PPCS Recombinant Monoclonal Antibody

Code CSB-RA790244A0HU
Size US$210
Order now
Image
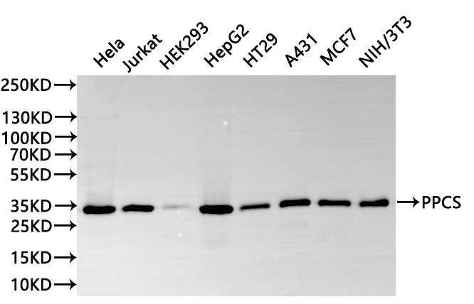
  • Western Blot
    Positive WB detected in: Hela whole cell lysate(30µg), Jurkat whole cell lysate(30µg), HEK293 whole cell lysate(30µg), HepG2 whole cell lysate(30µg), HT-29 whole cell lysate(30µg), A431 whole cell lysate(30µg), MCF-7 whole cell lysate(30µg), NIH/3T3 whole cell lysate(30µg)
    All lanes: PPCS antibody at 1:1000
    Secondary
    Goat polyclonal to rabbit IgG at 1/40000 dilution
    Predicted band size: 34 kDa
    Observed band size: 34 kDa
    Exposure time:10s
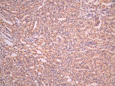
  • IHC image of CSB-RA790244A0HU diluted at 1:100 and staining in paraffin-embedded mouse kidney tissue performed on a Leica BondTM system. After dewaxing and hydration, antigen retrieval was mediated by high pressure in a citrate buffer (pH 6.0). Section was blocked with 10% normal goat serum 30min at RT. Then primary antibody (1% BSA) was incubated at 4°C overnight. The primary is detected by a Goat anti-rabbit polymer IgG labeled by HRP and visualized using 0.05% DAB.
Have Questions? Leave a Message or Start an on-line Chat

Product Details

Uniprot No.
Target Names
PPCS
Alternative Names
COAB antibody; FLJ11838 antibody; MGC117357 antibody; MGC138220 antibody; OTTHUMP00000008433 antibody; Phosphopantothenate--cysteine ligase antibody; Phosphopantothenoylcysteine synthetase antibody; PPC synthetase antibody; Ppcs antibody; PPCS_HUMAN antibody; RP11-163G10.1 antibody
Species Reactivity
Human, Mouse
Immunogen
A synthesized peptide from human PPCS protein
Immunogen Species
Homo sapiens (Human)
Conjugate
Non-conjugated
Clonality
Monoclonal
Isotype
Rabbit IgG
Clone No.
6D12
Purification Method
Affinity-chromatography
Concentration
It differs from different batches. Please contact us to confirm it.
Buffer
Rabbit IgG in 10mM phosphate buffered saline , pH 7.4, 150mM sodium chloride, 0.05% BSA, 0.02% sodium azide and 50% glycerol.
Form
Liquid
Tested Applications
ELISA, WB, IHC
Recommended Dilution
Application Recommended Dilution
WB 1:500-1:5000
IHC 1:50-1:200
Troubleshooting and FAQs
Storage
Upon receipt, store at -20°C or -80°C. Avoid repeated freeze.
Lead Time
Basically, we can dispatch the products out in 1-3 working days after receiving your orders. Delivery time maybe differs from different purchasing way or location, please kindly consult your local distributors for specific delivery time.
Usage
For Research Use Only. Not for use in diagnostic or therapeutic procedures.

Customer Reviews and Q&A

 Customer Reviews

There are currently no reviews for this product.

Submit a Review here

Target Background

Function
Catalyzes the second step in the biosynthesis of coenzyme A from vitamin B5, where cysteine is conjugated to 4'-phosphopantothenate to form 4-phosphopantothenoylcysteine. Has a preference for ATP over CTP as a cosubstrate.
Gene References into Functions
  1. Exome sequencing in five individuals from two unrelated families presenting with dilated cardiomyopathy revealed biallelic mutations in PPCS. PMID: 29754768
  2. Oxygen transfer studies found that 18O from [carboxyl-18O] phosphopantothenate is incorporated into AMP or CMP produced during PPCS catalysis, consistent with the formation of a phosphopantothenoyl cytidylate or phosphopantothenoyl adenylate intermediate PMID: 19683078
Protein Families
PPC synthetase family
Database Links

HGNC: 25686

OMIM: 609853

KEGG: hsa:79717

STRING: 9606.ENSP00000361642

UniGene: Hs.706662

icon of phone
Call us
301-363-4651 (Available 9 a.m. to 5 p.m. CST from Monday to Friday)
icon of address
Address
7505 Fannin St., Ste 610, Room 7 (CUBIO Innovation Center), Houston, TX 77054, USA
icon of social media
Join us with

Subscribe newsletter

Leave a message

* To protect against spam, please pass the CAPTCHA test below.
CAPTCHA verification
© 2007-2025 CUSABIO TECHNOLOGY LLC All rights reserved. 鄂ICP备15011166号-1
×
Place an order now

I. Product details

*
*
*
*

II. Contact details

*
*

III. Ship To

*
*
*
*
*
*
*

IV. Bill To

*
*
*
*
*
*
*
*