AKR7A2 Antibody

Code CSB-PA001550ESR2HU
Size US$166
Order now
Image
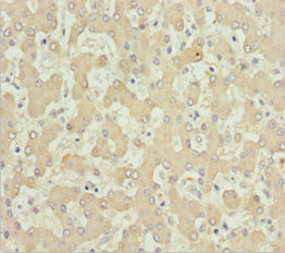
  • Immunohistochemistry of paraffin-embedded human liver tissue using CSB-PA001550ESR2HU at dilution of 1:100

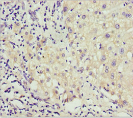
  • Immunohistochemistry of paraffin-embedded human liver cancer using CSB-PA001550ESR2HU at dilution of 1:100

Have Questions? Leave a Message or Start an on-line Chat

Product Details

Full Product Name
Rabbit anti-Homo sapiens (Human) AKR7A2 Polyclonal antibody
Uniprot No.
Target Names
AKR7A2
Alternative Names
AFAR antibody; AFAR1 antibody; AFB1 aldehyde reductase 1 antibody; AFB1 AR1 antibody; AFB1-AR 1 antibody; AFB1AR1 antibody; Aflatoxin aldehyde reductase antibody; Aflatoxin B1 aldehyde reductase member 2 antibody; Aflatoxin beta1 aldehyde reductase antibody; Aiar antibody; AKR7 antibody; Akr7a2 antibody; Aldo keto reductase family 7 antibody; Aldo keto reductase family 7 member A2 aflatoxin aldehyde reductase antibody; Aldo keto reductase family 7 member A2 antibody; Aldo keto reductase family 7; member A2 (aflatoxin aldehyde reductase) antibody; Aldoketoreductase 7 antibody; ARK72_HUMAN antibody; SSA reductase antibody; Succinic semialdehyde reductase antibody
Raised in
Rabbit
Species Reactivity
Human
Immunogen
Recombinant Human Aflatoxin B1 aldehyde reductase member 2 protein (100-359AA)
Immunogen Species
Homo sapiens (Human)
Conjugate
Non-conjugated
Clonality
Polyclonal
Isotype
IgG
Purification Method
Antigen Affinity Purified
Concentration
It differs from different batches. Please contact us to confirm it.
Buffer
PBS with 0.02% sodium azide, 50% glycerol, pH7.3.
Form
Liquid
Tested Applications
ELISA, IHC
Recommended Dilution
Application Recommended Dilution
IHC 1:20-1:200
Troubleshooting and FAQs
Storage
Upon receipt, store at -20°C or -80°C. Avoid repeated freeze.
Lead Time
Basically, we can dispatch the products out in 1-3 working days after receiving your orders. Delivery time maybe differs from different purchasing way or location, please kindly consult your local distributors for specific delivery time.
Usage
For Research Use Only. Not for use in diagnostic or therapeutic procedures.

Customer Reviews and Q&A

 Customer Reviews

There are currently no reviews for this product.

Submit a Review here

Target Background

Function
Catalyzes the NADPH-dependent reduction of succinic semialdehyde to gamma-hydroxybutyrate. May have an important role in producing the neuromodulator gamma-hydroxybutyrate (GHB). Has broad substrate specificity. Has NADPH-dependent aldehyde reductase activity towards 2-carboxybenzaldehyde, 2-nitrobenzaldehyde and pyridine-2-aldehyde (in vitro). Can reduce 1,2-naphthoquinone and 9,10-phenanthrenequinone (in vitro). Can reduce the dialdehyde protein-binding form of aflatoxin B1 (AFB1) to the non-binding AFB1 dialcohol. May be involved in protection of liver against the toxic and carcinogenic effects of AFB1, a potent hepatocarcinogen.
Gene References into Functions
  1. AKR7A2 physically interacts with CYGB. PMID: 28536627
  2. induced expression in human monocytes following exposure to Aflatoxin B1 PMID: 25027672
  3. AKR7A2 contributes to protection against MG-induced toxicity. PMID: 25451587
  4. structure and tissue-related expression of AFAR genes on chromosome 1 PMID: 12879023
  5. The human aldo-keto reductase AKR7A2 has been proposed previously to catalyze the NADPH-dependent reduction of succinic semialdehyde (SSA) to gamma-Hydroxybutyrate in human brain PMID: 17591773
  6. The human AFAR gene family maps to a genomic region in 1p36 of frequent hemizygous deletions in various human cancers. PMID: 18752886
  7. Aflatoxin B(1) aldehyde reductase (AKR7A2) was confirmed to be only highly expressed in pancreatic cancer, not in normal adjacent pancreas and benign tumors. PMID: 19077459

Show More

Hide All

Subcellular Location
Golgi apparatus. Cytoplasm.
Protein Families
Aldo/keto reductase family, Aldo/keto reductase 2 subfamily
Tissue Specificity
Detected in brain, liver, small intestine and testis, and at lower levels in heart, prostate, skeletal muscle and spleen. Detected in kidney proximal and distal tubules, endothelial cells lining the Bowman's capsules and some cysts. Detected at low levels
Database Links

HGNC: 389

OMIM: 603418

KEGG: hsa:8574

STRING: 9606.ENSP00000235835

UniGene: Hs.571886

icon of phone
Call us
301-363-4651 (Available 9 a.m. to 5 p.m. CST from Monday to Friday)
icon of address
Address
7505 Fannin St., Ste 610, Room 7 (CUBIO Innovation Center), Houston, TX 77054, USA
icon of social media
Join us with

Subscribe newsletter

Leave a message

* To protect against spam, please pass the CAPTCHA test below.
CAPTCHA verification
© 2007-2025 CUSABIO TECHNOLOGY LLC All rights reserved. 鄂ICP备15011166号-1
×
Place an order now

I. Product details

*
*
*
*

II. Contact details

*
*

III. Ship To

*
*
*
*
*
*
*

IV. Bill To

*
*
*
*
*
*
*
*