RCOR1 Recombinant Monoclonal Antibody

Code CSB-RA103529A0HU
Size US$210
Order now
Image
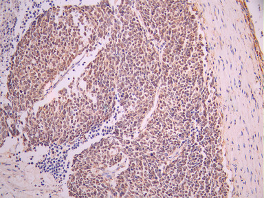
  • IHC image of CSB-RA103529A0HU diluted at 1:100 and staining in paraffin-embedded human lung cancer performed on a Leica BondTM system. After dewaxing and hydration, antigen retrieval was mediated by high pressure in a citrate buffer (pH 6.0). Section was blocked with 10% normal goat serum 30min at RT. Then primary antibody (1% BSA) was incubated at 4°C overnight. The primary is detected by a Goat anti-rabbit polymer IgG labeled by HRP and visualized using 0.05% DAB.
  • Overlay Peak curve showing Hela cells stained with CSB-RA103529A0HU (red line) at 1:100. The cells were fixed in 4% formaldehyde and permeated by 0.2% TritonX-100 for 10min. Then 10% normal goat serum to block non-specific protein-protein interactions followed by the antibody (1ug/1*106cells) for 45min at 4℃. The secondary antibody used was FITC-conjugated goat anti-rabbit IgG (H+L) at 1/200 dilution for 35min at 4℃.Control antibody (green line) was Rabbit IgG (1ug/1*106cells) used under the same conditions. Acquisition of >10, 000 events was performed.
Have Questions? Leave a Message or Start an on-line Chat

Product Details

Uniprot No.
Target Names
RCOR1
Alternative Names
COREST antibody; KIAA0071 antibody; Nr2b2 antibody; Nuclear receptor coregulator 1 antibody; Nuclear receptor subfamily 2 group B member 2 antibody; Protein CoREST antibody; RCOR antibody; Rcor1 antibody; RCOR1_HUMAN antibody; REST corepressor 1 antibody; Retinoic acid receptor RXR-beta antibody; Retinoid X receptor beta antibody; Rxrb antibody
Species Reactivity
Human
Immunogen
A synthesized peptide from human RCOR1 protein
Immunogen Species
Homo sapiens (Human)
Conjugate
Non-conjugated
Clonality
Monoclonal
Isotype
Rabbit IgG
Clone No.
2C10
Purification Method
Affinity-chromatography
Concentration
It differs from different batches. Please contact us to confirm it.
Buffer
Rabbit IgG in 10mM phosphate buffered saline , pH 7.4, 150mM sodium chloride, 0.05% BSA, 0.02% sodium azide and 50% glycerol.
Form
Liquid
Tested Applications
ELISA, IHC, FC
Recommended Dilution
Application Recommended Dilution
IHC 1:50-1:200
FC 1:50-1:200
Troubleshooting and FAQs
Storage
Upon receipt, store at -20°C or -80°C. Avoid repeated freeze.
Lead Time
Basically, we can dispatch the products out in 1-3 working days after receiving your orders. Delivery time maybe differs from different purchasing way or location, please kindly consult your local distributors for specific delivery time.
Usage
For Research Use Only. Not for use in diagnostic or therapeutic procedures.

Customer Reviews and Q&A

 Customer Reviews

There are currently no reviews for this product.

Submit a Review here

Target Background

Function
Essential component of the BHC complex, a corepressor complex that represses transcription of neuron-specific genes in non-neuronal cells. The BHC complex is recruited at RE1/NRSE sites by REST and acts by deacetylating and demethylating specific sites on histones, thereby acting as a chromatin modifier. In the BHC complex, it serves as a molecular beacon for the recruitment of molecular machinery, including MeCP2 and SUV39H1, that imposes silencing across a chromosomal interval. Plays a central role in demethylation of Lys-4 of histone H3 by promoting demethylase activity of KDM1A on core histones and nucleosomal substrates. It also protects KDM1A from the proteasome. Component of a RCOR/GFI/KDM1A/HDAC complex that suppresses, via histone deacetylase (HDAC) recruitment, a number of genes implicated in multilineage blood cell development and controls hematopoietic differentiation.
Gene References into Functions
  1. the intact CoREST complex is targeted with dual histone deacetylase and demethylase inhibitors PMID: 29302039
  2. Expressions of REST and RCOR1 genes may downregulate SYN1 expression in gliomas. PMID: 27685921
  3. Rcor1 knock-out monocytes exhibited extensive self-renewal associated with hematopoietic stem cell expansion. PMID: 26119982
  4. Genomic deletions in RCOR1 are associated with a specific gene expression signature and with unfavorable clinical outcomes in diffuse large B-cell lymphoma patients. PMID: 25395426
  5. a combination of virtual screening and biological approaches can lead to compounds reducing REST complex formation PMID: 23800350
  6. Data show that miR-22 specifically interacts with the 3' UTRs of the Rcor1, Rgs2 and HDAC4 mRNAs. PMID: 23349832
  7. The CoREST and REST are necessary and inimical for expression of herpes simplex virus genes. PMID: 21221247
  8. Insight into the molecular basis of the interaction between scaffolding protein CoREST and histone deacetylase LSD1 may suggest a new means of inhibiting LSD1 activity by misdirecting the enzyme away from nucleosomal substrates. PMID: 21142040
  9. silencing of CoREST by siRNA transfection in normal articular cartilage may reflect CoREST repression in advanced osteoarthritic cartilage, which results in phenotypic genes modulation and suggests a homeostatic role of this transcription factor PMID: 20973059
  10. CoREST does not play an influential role in regulating HSV-1 infection. PMID: 20106915
  11. elevated levels of REST and CoREST in the brain of RTT patients and MeCP2 deficient mice result in downregulation of BDNF, apparently by their binding to the RE1 (element) located between the first two promoters of the BDNF gene PMID: 18075316
  12. CoREST is bound to the hsp70 gene promoter under basal conditions and that its binding increases during heat shock response. PMID: 18657505
  13. These results demonstrate that SUMO-1 modification modulates the transcriptional repression by CoREST and is needed for its full repressive activity. PMID: 18854179
  14. The results indicate that both sets of events mediated by ICP0, the degradation of PML and the blocking of silencing via the HDAC1/2-CoREST-REST complex, are interdependent and in large measure dependent on events in the ND10 nuclear bodies. PMID: 18945770
  15. Direct interactions between CoREST1 and SUMO-2 mediate SUMO-dependent changes in chromatin structure and transcription that are important for cell-type-specific gene expression. PMID: 19394292
  16. Analysis of chromatin modification patterns shows that CoREST are recruited to the c-myc promoter leading to appearance of repressive chromatin marks. PMID: 19522008

Show More

Hide All

Subcellular Location
Nucleus. Note=Upon infection by HSV-1, it is partially translocated into the cytoplasm in an HSV-1-dependent manner.
Protein Families
CoREST family
Tissue Specificity
Ubiquitously expressed.
Database Links

HGNC: 17441

OMIM: 607675

KEGG: hsa:23186

STRING: 9606.ENSP00000459789

UniGene: Hs.510521

icon of phone
Call us
301-363-4651 (Available 9 a.m. to 5 p.m. CST from Monday to Friday)
icon of address
Address
7505 Fannin St., Ste 610, Room 7 (CUBIO Innovation Center), Houston, TX 77054, USA
icon of social media
Join us with

Subscribe newsletter

Leave a message

* To protect against spam, please pass the CAPTCHA test below.
CAPTCHA verification
© 2007-2025 CUSABIO TECHNOLOGY LLC All rights reserved. 鄂ICP备15011166号-1
×
Place an order now

I. Product details

*
*
*
*

II. Contact details

*
*

III. Ship To

*
*
*
*
*
*
*

IV. Bill To

*
*
*
*
*
*
*
*