Clec4g Antibody

Code CSB-PA803912ZA01MO
Size US$299
Image
  • Western Blot
    Positive WB detected in: Mouse Heart tissue lysate
    All lanes: Clec4g antibody at 1:1000
    Secondary
    Goat polyclonal to rabbit IgG at 1/50000 dilution
    Predicted band size: 34 kDa
    Observed band size: 34 kDa
  • Western Blot
    Positive WB detected in: Mouse Heart tissue lysate
    All lanes: Clec4g antibody at 1:1000
    Secondary
    Goat polyclonal to rabbit IgG at 1/50000 dilution
    Predicted band size: 34 kDa
    Observed band size: 34 kDa
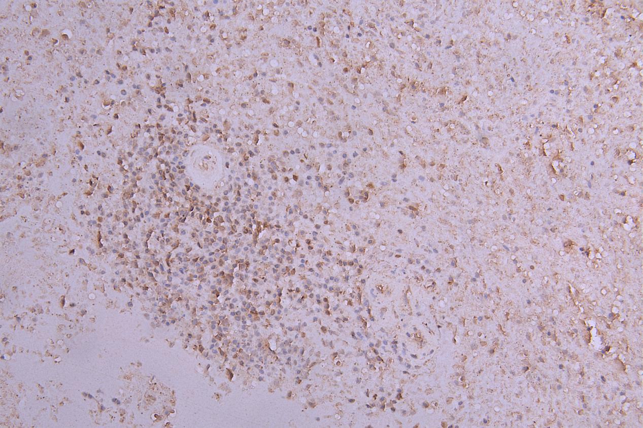
  • IHC image of CSB-PA803912ZA01MO diluted at 1:66 and staining in paraffin-embedded human spleen tissue performed on a Leica BondTM system. After dewaxing and hydration, antigen retrieval was mediated by high pressure in a citrate buffer (pH 6.0). Section was blocked with 10% normal goat serum 30min at RT. Then primary antibody (1% BSA) was incubated at 4°C overnight. The primary is detected by a Goat anti-rabbit polymer IgG labeled by HRP and visualized using 0.05% DAB.
  • IHC image of CSB-PA803912ZA01MO diluted at 1:66 and staining in paraffin-embedded human spleen tissue performed on a Leica BondTM system. After dewaxing and hydration, antigen retrieval was mediated by high pressure in a citrate buffer (pH 6.0). Section was blocked with 10% normal goat serum 30min at RT. Then primary antibody (1% BSA) was incubated at 4°C overnight. The primary is detected by a Goat anti-rabbit polymer IgG labeled by HRP and visualized using 0.05% DAB.
  • Immunofluorescence staining of Hela cell with CSB-PA803912ZA01MO at 1:30, counter-stained with DAPI. The cells were fixed in 4% formaldehyde and blocked in 10% normal Goat Serum. The cells were then incubated with the antibody overnight at 4C. The secondary antibody was Alexa Fluor 488-congugated AffiniPure Goat Anti-Rabbit IgG(H+L).
  • Immunofluorescence staining of NIH/3T3 cell with CSB-PA803912ZA01MO at 1:30, counter-stained with DAPI. The cells were fixed in 4% formaldehyde and blocked in 10% normal Goat Serum. The cells were then incubated with the antibody overnight at 4C. The secondary antibody was Alexa Fluor 488-congugated AffiniPure Goat Anti-Rabbit IgG(H+L).
  • Immunofluorescence staining of Hela cell with CSB-PA803912ZA01MO at 1:30, counter-stained with DAPI. The cells were fixed in 4% formaldehyde and blocked in 10% normal Goat Serum. The cells were then incubated with the antibody overnight at 4C. The secondary antibody was Alexa Fluor 488-congugated AffiniPure Goat Anti-Rabbit IgG(H+L).
  • Immunofluorescence staining of NIH/3T3 cell with CSB-PA803912ZA01MO at 1:30, counter-stained with DAPI. The cells were fixed in 4% formaldehyde and blocked in 10% normal Goat Serum. The cells were then incubated with the antibody overnight at 4C. The secondary antibody was Alexa Fluor 488-congugated AffiniPure Goat Anti-Rabbit IgG(H+L).
Promotion Free Antibody trial simple
Have Questions? Leave a Message or Start an on-line Chat

Product Details

Full Product Name
Rabbit anti-Mus musculus (Mouse) Clec4g Polyclonal antibody
Uniprot No.
Target Names
Clec4g
Alternative Names
C-type lectin domain family 4 member G, Clec4g
Raised in
Rabbit
Species Reactivity
Mus musculus
Immunogen
Recombinant Mus musculus Clec4g protein (52-294aa)
Immunogen Species
Mus musculus (Mouse)
Conjugate
Non-conjugated
Clonality
Polyclonal
Isotype
IgG
Purification Method
Antigen affinity purification
Concentration
It differs from different batches. Please contact us to confirm it.
Buffer
Preservative: 0.03% Proclin 300
Constituents: 50% Glycerol, 0.01M PBS, pH 7.4
Form
Liquid
Tested Applications
ELISA, WB, IHC, IF
Recommended Dilution
Application Recommended Dilution
WB 1:500-1:5000
IHC 1:50-1:200
IF 1:30-1:100
Troubleshooting and FAQs
Storage
Upon receipt, store at -20°C or -80°C. Avoid repeated freeze.
Lead Time
Basically, we can dispatch the products out in 1-3 working days after receiving your orders. Delivery time maybe differs from different purchasing way or location, please kindly consult your local distributors for specific delivery time.
Usage
For Research Use Only. Not for use in diagnostic or therapeutic procedures.

Customer Reviews and Q&A

 Customer Reviews

There are currently no reviews for this product.

Submit a Review here

Target Background

Function
Binds mannose, N-acetylglucosamine (GlcNAc) and fucose, but not galactose, in a Ca(2+)-dependent manner.
Gene References into Functions
  1. This study shows that C-type lectin LSECtin, a member of the DC-SIGN family, is a novel liver regulator for natural killer cells (NK cells). LSECtin could bind to NK cells in a carbohydrate-dependent manner and could regulate the number of hepatic NK cells. PMID: 27184407
  2. Data show that C-type lectin-like domain family 4, member g (Clec4g) suppresses beta-Site amyloid precursor protein cleaving enzyme-1 (BACE1)-mediated amyloid-beta (Abeta) peptides generation. PMID: 25957769
  3. When expressed in B16 melanoma cells, LSECtin promoted tumor growth, whereas its blockade slowed tumor growth in either wild-type or LSECtin-deficient mice. PMID: 24769443
  4. LSECtin-mediated signaling up-regulates the threshold of CD4(+) T cell activation via tuning the expression of Cbl-b. PMID: 22884358
  5. LSECtin may facilitate the reduction of liver inflammation at the cost of delaying virus clearance, an effect that might be hijacked by the virus as an escape mechanism. PMID: 23487419
  6. The studies provide a basis for using mouse LSECtin, and knockout mice lacking this receptor, to model the biological properties of the human receptor. PMID: 21257728
  7. Liver sinusoidal endothelial cell lectin, LSECtin, negatively regulates hepatic T-cell immune response. PMID: 19632227

Show More

Hide All

Subcellular Location
Cell membrane; Single-pass type II membrane protein.
Database Links
icon of phone
Call us
301-363-4651 (Available 9 a.m. to 5 p.m. CST from Monday to Friday)
icon of address
Address
7505 Fannin St., Ste 610, Room 7 (CUBIO Innovation Center), Houston, TX 77054, USA
icon of social media
Join us with

Subscribe newsletter

Leave a message

* To protect against spam, please pass the CAPTCHA test below.
CAPTCHA verification
© 2007-2025 CUSABIO TECHNOLOGY LLC All rights reserved. 鄂ICP备15011166号-1
×