PLSCR1 Recombinant Monoclonal Antibody

Code CSB-RA632615A0HU
Size US$210
Order now
Image
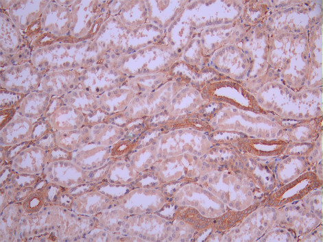
  • IHC image of CSB-RA632615A0HU diluted at 1:100 and staining in paraffin-embedded human kidney tissue performed on a Leica BondTM system. After dewaxing and hydration, antigen retrieval was mediated by high pressure in a citrate buffer (pH 6.0). Section was blocked with 10% normal goat serum 30min at RT. Then primary antibody (1% BSA) was incubated at 4°C overnight. The primary is detected by a Goat anti-rabbit polymer IgG labeled by HRP and visualized using 0.05% DAB.
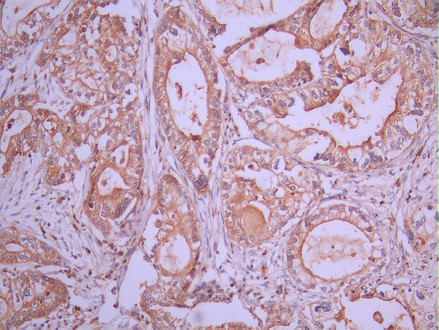
  • IHC image of CSB-RA632615A0HU diluted at 1:100 and staining in paraffin-embedded human pancreatic cancer performed on a Leica BondTM system. After dewaxing and hydration, antigen retrieval was mediated by high pressure in a citrate buffer (pH 6.0). Section was blocked with 10% normal goat serum 30min at RT. Then primary antibody (1% BSA) was incubated at 4°C overnight. The primary is detected by a Goat anti-rabbit polymer IgG labeled by HRP and visualized using 0.05% DAB.
  • Overlay Peak curve showing A431 cells stained with CSB-RA632615A0HU (red line) at 1:100. The cells were fixed in 4% formaldehyde and permeated by 0.2% TritonX-100 for 10min. Then 10% normal goat serum to block non-specific protein-protein interactions followed by the antibody (1ug/1*106cells) for 45min at 4℃. The secondary antibody used was FITC-conjugated goat anti-rabbit IgG (H+L) at 1/200 dilution for 35min at 4℃.Control antibody (green line) was Rabbit IgG (1ug/1*106cells) used under the same conditions. Acquisition of >10, 000 events was performed.
Have Questions? Leave a Message or Start an on-line Chat

Product Details

Uniprot No.
Target Names
PLSCR1
Alternative Names
Ca(2+) dependent phospholipid scramblase 1 antibody; Ca(2+)-dependent phospholipid scramblase 1 antibody; Erythrocyte phospholipid scramblase antibody; MM1 cell-derived transplantability-associated gene 1b; mouse; homolog of antibody; MmTRA1a antibody; MmTRA1b antibody; Nor1 antibody; Phospholipid scramblase 1 antibody; PL scramblase 1 antibody; PLS1_HUMAN antibody; PLSCR 1 antibody; Plscr1 antibody; Scramblase1 antibody; Tra1 antibody; Tra1a antibody; Tra1b antibody; Transplantability-associated protein 1 antibody; Tras1 antibody; Tras2 antibody
Species Reactivity
Human
Immunogen
A synthesized peptide from human PLSCR1 protein
Immunogen Species
Homo sapiens (Human)
Conjugate
Non-conjugated
Clonality
Monoclonal
Isotype
Rabbit IgG
Clone No.
2D7
Purification Method
Affinity-chromatography
Concentration
It differs from different batches. Please contact us to confirm it.
Buffer
Rabbit IgG in 10mM phosphate buffered saline , pH 7.4, 150mM sodium chloride, 0.05% BSA, 0.02% sodium azide and 50% glycerol.
Form
Liquid
Tested Applications
ELISA, IHC, FC
Recommended Dilution
Application Recommended Dilution
IHC 1:50-1:200
FC 1:50-1:200
Troubleshooting and FAQs
Storage
Upon receipt, store at -20°C or -80°C. Avoid repeated freeze.
Lead Time
Basically, we can dispatch the products out in 1-3 working days after receiving your orders. Delivery time maybe differs from different purchasing way or location, please kindly consult your local distributors for specific delivery time.
Usage
For Research Use Only. Not for use in diagnostic or therapeutic procedures.

Customer Reviews and Q&A

 Customer Reviews

There are currently no reviews for this product.

Submit a Review here

Target Background

Function
Catalyzes calcium-induced ATP-independent rapid bidirectional and non-specific movement of phospholipids (lipid scrambling or lipid flip-flop) between the inner and outer leaflet of the plasma membrane resulting in collapse of the phospholipid asymmetry which leads to phosphatidylserine externalization on the cell surface. Mediates calcium-dependent phosphatidylserine externalization and apoptosis in neurons via its association with TRPC5. Also exhibits magnesium-dependent nuclease activity against double-stranded DNA and RNA but not single-stranded DNA and can enhance DNA decatenation mediated by TOP2A. Negatively regulates FcR-mediated phagocytosis in differentiated macrophages. May contribute to cytokine-regulated cell proliferation and differentiation. May play a role in the antiviral response of interferon (IFN) by amplifying and enhancing the IFN response through increased expression of select subset of potent antiviral genes. Acts as an attachment receptor for HCV.
Gene References into Functions
  1. Inhibition of PLSCR1 decreased the antiviral activity of IFN against HBV. PMID: 30004207
  2. Data suggest that PLSCR1 is involved in viral entry; here, herpes simplex viruses activate PLSCR1 and up-regulate flipping of phosphatidylserines and AKT to outside of plasma membrane shortly following HSV-1 or HSV-2 exposure. (PLSCR1 = phospholipid scramblase 1; AKT = proto-oncogene c-Akt) PMID: 29293671
  3. wogonoside promotes the expression of PLSCR1 and enhances its nuclear translocation and binding to the 1, 4, 5-trisphosphate receptor 1 (IP3R1) promoter in AML patient-derived primary cells. Wogonoside activates IP3R1, in turn, promotes release of Ca(2+) from endoplasmic reticulum, and eventually leads to cell differentiation. PMID: 28492556
  4. Data indicate heterogeneous expression of phospholipid scramblase 1 (PLSCR1) and suggest its possible implication in the response to anticancer therapies, especially to drugs promoting protective autophagy. PMID: 27248824
  5. investigate how the polar aspartate residue is accommodated in lipid bilayers containing POPC with and without cholesterol, using all-atom molecular dynamics simulations PMID: 28372945
  6. Human phospholipid scramblase 1 has five histidine residues and point mutations of histidine residues to alanine in hPLSCR1 resulted in 60 % loss in nuclease activity. PMID: 27206388
  7. The mechanisms of pH-induced functional activation of hPLSCR1 are described. PMID: 26204401
  8. PLSCR1 positively regulates hepatic carcinoma cell proliferation and migration through interacting with midkine PMID: 26642712
  9. Suggest role for PLSCR1 in negatively regulating trophoblast fusion rather than directly promoting fusion. PMID: 25362260
  10. PLSCR1 mediates the antiviral activity and anticarcinogenesis against hepatitis B virus by regulating HBx stability. PMID: 25365352
  11. affinity of SCR for cholesterol-rich domains in membranes PMID: 25229146
  12. This is the first biochemical evidence to prove the above hypothesis that hPLSCR1 is activated in heavy metal poisoning, which leads to bidirectional transbilayer movement of phospholipids. PMID: 23659204
  13. The C-terminal transmembrane domain of human phospholipid scramblase 1 is essential for the protein flip-flop activity and Ca(2)-binding. PMID: 24343571
  14. This is the first report showing the transcriptional regulation of hPLSCR1 expression by Snail TF and its possible implications in cancer progression. PMID: 24878522
  15. PLSCR1 interacted with ANG in the cell nucleus and regulated rRNA transcription. PMID: 24356419
  16. hPLSCR1 and PRD-hPLSCR2 showed Ca(2+)-dependent aggregation and scrambling activity PMID: 24648509
  17. The data are in agreement with the possibility that PLSCR1 is an integral membrane protein. PMID: 24099740
  18. Phospholipid Scramblase 1, an interferon-regulated gene located at 3q23, is regulated by SnoN/SkiL in ovarian cancer cells. PMID: 23621864
  19. The C-terminal helix of human PLSCR1 is required for membrane insertion and calcium binding. PMID: 23590222
  20. Phospholipid scramblase 1 expression is enhanced in patients with antiphospholipid syndrome. PMID: 22526829
  21. Overexpression of PLSCR1 efficiently represses the Tat-dependent transactivation of the HIV-1 long terminal repeat (LTR) and reduces the nuclear translocation of Tat. PMID: 23501106
  22. Calcium-dependent PLSCR-1 activity is required for compensatory endocytosis (but not for exocytosis) in neuroendocrine cells. PMID: 23426682
  23. PLSCR1 is overexpressed in colorectal cancer and metastatic liver cancer. Silencing of PLSCR1 by siRNA inhibits the proliferation, adhesion, migration and invasion of tumor cells. PMID: 22893466
  24. PLSCR1 may play an important role in the IFN-mediated repression of Tax-dependent transactivation during HTLV-1 infection. PMID: 22789739
  25. this report identifies PLSCR1 as a protein that physically interacts with Receptor expressed in lymphoid tissues family members and is a potential substrate for phosphorylation by the OSR1 kinase in a RELT-dependent fashion. PMID: 22052202
  26. PLSCR1 inhibited HBV replication through a reduction in the synthesis of viral proteins and DNA replication. PMID: 22342889
  27. IFNalpha-induced PLSCR1 associates with the cytoskeleton after exposure to alpha-toxin, and cellular depletion of PLSCR1 negates IFN-induced protection from alpha-toxin. PMID: 22264514
  28. summarizes the mechanisms and roles of PS exposure following platelet activation and discusses the recent identification of TMEM16F and its significance in the scrambling process PMID: 21958383
  29. PLSCR1 might be used as a noninvasive serological diagnostic and prognostic biomarker for CRC. PMID: 20927484
  30. PLSCR1 was required for the initial attachment of HCV onto hepatoma cells, where it specifically interacted with entry factor OCLN. We show that PLSCR1 is a novel attachment factor for HCV entry. PMID: 21806988
  31. Interferon tau induces expression of DDX58 and PLSCR1 via the classical STAT1-mediated cell signaling pathway. PMID: 20926691
  32. PLSCR1 interacts with the tandem repeat region of ECM1a in the dermal epidermal junction zone of human skin. PMID: 20870722
  33. Monocytes in systemic lupus erythematosus patients had enhanced PLSCR1 mRNA expression, as well as increased fibrin turnover and cell-surface PS exposure. PMID: 20516018
  34. Suppression of ovarian carcinoma cell growth in vivo by the interferon-inducible plasma membrane protein, phospholipid scramblase 1. PMID: 11809687
  35. PLSCR1 co-localizes with the epidermal growth factor (EGF) receptor in lipid rafts and plays a role in the EGF-induced metabolic or mitogenic response. PMID: 12009895
  36. expression has a role in the induction of differentiation of human myeloid leukemia cells into granulocytes. PMID: 12031648
  37. Trafficking of PLSCR1 to the plasma membrane is dependent upon palmitoylation of the polypeptide; in the absence of palmitoylation, PLSCR1 traffics into the nucleus. PMID: 12564925
  38. Identification of domains for PLSCR1 and BACE binding and their colocalization in the Golgi area and endosomal compartments suggest involvement of PLSCR1 in the intracellular distribution and/or recruitment of BACE into the lipid raft. PMID: 12586838
  39. phospholipid scramblase 1 plays a role in ischemic injury in the human hippocampus PMID: 12605885
  40. PLSCR1, through its interaction with Shc, promotes Src kinase activation through the EGF receptor. PMID: 12871937
  41. Higher MmTRA1b mRNA levels were associated with significantly longer overall survival in AML, especially in AML-M4 patients, independent of chromosomal aberrations PMID: 14654079
  42. both PLSCR1 and phospholipid flip-flop characterize uropod raft domains of polarized neutrophils PMID: 14766753
  43. Data support a mechanism of receptor-mediated nuclear import of PLSCR1 and suggest a potential nuclear function for this plasma membrane protein, mediated through potential interaction with genomic DNA. PMID: 15035622
  44. as a protein induced upon PKCdelta activation, PLSCR1 is required for ATRA- and PMA-triggered leukemic cell differentiation PMID: 15308560
  45. PLSCR1, which is itself an IFN-stimulated gene-encoded protein, provides a mechanism for amplifying and enhancing the IFN response through increased expression of a select subset of potent antiviral genes PMID: 15308695
  46. x-ray crystallography shows that there is a nonclassical nuclear localization signal in PLSCR1 with a unique binding site in importin alpha PMID: 15611084
  47. PLSCR1 binds to the promoter region of the IP3R1 gene to enhance its expression PMID: 16091359
  48. protein kinase Cdelta and JNK have roles in Ifn-alpha induced expression of phospholipid scramblase 1 through STAT1 PMID: 16260419
  49. PR3 externalization depended on PLSCR1 PMID: 17712045
  50. the same region of the cytoplasmic domain of PLSCR1 is involved in the binding to CD4 and SLPI PMID: 19333378

Show More

Hide All

Subcellular Location
Cell membrane; Single-pass type II membrane protein. Cell membrane; Lipid-anchor; Cytoplasmic side. Nucleus. Cytoplasm. Cytoplasm, perinuclear region.
Protein Families
Phospholipid scramblase family
Tissue Specificity
Expressed in platelets, erythrocyte membranes, lymphocytes, spleen, thymus, prostate, testis, uterus, intestine, colon, heart, placenta, lung, liver, kidney and pancreas. Not detected in brain and skeletal muscle.
Database Links

HGNC: 9092

OMIM: 604170

KEGG: hsa:5359

STRING: 9606.ENSP00000345494

UniGene: Hs.130759

icon of phone
Call us
301-363-4651 (Available 9 a.m. to 5 p.m. CST from Monday to Friday)
icon of address
Address
7505 Fannin St., Ste 610, Room 7 (CUBIO Innovation Center), Houston, TX 77054, USA
icon of social media
Join us with

Subscribe newsletter

Leave a message

* To protect against spam, please pass the CAPTCHA test below.
CAPTCHA verification
© 2007-2025 CUSABIO TECHNOLOGY LLC All rights reserved. 鄂ICP备15011166号-1
×
Place an order now

I. Product details

*
*
*
*

II. Contact details

*
*

III. Ship To

*
*
*
*
*
*
*

IV. Bill To

*
*
*
*
*
*
*
*