GSTM3 Antibody

Code CSB-MA009982A1m
Size US$210
Order now
Image
  • Western Blot
    Positive WB detected in: Hela whole cell lysate, HepG2 whole cell lysate, MCF-7 whole cell lysate, A549 whole cell lysate, Rat brain tissue
    All lanes: GSTM3 antibody at 1:1000
    Secondary
    Goat polyclonal to mouse IgG at 1/50000 dilution
    Predicted band size: 27 KDa
    Observed band size: 27 KDa
    Exposure time:10min
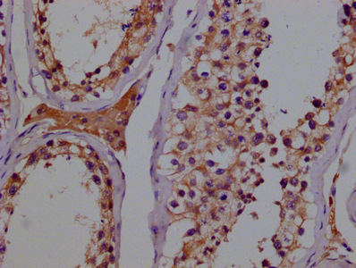
  • IHC image of CSB-MA009982A1m diluted at 1:100 and staining in paraffin-embedded human testes tissue performed on a Leica BondTM system. After dewaxing and hydration, antigen retrieval was mediated by high pressure in a citrate buffer (pH 6.0). Section was blocked with 10% normal goat serum 30min at RT. Then primary antibody (1% BSA) was incubated at 4°C overnight. The primary is detected by a biotinylated secondary antibody and visualized using an HRP conjugated SP system.
  • Overlay Peak curve showing Hela cells stained with CSB-MA009982A1m (red line) at 1:100. The cells were incubated in 10% normal goat serum to block non-specific protein-protein interactions followed by the antibody (1µg/1*106cells) for 1h at 4°C. The secondary antibody used was FITC-conjugated Goat Anti-Mouse IgG(H+L) at 1/100 dilution for 30min at 4°C. Isotype control antibody (green line) was mouse IgG1 (1µg/1*106cells) used under the same conditions. Acquisition of >10,000 events was performed.
Have Questions? Leave a Message or Start an on-line Chat

Product Details

Full Product Name
Mouse anti-Homo sapiens (Human) GSTM3 Monoclonal Antibody antibody
Uniprot No.
Target Names
GSTM3
Alternative Names
brain GST antibody; brain type mu glutathione S transferase antibody; glutathione S alkyltransferase M3 antibody; glutathione S aryltransferase M3 antibody; glutathione S transferase M3 (brain) antibody; glutathione S transferase M3 antibody; Glutathione S transferase Mu 3 antibody; glutathione S transferase, Mu 3 antibody; Glutathione S-transferase Mu 3 antibody; GST class mu 3 antibody; GST class-mu 3 antibody; GST5 antibody; GSTB antibody; Gstm3 antibody; GSTM3-3 antibody; GSTM3_HUMAN antibody; GTM3 antibody; hGSTM3-3 antibody; MGC3310 antibody; MGC3704 antibody; S (hydroxyalkyl)glutathione lyase M3 antibody
Raised in
Mouse
Species Reactivity
Human
Immunogen
Recombinant Human Glutathione S-transferase Mu 3 protein (1-225AA)
Immunogen Species
Homo sapiens (Human)
Conjugate
Non-conjugated
Clonality
Monoclonal Antibody
Isotype
IgG1
Clone No.
2H9D7
Purification Method
>95%, Protein G purified
Concentration
It differs from different batches. Please contact us to confirm it.
Buffer
Preservative: 0.03% Proclin 300
Constituents: 50% Glycerol, 0.01M PBS, PH 7.4
Form
Liquid
Tested Applications
ELISA, WB, IHC, FC
Recommended Dilution
Application Recommended Dilution
WB 1:1000-1:5000
IHC 1:50-1:200
FC 1:50-1:200
Troubleshooting and FAQs
Storage
Upon receipt, store at -20°C or -80°C. Avoid repeated freeze.
Lead Time
Basically, we can dispatch the products out in 1-3 working days after receiving your orders. Delivery time maybe differs from different purchasing way or location, please kindly consult your local distributors for specific delivery time.
Usage
For Research Use Only. Not for use in diagnostic or therapeutic procedures.

Customer Reviews and Q&A

 Customer Reviews

There are currently no reviews for this product.

Submit a Review here

Target Background

Function
Conjugation of reduced glutathione to a wide number of exogenous and endogenous hydrophobic electrophiles. May govern uptake and detoxification of both endogenous compounds and xenobiotics at the testis and brain blood barriers.
Gene References into Functions
  1. Differential activity of antioxidant enzymes caused by the polymorphism in GSTM3 may contribute to resistance to hormonal therapy through oxidative stress. The GSTM3 rs7483 polymorphism may be a promising biomarker for prostate cancer patients treated with androgen-deprivation therapy (ADT) PMID: 27993795
  2. Expression of GSTM3 might be regulated by epigenetic changes in lens tissue. Hypermethylation in GSTM3 promoter and altered histone modification might have a role in the ARC formation. PMID: 27607418
  3. No associations between the GSTT1, GSTP1, and GSTM3 genotypes and neoplasia risk were observed. In conclusion, we determined the genotype distribution of GST polymorphisms in control subjects and breast cancer patients from northeastern Mexico. PMID: 26125851
  4. NSD1 interacted with RNAPII and bound to GSTM3 -63A/C TATA box. PMID: 25193115
  5. All three markers correlated significantly with regional lymph node metastasis: FXYD3 (p = 0.0110), S100A11 (p = 0.0071), and GSTM3 (p = 0.0173) in colon cancer lymphatic metastasis. PMID: 22430872
  6. This meta-analysis suggests that the GSTM3 A/B polymorphism may be an important protective factor for head and neck cancer, especially of laryngeal cancer and Caucasian populations. PMID: 24416175
  7. rs1332018 genetic variants in the GSTM3 promoter predispose the host to downregulating GSTM3 expression in kidney, facilitate carcinogenesis, and predict an unfavourable postoperative prognosis of renal cell carcinoma. PMID: 24157827
  8. In conclusion, this epistatic interaction showed a high degree of consistency when stratifying by sex, the epsilon4 allele of apolipoprotein E genotype, and geographic region. PMID: 23036584
  9. The GSTM3 A/B gene polymorphism is not associated with lung cancer susceptibility. PMID: 23167362
  10. Methylation of GSTM3 promoter may contribute to oxidative stress-associated liver damage and correlate with the disease severity in Acute-on-chronic hepatitis B liver failure. PMID: 22976281
  11. There were no significant differences in distribution of 3-bp deletion polymorphism in intron 6 variant allele in Glutathione-S-transferase M3 between chronic obstructive pulmonary disease patients and controls in a north Indian population. PMID: 21513434
  12. In individuals from Angola, Mozambique and the Sao Tome e Principe islands, the GSTM3*B allele was three times more frequent (0.74-0.78) than the GSTM3*A allele (0.22-0.26), with no significant differences in allele frequency across the three groups. PMID: 20549140
  13. Diminished GSTM3 mRNA levels correlated with decreased minichromosome maintenance deficient 3 (MCM3) mRNA levels in a diagnostic and SNP-dependent fashion in Alzheimer disease. PMID: 18423940
  14. The presence of the GSTM3*B allele appears to associated with a reduced risk of laryngeal squamous cell carcinoma. PMID: 19922706
  15. No increased prostate scancer risk for men carrying any of the GSTM1 or GSTT1 genotypes. PMID: 14968442
  16. Glutathione S-transferase hGSTM3 has a role in ageing-associated neurodegeneration PMID: 15621212
  17. GSTM3 -63C allele strongly affects gene expression and suggests that individuals who carry the low expression allele may be deficient in glutathione transferase catalyzed biological functions. PMID: 15665284
  18. Single marker association analyses revealed that the AGG/AGG genotype of the GSTM3 rs1799735 (del/AGG) polymorphism was associated with an increased risk of AD (p=0.05), especially in the group of APOE4-allele non-carriers (p=0.004; OR=2.07). PMID: 17904251
  19. distribution of -63A/C polymorphism of human glutathione S-transferase M3(GSTM3) gene in Chinese Han population and the association of -63A/C polymorphism with essential hypertension PMID: 17922434
  20. The GSTM3*A/*A genotype was 76% in cancer cases versus 74% in controls; a significant association between smoking status and GSTM3 genotype was not detected. PMID: 18569590
  21. Our results suggested GSTM3 (AB + BB) genotype to be significantly associated with prostate cancer risk. PMID: 18668224
  22. GST-M3 activity is possibly involved in protection against mucosal atrophy caused by H. pylori as the levels of IgG titer and pepsinogen I are linked to mucosal status. PMID: 19696791
  23. The researchers found evidence of an increased risk for non-Hodgkin's lymphoma in women who used hair dye before 1980 and who were carriers of the GSTM3 intron 6 deletion. PMID: 19822571

Show More

Hide All

Subcellular Location
Cytoplasm.
Protein Families
GST superfamily, Mu family
Tissue Specificity
Testis and brain.
Database Links

HGNC: 4635

OMIM: 138390

KEGG: hsa:2947

STRING: 9606.ENSP00000256594

UniGene: Hs.2006

icon of phone
Call us
301-363-4651 (Available 9 a.m. to 5 p.m. CST from Monday to Friday)
icon of address
Address
7505 Fannin St., Ste 610, Room 7 (CUBIO Innovation Center), Houston, TX 77054, USA
icon of social media
Join us with

Subscribe newsletter

Leave a message

* To protect against spam, please pass the CAPTCHA test below.
CAPTCHA verification
© 2007-2025 CUSABIO TECHNOLOGY LLC All rights reserved. 鄂ICP备15011166号-1
×
Place an order now

I. Product details

*
*
*
*

II. Contact details

*
*

III. Ship To

*
*
*
*
*
*
*

IV. Bill To

*
*
*
*
*
*
*
*