-prolyl hydroxylase that may be involved in the degradation of hypoxia-inducible transcription factors under normoxia. PMID: 12163023
  5. the longest and shortest isoenzymes have major transcripts encoding inactive polypeptides, which suggest novel regulation by alternative splicing. PMID: 12788921
  6. crystal structure of the peptide-substrate-binding domain PMID: 15456751
  7. This review summarizes recent progress in elucidating the molecular mechanisms of hypoxia-inducible factor (HIF)-1 activation, focusing on the role of oxygen-dependent asparaginyl hydroxylase in hypoxia signal transduction. PMID: 16154531

Show More

Hide All

Subcellular Location
Endoplasmic reticulum membrane; Single-pass type II membrane protein.
Tissue Specificity
Widely expressed with highest levels in adult pancreas, heart, skeletal muscle, brain, placenta, kidney and adrenal gland. Expressed at lower levels in epiphyseal cartilage and in fibroblasts.
Database Links

HGNC: 28858

OMIM: 614584

KEGG: hsa:54681

STRING: 9606.ENSP00000341422

UniGene: Hs.654944

icon of phone
Call us
301-363-4651 (Available 9 a.m. to 5 p.m. CST from Monday to Friday)
icon of address
Address
7505 Fannin St., Ste 610, Room 7 (CUBIO Innovation Center), Houston, TX 77054, USA
icon of social media
Join us with

Subscribe newsletter

Leave a message

* To protect against spam, please pass the CAPTCHA test below.
CAPTCHA verification
© 2007-2025 CUSABIO TECHNOLOGY LLC All rights reserved. 鄂ICP备15011166号-1
×
Place an order now

I. Product details

*
*
*
*

II. Contact details

*
*

III. Ship To

*
*
*
*
*
*
*

IV. Bill To

*
*
*
*
*
*
*
*