U2AF2 Recombinant Monoclonal Antibody

Code CSB-RA043670A0HU
Size US$210
Order now
Image
  • Western Blot
    , Positive WB detected in:HEK293 whole cell lysate(30µg), HT29 whole cell lysate(30µg), Jurkat whole cell lysate(30µg), HepG2 whole cell lysate(30µg), A431 whole cell lysate(30µg), A549 whole cell lysate(30µg), Mouse brain tissue lysate(30µg), Rat brain lysate(30µg)
    All lanes: U2AF2 antibody at 1:1000
    Secondary
    Goat polyclonal to rabbit IgG at 1/40000 dilution
    Predicted band size: 54 kDa
    Observed band size: 60 kDa
    Exposure time:20s
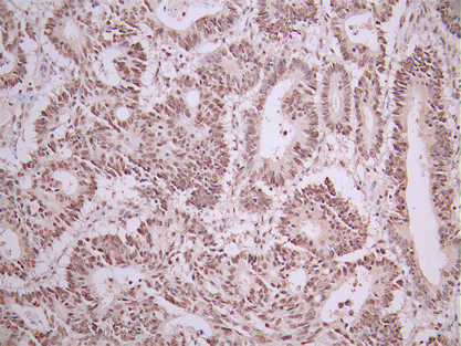
  • IHC image of CSB-RA043670A0HU diluted at 1:100 and staining in paraffin-embedded human colorectal cancer performed on a Leica BondTM system. After dewaxing and hydration, antigen retrieval was mediated by high pressure in a citrate buffer (pH 6.0). Section was blocked with 10% normal goat serum 30min at RT. Then primary antibody (1% BSA) was incubated at 4°C overnight. The primary is detected by a Goat anti-rabbit polymer IgG labeled by HRP and visualized using 0.05% DAB.
  • Immunofluorescence staining of A-431 cell with CSB-RA043670A0HU at 1:50 , counter-stained with DAPI. The cells were fixed in 4% formaldehyde, permeabilized using 0.2% Triton X-100 and blocked in 10% normal Goat Serum. The cells were then incubated with the antibody overnight at 4°C. The secondary antibody was Alexa Fluor 488-congugated AffiniPure Goat Anti-Rabbit IgG(H+L).
  • Overlay Peak curve showing Hela cells stained with CSB-RA043670A0HU (red line) at 1:100. The cells were fixed in 4% formaldehyde and permeated by 0.2% TritonX-100 for 10min. Then 10% normal goat serum to block non-specific protein-protein interactions followed by the antibody (1ug/1*106cells) for 45min at 4℃. The secondary antibody used was FITC-conjugated goat anti-rabbit IgG (H+L) at 1/200 dilution for 35min at 4℃.Control antibody (green line) was Rabbit IgG (1ug/1*106cells) used under the same conditions. Acquisition of >10, 000 events was performed.
Have Questions? Leave a Message or Start an on-line Chat

Product Details

Uniprot No.
Target Names
U2AF2
Alternative Names
hU2AF(65) antibody; hU2AF65 antibody; Splicing factor U2AF 65 kDa subunit antibody; U2 (RNU2) small nuclear RNA auxiliary factor 2 antibody; U2 auxiliary factor 65 kDa subunit antibody; U2 small nuclear ribonucleoprotein auxiliary factor (65kD) antibody; U2 small nuclear RNA auxiliary factor 2 antibody; U2 snRNP auxiliary factor large subunit antibody; U2af2 antibody; U2AF2_HUMAN antibody; U2AF65 antibody
Species Reactivity
Human, Mouse, Rat
Immunogen
A synthesized peptide from human U2AF2 protein
Immunogen Species
Homo sapiens (Human)
Conjugate
Non-conjugated
Clonality
Monoclonal
Isotype
Rabbit IgG
Clone No.
1H1
Purification Method
Affinity-chromatography
Concentration
It differs from different batches. Please contact us to confirm it.
Buffer
Rabbit IgG in 10mM phosphate buffered saline , pH 7.4, 150mM sodium chloride, 0.05% BSA, 0.02% sodium azide and 50% glycerol.
Form
Liquid
Tested Applications
ELISA, WB, IHC, IF, FC
Recommended Dilution
Application Recommended Dilution
WB 1:500-1:5000
IHC 1:50-1:200
IF 1:50-1:200
FC 1:50-1:200
Troubleshooting and FAQs
Storage
Upon receipt, store at -20°C or -80°C. Avoid repeated freeze.
Lead Time
Basically, we can dispatch the products out in 1-3 working days after receiving your orders. Delivery time maybe differs from different purchasing way or location, please kindly consult your local distributors for specific delivery time.
Usage
For Research Use Only. Not for use in diagnostic or therapeutic procedures.

Customer Reviews and Q&A

 Customer Reviews

There are currently no reviews for this product.

Submit a Review here

Target Background

Function
Plays a role in pre-mRNA splicing and 3'-end processing. By recruiting PRPF19 and the PRP19C/Prp19 complex/NTC/Nineteen complex to the RNA polymerase II C-terminal domain (CTD), and thereby pre-mRNA, may couple transcription to splicing. Induces cardiac troponin-T (TNNT2) pre-mRNA exon inclusion in muscle. Regulates the TNNT2 exon 5 inclusion through competition with MBNL1. Binds preferentially to a single-stranded structure within the polypyrimidine tract of TNNT2 intron 4 during spliceosome assembly. Required for the export of mRNA out of the nucleus, even if the mRNA is encoded by an intron-less gene. Represses the splicing of MAPT/Tau exon 10. Positively regulates pre-mRNA 3'-end processing by recruiting the CFIm complex to cleavage and polyadenylation signals.
Gene References into Functions
  1. Data show that trans-acting RNA-binding proteins (RBPs) extensively regulate U2 (RNU2) small nuclear RNA auxiliary factor 2 protein (U2AF2) binding in vivo, including enhanced recruitment to 3' splice sites and clearance of introns PMID: 29643205
  2. Data suggest that one way heterogeneous nuclear ribonucleoprotein A1 (HNRNPA1) regulates exon definition is to modulate the interaction of U2 small nuclear RNA auxiliary factor 2 (U2AF2) with decoy or bona fide 3' splice site (3'ss). PMID: 29650551
  3. In summary, we provide insight into the underlying molecular mechanism of U2AF binding to 3' splice sites. PMID: 27799531
  4. the most discriminant differences between lincRNAs and mRNAs involve splicing. LincRNAs are less efficiently spliced, which cannot be explained by differences in U1 binding or the density of exonic splicing enhancers but may be partially attributed to lower U2AF65 binding and weaker splicing-related motifs. PMID: 27927715
  5. RBM39 is extensively involved in alternative splicing of RNA and helps regulate transcript levels. RBM39 may modulate alternative splicing similarly to U2AF65 by either directly binding to RNA or recruiting other splicing factors, such as U2AF65. PMID: 27354116
  6. These findings uncovered a hitherto unappreciated function of CD82 in severing the linkage between U2AF2-mediated CD44 alternative splicing and cancer aggressiveness, with potential prognostic and therapeutic implications in melanoma PMID: 27041584
  7. JMJD6 regulated a large set of alternative splicing events, and importantly, its regulated splicing events were significantly overlapped those controlled by U2AF65. PMID: 27899633
  8. This study therefore establishes a structural basis for specific UHM-ULM interactions by splicing factors such as U2AF35, U2AF65, RBM39 and SF3b155, and a platform for continued studies of intermolecular interactions governing disease-related alternative splicing in eukaryotic cells. PMID: 27050129
  9. The U2AF(65) linker residues between the dual RNA recognition motifs (RRMs) recognize the central nucleotide, whereas the N- and C-terminal RRM extensions recognize the 3' terminus and third nucleotide. PMID: 26952537
  10. Nuclear retention of full-length HTT RNA is mediated by splicing factors MBNL1 and U2AF65 PMID: 26218986
  11. Serum RNU2-1f may serve as a biomarker for lung cancer detection, prognosis prediction and treatment monitoring. PMID: 26687686
  12. U2AF(65) possesses a splicing Inhibitory function that leads to alternative exon skipping. PMID: 26216990
  13. The spatial distribution of U2AF65 conformations is found to be highly anisotropic, comprising significantly populated interdomain contacts that appear to be electrostatic in origin. PMID: 24734879
  14. reduced U2AF(65) binding is a molecular consequence of disease-relevant mutations, and a structure-guided U2AF(65) variant is capable of manipulating gene expression in eukaryotic cells PMID: 25422459
  15. We demonstrated that PRPF40B interacts directly with SF1 and associates with U2AF(65 PMID: 25605964
  16. U2AF has the capacity to directly define ~88% of functional 3' splice sites in the human genome; numerous U2AF binding events also occur in intronic locations. PMID: 25326705
  17. U2AF65 represents a new route for modulating TRF1 function at telomeres. PMID: 24389012
  18. The conserved SPSP motif phosphorylation and the SF1/U2AF interface are essential in vivo. PMID: 23273425
  19. The results highlight both local and global conformational selection as a means for universal 3' splice site recognition by U2AF65. PMID: 23376934
  20. The REST N exon is a very versatile sequence with a complex array of splicing signals, and its activation in H69 cells depends on the relative amounts of hnRNP H and U2AF65. PMID: 22792276
  21. By preventing U2AF65 binding to Alu elements, hnRNP C plays a critical role as a genome-wide sentinel protecting the transcriptome. PMID: 23374342
  22. These complementary structural methods demonstrate that diverse splice sites have the opportunity to select compact or extended inter-RRM proximities from the U2AF65 conformational pool PMID: 22702716
  23. hnRNP A1 forms a ternary complex with the U2AF heterodimer on AG-containing/uridine-rich RNAs, while it displaces U2AF from non-AG-containing/uridine-rich RNAs, an activity that requires the glycine-rich domain of hnRNP A1 PMID: 22325350
  24. dephosphorylation of pS776-ATXN1 by PP2A regulates the interaction of ATXN1 with the splicing factors RBM17 and U2AF65 PMID: 21835928
  25. the molecular mechanisms of the recognition of the 3'-splice-site-associated polypyrimidine tract RNA by the large subunit of the human U2 snRNP auxiliary factor (U2AF65) as a key early step in pre-mRNA splicing PMID: 21753750
  26. U2AF65 binds directly to the phosphorylated C-terminal domain, and that this interaction results in increased recruitment of U2AF65 and PRP19C to the pre-mRNA PMID: 21536736
  27. the conformational changes that are induced by assembly of the SF1/U2AF(65)/RNA complex serve to position the pre-mRNA splice site optimally for subsequent stages of splicing. PMID: 21146534
  28. U2AF 65 promotes 3'-end processing, which contributes to 3'-terminal exon definition in RNA splicing PMID: 12189174
  29. U2AF35 RRM is unstructured in solution but its tertiary structure is induced upon binding to U2AF65. PMID: 12297299
  30. U2AF65 modulates the function of the PLE (poly(A)-limiting element) PMID: 14576315
  31. two members of the U2AF65 family of proteins, hCC1.3, which we call CAPERalpha, and a related protein, CAPERbeta, regulate both steroid hormone receptor-mediated transcription and alternative splicing PMID: 15694343
  32. identified and spatially localized sites of direct interaction between U2AF35 and U2AF65 in vivo in live cell nuclei. PMID: 16043505
  33. Multiple U2AF65 binding sites within SF3b155 regulate conformational rearrangements during spliceosome assembly. PMID: 16376933
  34. Cocrystals of a U2AF65 variant with a deoxyuridine dodecamer diffract X-rays to 2.9 angstroms resolution and contain one complex per asymmetric unit. PMID: 16682775
  35. DEK enforces 3' splice site discrimination by U2AF; DEK phosphorylated at serines 19 and 32 associates with U2AF35, facilitates the U2AF35-AG interaction and prevents binding of U2AF65 to pyrimidine tracts not followed by AG PMID: 16809543
  36. Results describe the roles of the two subunits of U2AF, U2AF65 and 35, in the selection between alternative 3' splice sites associated with polypyrimidine tracts of different strengths. PMID: 16940179
  37. U2AF65 associates with specific subsets of spliced mRNAs, strongly suggesting that it is involved in novel cellular functions in addition to splicing. PMID: 17137510
  38. This rare, high-resolution view of an important member of the RNA recognition motifs class of RNA-binding domains highlights the role of alternative side-chain conformations in RNA recognition. PMID: 17188295
  39. SF1 and U2AF form extraspliceosomal complexes before and after taking part in the assembly of catalytic spliceosomes. PMID: 18285458
  40. there is a functional link among apoptosis induction, U2AF65 cleavage, and the regulation of Fas alternative splicing PMID: 18508922
  41. Solution conformation and thermodynamic characteristics of RNA binding by the splicing factor U2AF65. PMID: 18842594
  42. Puf60-UHM binds to ULM sequences in the splicing factors SF1, U2AF65, and SF3b155. PMID: 18974054
  43. Collectively, the results suggest that both U2AF binding and other steps of U2 snRNP recruitment can be control points in SMN splicing regulation. PMID: 19244360
  44. study reveals the splicing factor U2AF65 undergoes posttranslational lysyl-5-hydroxylation catalyzed by Jmjd6 PMID: 19574390

Show More

Hide All

Subcellular Location
Nucleus.
Protein Families
Splicing factor SR family
Database Links

HGNC: 23156

OMIM: 191318

KEGG: hsa:11338

STRING: 9606.ENSP00000307863

UniGene: Hs.528007

icon of phone
Call us
301-363-4651 (Available 9 a.m. to 5 p.m. CST from Monday to Friday)
icon of address
Address
7505 Fannin St., Ste 610, Room 7 (CUBIO Innovation Center), Houston, TX 77054, USA
icon of social media
Join us with

Subscribe newsletter

Leave a message

* To protect against spam, please pass the CAPTCHA test below.
CAPTCHA verification
© 2007-2025 CUSABIO TECHNOLOGY LLC All rights reserved. 鄂ICP备15011166号-1
×
Place an order now

I. Product details

*
*
*
*

II. Contact details

*
*

III. Ship To

*
*
*
*
*
*
*

IV. Bill To

*
*
*
*
*
*
*
*