ACTN2 Antibody

Code CSB-PA001242LA11HU
Size US$166
Order now
Image
  • Western Blot
    Positive WB detected in: Hela whole cell lysate, 293 whole cell lysate, Rat Brain tissue
    All lanes: ACTN2 antibody at 1:2000
    Secondary
    Goat polyclonal to rabbit IgG at 1/50000 dilution
    Predicted band size: 104 kDa
    Observed band size: 104 kDa

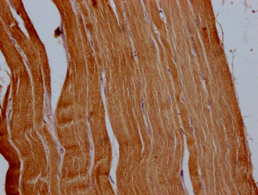
  • IHC image of CSB-PA001242LA11HU diluted at 1:500 and staining in paraffin-embedded human skeletal muscle tissue performed on a Leica BondTM system. After dewaxing and hydration, antigen retrieval was mediated by high pressure in a citrate buffer (pH 6.0). Section was blocked with 10% normal goat serum 30min at RT. Then primary antibody (1% BSA) was incubated at 4°C overnight. The primary is detected by a Goat anti-rabbit polymer IgG labeled by HRP and visualized using 0.05% DAB.

Promotion Free Antibody trial simple
Have Questions? Leave a Message or Start an on-line Chat

Product Details

Full Product Name
Rabbit anti-Homo sapiens (Human) ACTN2 Polyclonal antibody
Uniprot No.
Target Names
ACTN2
Alternative Names
Actin binding protein antibody; Actinin alpha 2 antibody; ACTN 2 antibody; ACTN2 antibody; ACTN2_HUMAN antibody; Alpha actinin 2 antibody; Alpha actinin skeletal muscle antibody; Alpha actinin skeletal muscle isoform 2 antibody; Alpha-actinin skeletal muscle isoform 2 antibody; Alpha-actinin-2 antibody; CMD1AA antibody; F actin cross linking protein antibody; F-actin cross-linking protein antibody
Raised in
Rabbit
Species Reactivity
Human, Rat
Immunogen
Recombinant Human Alpha-actinin-2 protein (1-301AA)
Immunogen Species
Homo sapiens (Human)
Conjugate
Non-conjugated

The ACTN2 Antibody (Product code: CSB-PA001242LA11HU) is Non-conjugated. For ACTN2 Antibody with conjugates, please check the following table.

Available Conjugates
Conjugate Product Code Product Name Application
HRP CSB-PA001242LB11HU ACTN2 Antibody, HRP conjugated ELISA
FITC CSB-PA001242LC11HU ACTN2 Antibody, FITC conjugated
Biotin CSB-PA001242LD11HU ACTN2 Antibody, Biotin conjugated ELISA
Clonality
Polyclonal
Isotype
IgG
Purification Method
>95%, Protein G purified
Concentration
It differs from different batches. Please contact us to confirm it.
Buffer
Preservative: 0.03% Proclin 300
Constituents: 50% Glycerol, 0.01M PBS, PH 7.4
Form
Liquid
Tested Applications
ELISA, WB, IHC
Recommended Dilution
Application Recommended Dilution
WB 1:1000-1:5000
IHC 1:100-1:500
Troubleshooting and FAQs
Storage
Upon receipt, store at -20°C or -80°C. Avoid repeated freeze.
Lead Time
Basically, we can dispatch the products out in 1-3 working days after receiving your orders. Delivery time maybe differs from different purchasing way or location, please kindly consult your local distributors for specific delivery time.
Usage
For Research Use Only. Not for use in diagnostic or therapeutic procedures.

Customer Reviews and Q&A

 Customer Reviews

There are currently no reviews for this product.

Submit a Review here

Target Background

Function
F-actin cross-linking protein which is thought to anchor actin to a variety of intracellular structures. This is a bundling protein.
Gene References into Functions
  1. A dual-beam optical tweezers measured the mechanics of alpha-actinin 2 and rabbit titin interaction at the single-molecule level. Depending on the direction of force application, the unbinding forces can more than triple. Multiple alpha-actinin/Z-repeat interactions cooperate to ensure long-term stable titin anchoring, while allowing the individual components to exchange dynamically. PMID: 28096424
  2. These results provide new insights into the regulation of SK2 channel trafficking by the cytoskeletal proteins FLNA and alpha-actinin2, involving distinct recycling pathways PMID: 27779751
  3. the interaction between GNE and alpha-actinin 1 and alpha-actinin 2 occur at different sites in the alpha-actinin molecules and that for alpha-actinin 2 the interaction site is located at the C-terminus of the protein. PMID: 27023225
  4. The full length mEos2 tagged protein expressed in adult cardiomyocytes shows that both mutations additionally affect Z-disc localization and dynamic behaviour PMID: 27287556
  5. study strengthens the hypothesis that ACTN2 influences caries risk. PMID: 24810274
  6. The novel heterozygous missense sequence variant ACTN2 cosegregated with a complex cardiomyopathic trait, characterized by the interplay of midapical, nonobstructive HCM, early onset of AF and AV block, as well as regional LV noncompaction. PMID: 25173926
  7. Clinical evaluation of an Australian family revealed diverse cardiac pathologies in four affected members and genetic testing of the exome identified a pathogenic ACTN2 heterozygous variant (Ala119Thr) that co-segregated with disease. PMID: 25224718
  8. Study reports a complete high-resolution structure of the 200 kDa alpha-actinin-2 dimer from striated muscle and explore its functional implications on the biochemical and cellular level. PMID: 25433700
  9. This study generated the genomic sequences of K88-positive and F18-positive porcine enteroteoxigenic E. coli (ETEC) strains and examined the phylogenetic distribution of clinical porcine ETEC strains and their plasmid-associated genetic content. PMID: 22081385
  10. Findigs show that the F-actin-binding protein alpha-actinin-2 targets CaMKIIalpha to F-actin in cells by binding to the CaMKII regulatory domain. PMID: 22427672
  11. data provide functional evidence that the primary sequences of alpha-actinin-2 and alpha-actinin-3 evolved differences to optimize their functions PMID: 22253474
  12. This is the first genome-wide linkage analysis that shows mutations in ACTN2 cause HCM PMID: 20022194
  13. BPAG1-b was detectable in vitro and in vivo as a high molecular mass protein in striated and heart muscle cells, co-localizing with alpha-actinin-2 and partially with the cytolinker plectin as well as with the intermediate filament protein desmin. PMID: 19932097
  14. Spectrin-like repeats from dystrophin and alpha-actinin-2 are not functionally interchangeable. PMID: 12140183
  15. Association of Ca2+-activated K+ channel with alpha-actinin2 localizes channel to entry of external Ca(2+) source, which regulates channel function. PMID: 17110593
  16. actinin-2 participate in sequestering parafibromin in the cytoplasmic compartment. PMID: 18687124
  17. ACTN2 expression is affected by the content of alpha-actinin-3. PMID: 19150855
  18. demonstrate that proper membrane localization of a small-conductance Ca(2+)-activated K(+) channel (SK2 or K(Ca)2.2) is dependent on its interacting protein, alpha-actinin2, a major F-actin crosslinking protein. PMID: 19815520

Show More

Hide All

Involvement in disease
Cardiomyopathy, familial hypertrophic 23, with or without left ventricular non-compaction (CMH23); Cardiomyopathy, dilated 1AA, with or without left ventricular non-compaction (CMD1AA)
Subcellular Location
Cytoplasm, myofibril, sarcomere, Z line. Note=Colocalizes with MYOZ1 and FLNC at the Z-lines of skeletal muscle.
Protein Families
Alpha-actinin family
Tissue Specificity
Expressed in both skeletal and cardiac muscle.
Database Links

HGNC: 164

OMIM: 102573

KEGG: hsa:88

STRING: 9606.ENSP00000355537

UniGene: Hs.498178

icon of phone
Call us
301-363-4651 (Available 9 a.m. to 5 p.m. CST from Monday to Friday)
icon of address
Address
7505 Fannin St., Ste 610, Room 7 (CUBIO Innovation Center), Houston, TX 77054, USA
icon of social media
Join us with

Subscribe newsletter

Leave a message

* To protect against spam, please pass the CAPTCHA test below.
CAPTCHA verification
© 2007-2025 CUSABIO TECHNOLOGY LLC All rights reserved. 鄂ICP备15011166号-1
×
Place an order now

I. Product details

*
*
*
*

II. Contact details

*
*

III. Ship To

*
*
*
*
*
*
*

IV. Bill To

*
*
*
*
*
*
*
*