RPS8 Recombinant Monoclonal Antibody

Code CSB-RA832178A0HU
Size US$210
Order now
Image
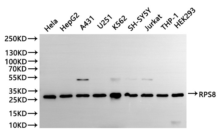
  • Western Blot
    Positive WB detected in: Hela whole cell lysate(30µg), HepG2 whole cell lysate(30µg), A431 whole cell lysate(30µg), U-251MG whole cell lysate(30µg), K562 whole cell lysate(30µg), SH-SY5Y whole cell lysate(30µg), Jurkat whole cell lysate(30µg), THP-1 whole cell lysate(30µg), HEK293 whole cell lysate(30µg)
    All lanes: RPS8 antibody at 1:1000
    Secondary
    Goat polyclonal to rabbit IgG at 1/40000 dilution
    Predicted band size: 24 kDa
    Observed band size: 30 kDa
    Exposure time:30s
  • IHC image of CSB-RA832178A0HU diluted at 1:100 and staining in paraffin-embedded human placenta tissue performed on a Leica BondTM system. After dewaxing and hydration, antigen retrieval was mediated by high pressure in a citrate buffer (pH 6.0). Section was blocked with 10% normal goat serum 30min at RT. Then primary antibody (1% BSA) was incubated at 4°C overnight. The primary is detected by a Goat anti-rabbit polymer IgG labeled by HRP and visualized using 0.05% DAB.
  • Immunofluorescence staining of HeLa cell with CSB-RA832178A0HU at 1:50 , counter-stained with DAPI. The cells were fixed in 4% formaldehyde, permeabilized using 0.2% Triton X-100 and blocked in 10% normal Goat Serum. The cells were then incubated with the antibody overnight at 4°C. The secondary antibody was Alexa Fluor 488-congugated AffiniPure Goat Anti-Rabbit IgG(H+L).
  • Overlay Peak curve showing jurkat cells stained with CSB-RA832178A0HU (red line) at 1:100. The cells were fixed in 4% formaldehyde and permeated by 0.2% TritonX-100 for 10min. Then 10% normal goat serum to block non-specific protein-protein interactions followed by the antibody (1ug/1*106cells) for 45min at 4℃. The secondary antibody used was FITC-conjugated goat anti-rabbit IgG (H+L) at 1/200 dilution for 35min at 4℃.Control antibody (green line) was Rabbit IgG (1ug/1*106cells) used under the same conditions. Acquisition of >10, 000 events was performed.
Have Questions? Leave a Message or Start an on-line Chat

Product Details

Uniprot No.
Target Names
RPS8
Alternative Names
40S ribosomal protein S8 antibody; OK/SW-cl.83 antibody; OTTHUMP00000010160 antibody; OTTHUMP00000010161 antibody; Ribosomal protein S8 antibody; RPS8 antibody; RS8_HUMAN antibody; S8 antibody
Species Reactivity
Human
Immunogen
A synthesized peptide from human RPS8 protein
Immunogen Species
Homo sapiens (Human)
Conjugate
Non-conjugated
Clonality
Monoclonal
Isotype
Rabbit IgG
Clone No.
19F3
Purification Method
Affinity-chromatography
Concentration
It differs from different batches. Please contact us to confirm it.
Buffer
Rabbit IgG in 10mM phosphate buffered saline , pH 7.4, 150mM sodium chloride, 0.05% BSA, 0.02% sodium azide and 50% glycerol.
Form
Liquid
Tested Applications
ELISA, WB, IHC, IF, FC
Recommended Dilution
Application Recommended Dilution
WB 1:500-1:5000
IHC 1:50-1:200
IF 1:50-1:200
FC 1:50-1:200
Troubleshooting and FAQs
Storage
Upon receipt, store at -20°C or -80°C. Avoid repeated freeze.
Lead Time
Basically, we can dispatch the products out in 1-3 working days after receiving your orders. Delivery time maybe differs from different purchasing way or location, please kindly consult your local distributors for specific delivery time.
Usage
For Research Use Only. Not for use in diagnostic or therapeutic procedures.

Customer Reviews and Q&A

 Customer Reviews

There are currently no reviews for this product.

Submit a Review here

Target Background

Gene References into Functions
  1. RPS8, a member of the small subunit ribosome, was identified as an interacting partner of CDK11p46. PMID: 21371428
Subcellular Location
Cytoplasm. Membrane; Lipid-anchor. Note=Localized in cytoplasmic mRNP granules containing untranslated mRNAs.
Protein Families
Eukaryotic ribosomal protein eS8 family
Database Links

HGNC: 10441

OMIM: 600357

KEGG: hsa:6202

STRING: 9606.ENSP00000379888

UniGene: Hs.512675

icon of phone
Call us
301-363-4651 (Available 9 a.m. to 5 p.m. CST from Monday to Friday)
icon of address
Address
7505 Fannin St., Ste 610, Room 7 (CUBIO Innovation Center), Houston, TX 77054, USA
icon of social media
Join us with

Subscribe newsletter

Leave a message

* To protect against spam, please pass the CAPTCHA test below.
CAPTCHA verification
© 2007-2025 CUSABIO TECHNOLOGY LLC All rights reserved. 鄂ICP备15011166号-1
×
Place an order now

I. Product details

*
*
*
*

II. Contact details

*
*

III. Ship To

*
*
*
*
*
*
*

IV. Bill To

*
*
*
*
*
*
*
*