RPS20 Recombinant Monoclonal Antibody

Code CSB-RA215735A0HU
Size US$210
Order now
Image
  • Western Blot
    , Positive WB detected in:Hela whole cell lysate(30µg), HepG2 whole cell lysate(30µg), COLO205 whole cell lysate(30µg), THP-1 whole cell lysate(30µg), K562 whole cell lysate(30µg), Jurkat whole cell lysate(30µg), MCF7 whole cell lysate(30µg), Mouse brainr tissue lysate(30µg), Rat brain lysate(30µg)
    All lanes: RPS20 antibody at 1:1000
    Secondary
    Goat polyclonal to rabbit IgG at 1/40000 dilution
    Predicted band size: 13 kDa
    Observed band size: 13 kDa
    Exposure time:60s
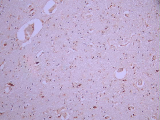
  • IHC image of CSB-RA215735A0HU diluted at 1:100 and staining in paraffin-embedded human brain tissue performed on a Leica BondTM system. After dewaxing and hydration, antigen retrieval was mediated by high pressure in a citrate buffer (pH 6.0). Section was blocked with 10% normal goat serum 30min at RT. Then primary antibody (1% BSA) was incubated at 4°C overnight. The primary is detected by a Goat anti-rabbit polymer IgG labeled by HRP and visualized using 0.05% DAB.
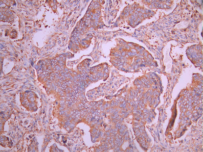
  • IHC image of CSB-RA215735A0HU diluted at 1:100 and staining in paraffin-embedded human colorectal cancer performed on a Leica BondTM system. After dewaxing and hydration, antigen retrieval was mediated by high pressure in a citrate buffer (pH 6.0). Section was blocked with 10% normal goat serum 30min at RT. Then primary antibody (1% BSA) was incubated at 4°C overnight. The primary is detected by a Goat anti-rabbit polymer IgG labeled by HRP and visualized using 0.05% DAB.
  • Overlay Peak curve showing jurkat cells stained with CSB-RA215735A0HU (red line) at 1:100. The cells were fixed in 4% formaldehyde and permeated by 0.2% TritonX-100 for 10min. Then 10% normal goat serum to block non-specific protein-protein interactions followed by the antibody (1ug/1*106cells) for 45min at 4℃. The secondary antibody used was FITC-conjugated goat anti-rabbit IgG (H+L) at 1/200 dilution for 35min at 4℃.Control antibody (green line) was Rabbit IgG (1ug/1*106cells) used under the same conditions. Acquisition of >10, 000 events was performed.
Have Questions? Leave a Message or Start an on-line Chat

Product Details

Uniprot No.
Target Names
RPS20
Alternative Names
40S ribosomal protein S20 antibody; Ribosomal protein S20 antibody; RPS 20 antibody; RpS20 antibody; RS20_HUMAN antibody; S20 antibody
Species Reactivity
Human, Mouse, Rat
Immunogen
A synthesized peptide from human RPS20 protein
Immunogen Species
Homo sapiens (Human)
Conjugate
Non-conjugated
Clonality
Monoclonal
Isotype
Rabbit IgG
Clone No.
24B4
Purification Method
Affinity-chromatography
Concentration
It differs from different batches. Please contact us to confirm it.
Buffer
Rabbit IgG in 10mM phosphate buffered saline , pH 7.4, 150mM sodium chloride, 0.05% BSA, 0.02% sodium azide and 50% glycerol.
Form
Liquid
Tested Applications
ELISA, WB, IHC, FC
Recommended Dilution
Application Recommended Dilution
WB 1:500-1:5000
IHC 1:50-1:200
FC 1:50-1:200
Troubleshooting and FAQs
Storage
Upon receipt, store at -20°C or -80°C. Avoid repeated freeze.
Lead Time
Basically, we can dispatch the products out in 1-3 working days after receiving your orders. Delivery time maybe differs from different purchasing way or location, please kindly consult your local distributors for specific delivery time.
Usage
For Research Use Only. Not for use in diagnostic or therapeutic procedures.

Customer Reviews and Q&A

 Customer Reviews

There are currently no reviews for this product.

Submit a Review here

Target Background

Gene References into Functions
  1. We therefore found published evidence to support the association between variants in NTHL1 and RPS20 with CRC. PMID: 27713038
  2. Mutations in RPS20 can predispose individuals to microsatellite-stable hereditary nonpolyposis colorectal carcinoma. PMID: 24941021
  3. Gain of 8q-mapped RPS20 is associated with adverse outcome in Medulloblastoma. PMID: 16968546
Subcellular Location
Cytoplasm.
Protein Families
Universal ribosomal protein uS10 family
Database Links

HGNC: 10405

OMIM: 603682

KEGG: hsa:6224

STRING: 9606.ENSP00000429374

UniGene: Hs.8102

icon of phone
Call us
301-363-4651 (Available 9 a.m. to 5 p.m. CST from Monday to Friday)
icon of address
Address
7505 Fannin St., Ste 610, Room 7 (CUBIO Innovation Center), Houston, TX 77054, USA
icon of social media
Join us with

Subscribe newsletter

Leave a message

* To protect against spam, please pass the CAPTCHA test below.
CAPTCHA verification
© 2007-2025 CUSABIO TECHNOLOGY LLC All rights reserved. 鄂ICP备15011166号-1
×
Place an order now

I. Product details

*
*
*
*

II. Contact details

*
*

III. Ship To

*
*
*
*
*
*
*

IV. Bill To

*
*
*
*
*
*
*
*