TIMM44 Recombinant Monoclonal Antibody

Code CSB-RA967831A0HU
Size US$210
Order now
Image
  • Western Blot
    Positive WB detected in: K562 whole cell lysate(30µg), HT-29 whole cell lysate(30µg), COLO-205 whole cell lysate(30µg), Rat liver tissue lysate(30µg)
    All lanes: TIM44 antibody at 1:1000
    Secondary
    Goat polyclonal to rabbit IgG at 1/40000 dilution
    Predicted band size: 51 kDa
    Observed band size: 51 kDa
    Exposure time:20s
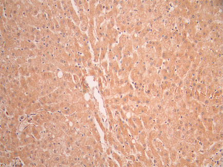
  • IHC image of CSB-RA967831A0HU diluted at 1:100 and staining in paraffin-embedded human liver tissue performed on a Leica BondTM system. After dewaxing and hydration, antigen retrieval was mediated by high pressure in a citrate buffer (pH 6.0). Section was blocked with 10% normal goat serum 30min at RT. Then primary antibody (1% BSA) was incubated at 4°C overnight. The primary is detected by a Goat anti-rabbit polymer IgG labeled by HRP and visualized using 0.05% DAB.
  • IHC image of CSB-RA967831A0HU diluted at 1:100 and staining in paraffin-embedded human prostate cancer performed on a Leica BondTM system. After dewaxing and hydration, antigen retrieval was mediated by high pressure in a citrate buffer (pH 6.0). Section was blocked with 10% normal goat serum 30min at RT. Then primary antibody (1% BSA) was incubated at 4°C overnight. The primary is detected by a Goat anti-rabbit polymer IgG labeled by HRP and visualized using 0.05% DAB.
  • Immunofluorescence staining of U251 cell with CSB-RA967831A0HU at 1:50 , counter-stained with DAPI. The cells were fixed in 4% formaldehyde, permeabilized using 0.2% Triton X-100 and blocked in 10% normal Goat Serum. The cells were then incubated with the antibody overnight at 4°C. The secondary antibody was Alexa Fluor 488-congugated AffiniPure Goat Anti-Rabbit IgG(H+L).
Have Questions? Leave a Message or Start an on-line Chat

Product Details

Uniprot No.
Target Names
TIMM44
Alternative Names
TIMM44 antibody; MIMT44 antibody; TIM44 antibody; Mitochondrial import inner membrane translocase subunit TIM44 antibody
Species Reactivity
Human, Rat
Immunogen
A synthesized peptide from human TIMM44 protein
Immunogen Species
Homo sapiens (Human)
Conjugate
Non-conjugated
Clonality
Monoclonal
Isotype
Rabbit IgG
Clone No.
25G3
Purification Method
Affinity-chromatography
Concentration
It differs from different batches. Please contact us to confirm it.
Buffer
Rabbit IgG in 10mM phosphate buffered saline , pH 7.4, 150mM sodium chloride, 0.05% BSA, 0.02% sodium azide and 50% glycerol.
Form
Liquid
Tested Applications
ELISA, WB, IHC, IF
Recommended Dilution
Application Recommended Dilution
WB 1:500-1:5000
IHC 1:50-1:200
IF 1:50-1:200
Troubleshooting and FAQs
Storage
Upon receipt, store at -20°C or -80°C. Avoid repeated freeze.
Lead Time
Basically, we can dispatch the products out in 1-3 working days after receiving your orders. Delivery time maybe differs from different purchasing way or location, please kindly consult your local distributors for specific delivery time.
Usage
For Research Use Only. Not for use in diagnostic or therapeutic procedures.

Customer Reviews and Q&A

 Customer Reviews

There are currently no reviews for this product.

Submit a Review here

Target Background

Function
Essential component of the PAM complex, a complex required for the translocation of transit peptide-containing proteins from the inner membrane into the mitochondrial matrix in an ATP-dependent manner. Recruits mitochondrial HSP70 to drive protein translocation into the matrix using ATP as an energy source.
Gene References into Functions
  1. TIM44 was identified for the first time as a potential oncogene, which plays an important role in autophagy through the TIM44-SOD2-ROS-mTOR pathway. PMID: 27849558
  2. The Timm44 gene may be a new target for the treatment of type 2 diabetes PMID: 25749183
  3. This protein has been found differentially expressed in thalami from patients with schizophrenia. PMID: 20471030
Subcellular Location
Mitochondrion inner membrane; Peripheral membrane protein; Matrix side. Mitochondrion matrix.
Protein Families
Tim44 family
Database Links

HGNC: 17316

OMIM: 605058

KEGG: hsa:10469

STRING: 9606.ENSP00000270538

UniGene: Hs.465784

icon of phone
Call us
301-363-4651 (Available 9 a.m. to 5 p.m. CST from Monday to Friday)
icon of address
Address
7505 Fannin St., Ste 610, Room 7 (CUBIO Innovation Center), Houston, TX 77054, USA
icon of social media
Join us with

Subscribe newsletter

Leave a message

* To protect against spam, please pass the CAPTCHA test below.
CAPTCHA verification
© 2007-2025 CUSABIO TECHNOLOGY LLC All rights reserved. 鄂ICP备15011166号-1
×
Place an order now

I. Product details

*
*
*
*

II. Contact details

*
*

III. Ship To

*
*
*
*
*
*
*

IV. Bill To

*
*
*
*
*
*
*
*