RTN4RL1 Recombinant Monoclonal Antibody

Code CSB-RA783404A0HU
Size US$210
Order now
Image
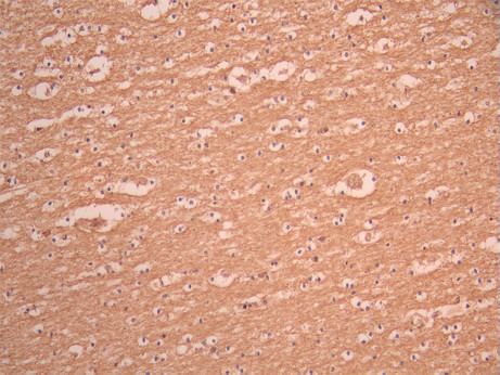
  • IHC image of CSB-RA783404A0HU diluted at 1:100 and staining in paraffin-embedded human brain tissue performed on a Leica BondTM system. After dewaxing and hydration, antigen retrieval was mediated by high pressure in a citrate buffer (pH 6.0). Section was blocked with 10% normal goat serum 30min at RT. Then primary antibody (1% BSA) was incubated at 4°C overnight. The primary is detected by a Goat anti-rabbit polymer IgG labeled by HRP and visualized using 0.05% DAB.
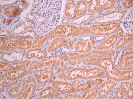
  • IHC image of CSB-RA783404A0HU diluted at 1:100 and staining in paraffin-embedded human kidney tissue performed on a Leica BondTM system. After dewaxing and hydration, antigen retrieval was mediated by high pressure in a citrate buffer (pH 6.0). Section was blocked with 10% normal goat serum 30min at RT. Then primary antibody (1% BSA) was incubated at 4°C overnight. The primary is detected by a Goat anti-rabbit polymer IgG labeled by HRP and visualized using 0.05% DAB.
  • Overlay Peak curve showing MCF-7 cells stained with CSB-RA783404A0HU (red line) at 1:100. The cells were fixed in 4% formaldehyde and permeated by 0.2% TritonX-100 for 10min. Then 10% normal goat serum to block non-specific protein-protein interactions followed by the antibody (1ug/1*106cells) for 45min at 4℃. The secondary antibody used was FITC-conjugated goat anti-rabbit IgG (H+L) at 1/200 dilution for 35min at 4℃.Control antibody (green line) was Rabbit IgG (1ug/1*106cells) used under the same conditions. Acquisition of >10, 000 events was performed.
Have Questions? Leave a Message or Start an on-line Chat

Product Details

Uniprot No.
Target Names
RTN4RL1
Alternative Names
DKFZp547J144 antibody; NgR 3 antibody; NgR3 antibody; NGRH 2 antibody; NGRH2 antibody; NGRL2 antibody; Nogo 66 receptor homolog 2 antibody; Nogo 66 receptor related protein 3 antibody; Nogo receptor like 2 antibody; Nogo receptor-like 2 antibody; Nogo-66 receptor homolog 2 antibody; Nogo-66 receptor-related protein 3 antibody; R4RL1_HUMAN antibody; Reticulon 4 receptor like 1 antibody; Reticulon-4 receptor-like 1 antibody; RTN4RL1 antibody
Species Reactivity
Human
Immunogen
A synthesized peptide from human RTN4RL1 protein
Immunogen Species
Homo sapiens (Human)
Conjugate
Non-conjugated
Clonality
Monoclonal
Isotype
Rabbit IgG
Clone No.
5C1
Purification Method
Affinity-chromatography
Concentration
It differs from different batches. Please contact us to confirm it.
Buffer
Rabbit IgG in 10mM phosphate buffered saline , pH 7.4, 150mM sodium chloride, 0.05% BSA, 0.02% sodium azide and 50% glycerol.
Form
Liquid
Tested Applications
ELISA, IHC, FC
Recommended Dilution
Application Recommended Dilution
IHC 1:50-1:200
FC 1:50-1:200
Troubleshooting and FAQs
Storage
Upon receipt, store at -20°C or -80°C. Avoid repeated freeze.
Lead Time
Basically, we can dispatch the products out in 1-3 working days after receiving your orders. Delivery time maybe differs from different purchasing way or location, please kindly consult your local distributors for specific delivery time.
Usage
For Research Use Only. Not for use in diagnostic or therapeutic procedures.

Customer Reviews and Q&A

 Customer Reviews

There are currently no reviews for this product.

Submit a Review here

Target Background

Function
Cell surface receptor. Plays a functionally redundant role in postnatal brain development and in regulating axon regeneration in the adult central nervous system. Contributes to normal axon migration across the brain midline and normal formation of the corpus callosum. Protects motoneurons against apoptosis; protection against apoptosis is probably mediated by MAG. Plays a role in inhibiting neurite outgrowth and axon regeneration via its binding to neuronal chondroitin sulfate proteoglycans. Binds heparin. Like other family members, plays a role in restricting the number dendritic spines and the number of synapses that are formed during brain development. Signaling mediates activation of Rho and downstream reorganization of the actin cytoskeleton.
Gene References into Functions
  1. Duplication of 10q22.3-q23.3 encompassing NGR3 gene is associated with congenital heart disease, microcephaly, and mild intellectual disability PMID: 26383923
  2. predominantly expressed in the neurons of the embryonic and adult nervous systems PMID: 14664809
Subcellular Location
Cell membrane; Lipid-anchor, GPI-anchor. Membrane raft. Perikaryon. Cell projection.
Protein Families
Nogo receptor family
Tissue Specificity
Predominantly expressed in brain. Expressed at lower levels in kidney, lung, mammary gland, placenta, salivary gland, skeletal muscle and spleen.
Database Links

HGNC: 21329

OMIM: 610461

KEGG: hsa:146760

STRING: 9606.ENSP00000330631

UniGene: Hs.22917

icon of phone
Call us
301-363-4651 (Available 9 a.m. to 5 p.m. CST from Monday to Friday)
icon of address
Address
7505 Fannin St., Ste 610, Room 7 (CUBIO Innovation Center), Houston, TX 77054, USA
icon of social media
Join us with

Subscribe newsletter

Leave a message

* To protect against spam, please pass the CAPTCHA test below.
CAPTCHA verification
© 2007-2025 CUSABIO TECHNOLOGY LLC All rights reserved. 鄂ICP备15011166号-1
×
Place an order now

I. Product details

*
*
*
*

II. Contact details

*
*

III. Ship To

*
*
*
*
*
*
*

IV. Bill To

*
*
*
*
*
*
*
*