SUN1 Recombinant Monoclonal Antibody

Code CSB-RA599252A0HU
Size US$210
Order now
Image
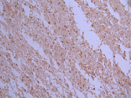
  • IHC image of CSB-RA599252A0HU diluted at 1:100 and staining in paraffin-embedded human glioma cancer performed on a Leica BondTM system. After dewaxing and hydration, antigen retrieval was mediated by high pressure in a citrate buffer (pH 6.0). Section was blocked with 10% normal goat serum 30min at RT. Then primary antibody (1% BSA) was incubated at 4°C overnight. The primary is detected by a Goat anti-rabbit polymer IgG labeled by HRP and visualized using 0.05% DAB.
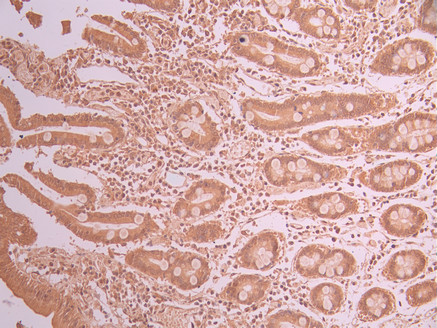
  • IHC image of CSB-RA599252A0HU diluted at 1:100 and staining in paraffin-embedded human small intestine tissue performed on a Leica BondTM system. After dewaxing and hydration, antigen retrieval was mediated by high pressure in a citrate buffer (pH 6.0). Section was blocked with 10% normal goat serum 30min at RT. Then primary antibody (1% BSA) was incubated at 4°C overnight. The primary is detected by a Goat anti-rabbit polymer IgG labeled by HRP and visualized using 0.05% DAB.
  • Immunofluorescence staining of A431 cell with CSB-RA599252A0HU at 1:50, counter-stained with DAPI. The cells were fixed in 4% formaldehyde, permeabilized using 0.2% Triton X-100 and blocked in 10% normal Goat Serum. The cells were then incubated with the antibody overnight at 4°C. The secondary antibody was Alexa Fluor 488-congugated AffiniPure Goat Anti-Rabbit IgG(H+L).
  • Overlay Peak curve showing BxPC-3 cells stained with CSB-RA599252A0HU (red line) at 1:100. The cells were fixed in 4% formaldehyde and permeated by 0.2% TritonX-100 for 10min. Then 10% normal goat serum to block non-specific protein-protein interactions followed by the antibody (1ug/1*106cells) for 45min at 4℃. The secondary antibody used was FITC-conjugated goat anti-rabbit IgG (H+L) at 1/200 dilution for 35min at 4℃.Control antibody (green line) was Rabbit IgG (1ug/1*106cells) used under the same conditions. Acquisition of >10,000 events was performed.
Have Questions? Leave a Message or Start an on-line Chat

Product Details

Uniprot No.
Target Names
SUN1
Alternative Names
SUN domain-containing protein 1 (Protein unc-84 homolog A) (Sad1/unc-84 protein-like 1), SUN1, KIAA0810 UNC84A
Species Reactivity
Human
Immunogen
A synthesized peptide from human SUN1 protein
Immunogen Species
Homo sapiens (Human)
Conjugate
Non-conjugated
Clonality
Monoclonal
Isotype
Rabbit IgG
Clone No.
4C11
Purification Method
Affinity-chromatography
Concentration
It differs from different batches. Please contact us to confirm it.
Buffer
Preservative: 0.03% Proclin 300
Constituents: 50% Glycerol, 0.01M PBS, PH 7.4
Form
Liquid
Tested Applications
ELISA, IHC, IF, FC
Recommended Dilution
Application Recommended Dilution
IHC 1:50-1:200
IF 1:50-1:200
FC 1:50-1:200
Troubleshooting and FAQs
Storage
Upon receipt, store at -20°C or -80°C. Avoid repeated freeze.
Lead Time
Basically, we can dispatch the products out in 1-3 working days after receiving your orders. Delivery time maybe differs from different purchasing way or location, please kindly consult your local distributors for specific delivery time.
Usage
For Research Use Only. Not for use in diagnostic or therapeutic procedures.

Customer Reviews and Q&A

 Customer Reviews

There are currently no reviews for this product.

Submit a Review here

Target Background

Function
As a component of the LINC (LInker of Nucleoskeleton and Cytoskeleton) complex involved in the connection between the nuclear lamina and the cytoskeleton. The nucleocytoplasmic interactions established by the LINC complex play an important role in the transmission of mechanical forces across the nuclear envelope and in nuclear movement and positioning. Required for interkinetic nuclear migration (INM) and essential for nucleokinesis and centrosome-nucleus coupling during radial neuronal migration in the cerebral cortex and during glial migration. Involved in telomere attachment to nuclear envelope in the prophase of meiosis implicating a SUN1/2:KASH5 LINC complex in which SUN1 and SUN2 seem to act at least partial redundantly. Required for gametogenesis and involved in selective gene expression of coding and non-coding RNAs needed for gametogenesis. Helps to define the distribution of nuclear pore complexes (NPCs). Required for efficient localization of SYNE4 in the nuclear envelope. May be involved in nuclear remodeling during sperm head formation in spermatogenenis. May play a role in DNA repair by suppressing non-homologous end joining repair to facilitate the repair of DNA cross-links.
Gene References into Functions
  1. While Sun1 and Sun2 in HeLa cells are each able to bind KASH-domains, Sun1 is more efficiently incorporated into LINC complexes under normal growth conditions. Furthermore, the balance of Sun1 and Sun2 incorporated into LINC complexes is cell type-specific and is correlated with SRF/Mkl1-dependent gene expression. PMID: 29813079
  2. Low SUN1 expression is associated with HIV infections. PMID: 29643244
  3. Thus, AID is a conserved functional domain in SUN proteins and this work provides the structural evidence to support the conversation of the AID-mediated autoinhibition of SUN proteins. PMID: 29408528
  4. SUN1/SUN2 may function redundantly in early HIV-1 infection steps and therefore influence HIV-1 replication and pathogenesis. PMID: 28747499
  5. wndchrm revealed a consistent negative correlation between SUN1 expression and the size of nucleoli in human breast cancer tissues. PMID: 26962703
  6. Nuclear envelope associated endosome-mediated transfer depends on the nuclear envelope proteins SUN1 and SUN2, as well as the Sec61 translocon complex. PMID: 26356418
  7. SUN1 plays a role in hnRNP-involved mRNA export. PMID: 26476453
  8. An important role for SUN1 and SUN2 in muscle disease pathogenesis. PMID: 25210889
  9. these data support a model whereby mitotic phosphorylation of SUN1 disrupts interactions with nucleoplasmic binding partners, promoting disassembly of the nuclear lamina and, potentially, its chromatin interactions PMID: 25482198
  10. The Caenorhabditis elegans lamin, LMN-1, is required for nuclear migration and interacts with the nucleoplasmic domain of the SUN protein UNC-84. PMID: 25057012
  11. Results highlight the interactions at the nuclear envelope where mutations in the EMD and TMPO gene in combination with mutations in SUN1 have an impact on several components of the network. PMID: 24375709
  12. Farnesylation of progerin enhances its interaction with SUN1 and reduces SUN1 mobility. PMID: 24522183
  13. Codepletion of SUN1/2 slows cell proliferation and results in an accumulation of morphologically defective and disoriented mitotic spindles. PMID: 24662567
  14. Reduction of SUN1 overaccumulation in LMNA mutant fibroblasts and in cells derived from HGPS patients corrected nuclear defects and cellular senescence. PMID: 22541428
  15. These results demonstrate that the interplay between SUN1 and farnesylated prelamin A contributes to nuclear positioning in human myofibers and may be implicated in pathogenetic mechanisms. PMID: 21311568
  16. POM121 and Sun1 interact transiently to promote early steps of interphase nuclear pore complexes assembly PMID: 21727197
  17. perturbations in lamin A-SUN1 and SUN2 protein interactions may underlie the opposing effects of EDMD and HGPS mutations on nuclear and cellular mechanics PMID: 19933576
  18. Describes cloning and function of C. elegans unc-84 and cloning of human orthologs. PMID: 10375507
  19. The Sun1 itself does not require functional A-type lamins for its localisation at the inner nuclear membrane in mammalian cells. PMID: 16079285
  20. localization and anchoring of UNC84A is not dependent on the lamin proteins, in contrast to what had been observed for C. elegans UNC-84 PMID: 16445915
  21. SUN1 and SUN2 may form a physical interaction between the nuclear envelope and the centrosome PMID: 17132086
  22. chromosome de-condensation needs the function of an inner nuclear membrane (INM) protein hsSUN1 and a membrane-associated histone acetyltransferase (HAT), hALP. PMID: 17631499
  23. Results suggest that Sun1 represents an important determinant of nuclear pore complex distribution across the nuclear surface. PMID: 17724119
  24. Isolation of a cDNA encoding a mouse homolog of the human SUN1 (UNC84A) gene. PMID: 12036294
  25. KIAA0810 is a novel 100-kDa transmembrane protein with similarity to Caenorhabditis elegans Unc-84A and resides in the inner nuclear membrane. It is likely to interact with the nuclear lamina. PMID: 11593002

Show More

Hide All

Subcellular Location
Nucleus inner membrane; Single-pass type II membrane protein.
Database Links

HGNC: 18587

OMIM: 607723

KEGG: hsa:23353

STRING: 9606.ENSP00000384015

UniGene: Hs.438072

icon of phone
Call us
301-363-4651 (Available 9 a.m. to 5 p.m. CST from Monday to Friday)
icon of address
Address
7505 Fannin St., Ste 610, Room 7 (CUBIO Innovation Center), Houston, TX 77054, USA
icon of social media
Join us with

Subscribe newsletter

Leave a message

* To protect against spam, please pass the CAPTCHA test below.
CAPTCHA verification
© 2007-2025 CUSABIO TECHNOLOGY LLC All rights reserved. 鄂ICP备15011166号-1
×
Place an order now

I. Product details

*
*
*
*

II. Contact details

*
*

III. Ship To

*
*
*
*
*
*
*

IV. Bill To

*
*
*
*
*
*
*
*