TIMELESS Recombinant Monoclonal Antibody

Code CSB-RA031794A0HU
Size US$210
Order now
Image
  • Western Blot
    , Positive WB detected in:MCF7 whole cell lysate(30µg), Jurkat whole cell lysate(30µg), THP-1 whole cell lysate(30µg)
    All lanes: Timeless antibody at 1:1000
    Secondary
    Goat polyclonal to rabbit IgG at 1/40000 dilution
    Predicted band size: 139 kDa
    Observed band size: 150 kDa
    Exposure time:120s
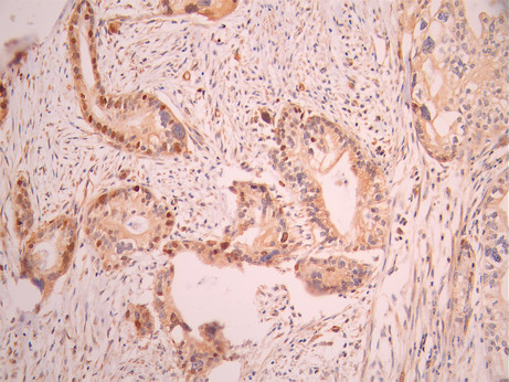
  • IHC image of CSB-RA031794A0HU diluted at 1:100 and staining in paraffin-embedded human pancreatic cancer performed on a Leica BondTM system. After dewaxing and hydration, antigen retrieval was mediated by high pressure in a citrate buffer (pH 6.0). Section was blocked with 10% normal goat serum 30min at RT. Then primary antibody (1% BSA) was incubated at 4°C overnight. The primary is detected by a Goat anti-rabbit polymer IgG labeled by HRP and visualized using 0.05% DAB.
  • Overlay Peak curve showing Hela cells stained with CSB-RA031794A0HU (red line) at 1:100. The cells were fixed in 4% formaldehyde and permeated by 0.2% TritonX-100 for 10min. Then 10% normal goat serum to block non-specific protein-protein interactions followed by the antibody (1ug/1*106cells) for 45min at 4℃. The secondary antibody used was FITC-conjugated goat anti-rabbit IgG (H+L) at 1/200 dilution for 35min at 4℃.Control antibody (green line) was Rabbit IgG (1ug/1*106cells) used under the same conditions. Acquisition of >10, 000 events was performed.
Have Questions? Leave a Message or Start an on-line Chat

Product Details

Uniprot No.
Target Names
TIMELESS
Alternative Names
FLJ12640 antibody; FLJ20714 antibody; hTIM antibody; Protein timeless homolog antibody; TIM antibody; TIM_HUMAN antibody; TIM1 antibody; Timeless antibody; timeless circadian clock 1 antibody; timeless circadian clock antibody; timeless homolog antibody; TIMELESS1 antibody; Tof1 homolog antibody
Species Reactivity
Human
Immunogen
A synthesized peptide from human TIMELESS protein
Immunogen Species
Homo sapiens (Human)
Conjugate
Non-conjugated
Clonality
Monoclonal
Isotype
Rabbit IgG
Clone No.
25E11
Purification Method
Affinity-chromatography
Concentration
It differs from different batches. Please contact us to confirm it.
Buffer
Rabbit IgG in 10mM phosphate buffered saline , pH 7.4, 150mM sodium chloride, 0.05% BSA, 0.02% sodium azide and 50% glycerol.
Form
Liquid
Tested Applications
ELISA, WB, IHC, FC
Recommended Dilution
Application Recommended Dilution
WB 1:500-1:5000
IHC 1:50-1:200
FC 1:50-1:200
Troubleshooting and FAQs
Storage
Upon receipt, store at -20°C or -80°C. Avoid repeated freeze.
Lead Time
Basically, we can dispatch the products out in 1-3 working days after receiving your orders. Delivery time maybe differs from different purchasing way or location, please kindly consult your local distributors for specific delivery time.
Usage
For Research Use Only. Not for use in diagnostic or therapeutic procedures.

Customer Reviews and Q&A

 Customer Reviews

There are currently no reviews for this product.

Submit a Review here

Target Background

Function
Plays an important role in the control of DNA replication, maintenance of replication fork stability, maintenance of genome stability throughout normal DNA replication, DNA repair and in the regulation of the circadian clock. Required to stabilize replication forks during DNA replication by forming a complex with TIPIN: this complex regulates DNA replication processes under both normal and stress conditions, stabilizes replication forks and influences both CHEK1 phosphorylation and the intra-S phase checkpoint in response to genotoxic stress. TIMELESS promotes TIPIN nuclear localization. Involved in cell survival after DNA damage or replication stress by promoting DNA repair. In response to double-strand breaks (DSBs), accumulates at DNA damage sites and promotes homologous recombination repair via its interaction with PARP1. May be specifically required for the ATR-CHEK1 pathway in the replication checkpoint induced by hydroxyurea or ultraviolet light. Involved in the determination of period length and in the DNA damage-dependent phase advancing of the circadian clock. Negatively regulates CLOCK|NPAS2-ARTNL/BMAL1|ARTNL2/BMAL2-induced transactivation of PER1 possibly via translocation of PER1 into the nucleus. May also play an important role in epithelial cell morphogenesis and formation of branching tubules.
Gene References into Functions
  1. we suggest that disturbances in timeless expression may result in the disruption of the control of normal circadian rhythm, thus benefiting the survival of glioma cells and promoting carcinogenesis. PMID: 30249891
  2. TIM rs2291738 was associated with chronotype dimensions PMID: 28708003
  3. Inhibition of MYC significantly blocked the effects of TIM on CSC population, cell invasion and anchor-independent cell growth. TIM plays an important role in promoting breast cancer progression and may represent a novel therapeutic target for breast cancer. PMID: 28464854
  4. Stable ectopic overexpression of TIMELESS in nasopharyngeal carcinoma cell lines conferred resistance to cisplatin-induced apoptosis in vitro and in vivo, promoted an epithelial-to-mesenchymal transition phenotype, and activated the Wnt/beta-catenin pathway and downstream gene transcription. PMID: 28583847
  5. the 1.85 A crystal structure of a large N-terminal segment of human Timeless, spanning amino acids 1-463, is presented and this region of human Timeless harbours a partial binding site for Tipin. PMID: 28334766
  6. results provide the first evidence that TIM is required for the correct chromatin association of the CMG complex to allow efficient DNA replication. PMID: 27587400
  7. Our results show that TIMELESS overexpression correlates with pelvic lymph node metastasis, lymphovascular space involvement, as well as unfavorable OS and DFS in human cervical cancer. Therefore, TIMELESS expression may be a potential prognostic biomarker for cervical cancer patients PMID: 27909716
  8. TIMELESS mutants unable to bind PARP1. TIMELESS silencing significantly impairs DNA double-strand break repair. PMID: 26456830
  9. Data reports the crystal structure of Timeless-PARP-1 complex and provides evidence that Timeless is recruited to sites of DNA damage through PARP-1 to mediate homologous recombination repair of DNA double-strand breaks. PMID: 26344098
  10. overexpression of TIM exerts oncogenic function in human HCCs, which is mediated via CHEK2 and EEF1A2. PMID: 25405317
  11. TIMELESS and RORA genes may confer susceptibility to bipolar disorders and impact on circadian phenotypes PMID: 24716566
  12. The results of this study suggest that the TIMELESS gene may be associated with the lithium prophylactic response in bipolar illness. PMID: 24636202
  13. TIMELESS is frequently overexpressed in various types of tumor tissues, and elevated TIMELESS expression is associated with advanced tumor stage and poorer breast cancer prognosis. PMID: 24161199
  14. Data indicate that RNAi-mediated knockdown of TIMELESS (TIM) in NIH3T3 and U2OS cells shortens the period by 1 hour and diminishes DNA damage-dependent phase advancing. PMID: 23418588
  15. TIMELESS has a distinct contribution to suppression of chromosomal instability that is independent of its heterodimeric partner, TIPIN. PMID: 23255133
  16. Tim-Tipin complex (or Tim alone) is able to associate with DNA polymerase epsilon bound to a 40-/80-mer DNA ligand. PMID: 23511638
  17. All lung cancer specimens but no matched normal lung tissues were positive for TIM expression. PMID: 23173913
  18. Kaposi's Sarcoma-associated herpesvirus episome maintenance requires Tim-assisted replication fork protection at the viral terminal repeats. PMID: 23325691
  19. observed a significant association between stage II, III, and IV breast cancers and TIMELESS promoter hypomethylation in peripheral blood lymphocytes in 80 breast cancer cases and 80 age-matched controls PMID: 22006848
  20. Timeless functions together with TRF1 to prevent fork collapse at telomere repeat DNA and ensure stable maintenance of telomere length and integrity. PMID: 22672906
  21. Timeless has a function in SCC that is independent of the Tim-Tipin complex, even though the abundance of Timeless is reduced when Tipin is targeted for depletion. PMID: 21508667
  22. Tim coordinates mitotic kinase activation with termination of DNA replication. PMID: 21573113
  23. These findings demonstrate that Tim is essential for sustaining the episomal forms of EBV DNA in latently infected cells. PMID: 21490103
  24. the interaction between dPERIOD and dCLOCK is TIM-dependent and modulated by light, revealing a novel and unanticipated in vivo role for TIM in circadian transcription PMID: 20980603
  25. Data show significant association between TIMELESS variants and depression with fatigue in females, and association to depression with early morning awakening in males. PMID: 20174623
  26. The results suggest that Timeless-Tipin functions as a replication fork stabilizer that couples DNA replication with sister chromatid cohesion established at replication forks. PMID: 20124417
  27. TIMELESS is required for ATM-dependent CHK2 activation and G2/M checkpoint control PMID: 19996108
  28. Down-regulation of Timeless in human cells seriously compromises replication and intra-S checkpoints, indicating an intimate connection between the circadian cycle and the DNA damage checkpoints that is in part mediated by the Timeless protein. PMID: 15798197
  29. Tipin is a checkpoint mediator that cooperates with Tim and may regulate the nuclear relocation of Claspin in response to replication checkpoint PMID: 17102137
  30. observation explains the similar checkpoint phenotypes observed in both Tipin- and Timeless-depleted cells PMID: 17116885
  31. TIM and Tipin are functional orthologs of their replisome-associated yeast counterparts capable of coordinating replication with genotoxic stress responses, and distinguishes mammalian TIM from the circadian-specific paralogs. PMID: 17141802
  32. These findings indicate that the Tim-Tipin complex mediates the UV-induced intra-S checkpoint, Tim is needed to maintain DNA replication fork movement, Tipin interacts with RPA on DNA. PMID: 17296725
  33. HRPAP20 and TIMELESS as promising markers of tamoxifen resistance in women with ER alpha-positive breast tumors. PMID: 17909269

Show More

Hide All

Subcellular Location
Nucleus. Chromosome.
Protein Families
Timeless family
Tissue Specificity
Expressed in all tissues examined including brain, heart, lung, liver, skeletal muscle, kidney, placenta, pancreas, spleen, thymus and testis. Highest levels of expression in placenta, pancreas, thymus and testis.
Database Links

HGNC: 11813

OMIM: 603887

KEGG: hsa:8914

STRING: 9606.ENSP00000450607

UniGene: Hs.118631

icon of phone
Call us
301-363-4651 (Available 9 a.m. to 5 p.m. CST from Monday to Friday)
icon of address
Address
7505 Fannin St., Ste 610, Room 7 (CUBIO Innovation Center), Houston, TX 77054, USA
icon of social media
Join us with

Subscribe newsletter

Leave a message

* To protect against spam, please pass the CAPTCHA test below.
CAPTCHA verification
© 2007-2025 CUSABIO TECHNOLOGY LLC All rights reserved. 鄂ICP备15011166号-1
×
Place an order now

I. Product details

*
*
*
*

II. Contact details

*
*

III. Ship To

*
*
*
*
*
*
*

IV. Bill To

*
*
*
*
*
*
*
*