CD7 Antibody

Code CSB-PA004953YA01HU
Size US$166
Order now
Image
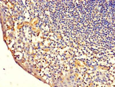
  • Immunohistochemistry of paraffin-embedded human lymphoid tissue using CSB-PA004953YA01HU at dilution of 1:100

  • Immunohistochemistry of paraffin-embedded human tonsil tissue using CSB-PA004953YA01HU at dilution of 1:100

Promotion Free Antibody trial simple
Have Questions? Leave a Message or Start an on-line Chat

Product Details

Full Product Name
Rabbit anti-Homo sapiens (Human) CD7 Polyclonal antibody
Uniprot No.
Target Names
Alternative Names
CD7 antibody; CD7 antigen (p41) antibody; CD7 antigen antibody; CD7 molecule antibody; CD7_HUMAN antibody; GP40 antibody; LEU 9 antibody; LEU9 antibody; p41 protein antibody; T cell antigen CD7 antibody; T cell leukemia antigen antibody; T cell surface antigen Leu 9 antibody; T-cell antigen CD7 antibody; T-cell leukemia antigen antibody; T-cell surface antigen Leu-9 antibody; Tp 40 antibody; Tp40 antibody; TP41 antibody
Raised in
Rabbit
Species Reactivity
Human
Immunogen
Recombinant Human T-cell antigen CD7 protein (26-180AA)
Immunogen Species
Homo sapiens (Human)
Conjugate
Non-conjugated

The CD7 Antibody (Product code: CSB-PA004953YA01HU) is Non-conjugated. For CD7 Antibody with conjugates, please check the following table.

Available Conjugates
Conjugate Product Code Product Name Application
HRP CSB-PA004953YB01HU CD7 Antibody, HRP conjugated ELISA
FITC CSB-PA004953YC01HU CD7 Antibody, FITC conjugated
Biotin CSB-PA004953YD01HU CD7 Antibody, Biotin conjugated ELISA
Clonality
Polyclonal
Isotype
IgG
Purification Method
>95%, Protein G purified
Concentration
It differs from different batches. Please contact us to confirm it.
Buffer
Preservative: 0.03% Proclin 300
Constituents: 50% Glycerol, 0.01M PBS, PH 7.4
Form
Liquid
Tested Applications
ELISA, IHC
Recommended Dilution
Application Recommended Dilution
IHC 1:20-1:200
Troubleshooting and FAQs
Storage
Upon receipt, store at -20°C or -80°C. Avoid repeated freeze.
Lead Time
Basically, we can dispatch the products out in 1-3 working days after receiving your orders. Delivery time maybe differs from different purchasing way or location, please kindly consult your local distributors for specific delivery time.
Usage
For Research Use Only. Not for use in diagnostic or therapeutic procedures.

Customer Reviews and Q&A

 Customer Reviews

There are currently no reviews for this product.

Submit a Review here

Target Background

Function
Not yet known.
Gene References into Functions
  1. in acute myeloid leukemia patients the association of CD7 positivity and FLT3 positivity was found to be significant PMID: 25679063
  2. Data show that CD7 promotes extramedullary involvement of the B-ALL line Tanoue in an integrin beta2-dependent manner. PMID: 24920488
  3. We showed that the CADM1 versus CD7 plot is capable of discriminating clonally expanding HTLV-I-infected cells in indolent and acute-type T-cell leukemia-lymphomas and in asymptomatic carriers PMID: 24727323
  4. CD7 is present on monocytes and tumor macrophages and its ligand, SECTM1, is frequently expressed in corresponding melanoma tissues PMID: 24157461
  5. SECTM1 secreted from bone marrow stromal cells may interact with CD7 to influence GM-CSF expression in leukemic cells. PMID: 24211252
  6. epigenetic down-regulation of CD7 is associated with acute myeloid leukemia. PMID: 20398252
  7. CD7 loss in aggressive natural killer-cell leukemia; a useful diagnostic marker PMID: 20046078
  8. low expression in T-cell lymphomas due to Twist2-mediated suppression of promoter activity; enhanced by histone deacetylase inhibitors PMID: 19937140
  9. These findings indicate a link between epigenetic modifications and CD7 expression in primitive chronic myeloid leukemia cells. PMID: 20175919
  10. CD7 expression in hematopoitic cells denotes commitment to B-cell and natural killer cells lineages. PMID: 12393702
  11. Association of T cell antigen CD7 with type II phosphatidylinositol-4 kinase, a key component in pathways of inositol phosphate turnover. PMID: 12594831
  12. a novel fusion protein, designated scFvCD7:sFasL is designed to have leukemia-restricted activity. PMID: 16332967
  13. Patients expressing CD7 had significant shorter disease free (DFS) and post-remission survivals (PRS) than patients without CD7 (DFS of 12 months versus 42 months, P=0.005; PRS of 15 months versus 33 months, P=0.013). PMID: 16837044
  14. CD7 antigen notably expresses in lung microvascular endothelial cells (LME) and that it acts as an Fc receptor for IgM in LME cells. PMID: 16990185
  15. HTLV-IInfected cells acquired a profound decrease of intracellular calcium levels in response to ionomycin, timely correlated with decreased CD7 expression PMID: 17287851
  16. differential levels of CD7 identify the progressive stages of lineage commitment in human thymus, initiated from a primitive CD7(-) lympho-myeloid thymic progenitor PMID: 17959857
  17. close association of aberrant CD7 expression and FLT3/ITD mutation in the myeloblasts of FLT3/ITD+ acute myeloid leukemia suggests that FLT3/ITD- mediated leukemic transformation occurs in the more early stage of myeloid progenitor cells PMID: 18343790
  18. The CD7 expression in CD4(+) T cells discriminates between HL and reactive LAD, suggesting that this could be a useful and practical adjunctive tool in the diagnosis of Hodgkin lymphoma. PMID: 18956470
  19. by down-regulating CD7, ATLL cells could have escaped Gal-3-induced apoptosis to run a more aggressive clinical course PMID: 19207946
  20. the galectin-1 glycoprotein receptor CD7 maybe a novel target for GdA on T cells. PMID: 19683346

Show More

Hide All

Subcellular Location
Membrane; Single-pass type I membrane protein.
Database Links

HGNC: 1695

OMIM: 186820

KEGG: hsa:924

STRING: 9606.ENSP00000312027

UniGene: Hs.36972

CUSABIO guaranteed quality
icon of phone
Call us
301-363-4651 (Available 9 a.m. to 5 p.m. CST from Monday to Friday)
icon of address
Address
7505 Fannin St., Ste 610, Room 7 (CUBIO Innovation Center), Houston, TX 77054, USA
icon of social media
Join us with

Subscribe newsletter

Leave a message

* To protect against spam, please pass the CAPTCHA test below.
CAPTCHA verification
© 2007-2025 CUSABIO TECHNOLOGY LLC All rights reserved. 鄂ICP备15011166号-1
×
Place an order now

I. Product details

*
*
*
*

II. Contact details

*
*

III. Ship To

*
*
*
*
*
*
*

IV. Bill To

*
*
*
*
*
*
*
*