CDK5RAP3 Antibody

Code CSB-PA773682
Size US$166
Order now
Image
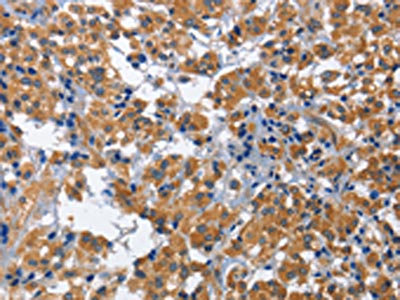
  • The image on the left is immunohistochemistry of paraffin-embedded Human thyroid cancer tissue using CSB-PA773682(CDK5RAP3 Antibody) at dilution 1/60, on the right is treated with fusion protein. (Original magnification: ×200)
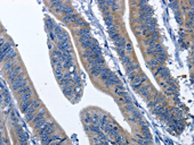
  • The image on the left is immunohistochemistry of paraffin-embedded Human colon cancer tissue using CSB-PA773682(CDK5RAP3 Antibody) at dilution 1/60, on the right is treated with fusion protein. (Original magnification: ×200)
  • Gel: 6%SDS-PAGE, Lysate: 40 μg, Lane: Human normal liver tissue, Primary antibody: CSB-PA773682(CDK5RAP3 Antibody) at dilution 1/655, Secondary antibody: Goat anti rabbit IgG at 1/8000 dilution, Exposure time: 1 second
Have Questions? Leave a Message or Start an on-line Chat

Product Details

Uniprot No.
Target Names
CDK5RAP3
Alternative Names
C53 antibody; CDK5 activator binding protein C53 antibody; CDK5 activator-binding protein C53 antibody; CDK5 regulatory subunit associated protein 3 antibody; CDK5 regulatory subunit-associated protein 3 antibody; Cdk5rap3 antibody; CK5P3_HUMAN antibody; HSF 27 antibody; HSF27 antibody; IC53 antibody; Ischemic heart CDK5 activator binding protein C53 antibody; LXXLL/leucine zipper containing ARFbinding protein antibody; LZAP antibody; MST016 antibody; OK/SW cl.114 antibody; PP1553 antibody; Protein HSF-27 antibody
Raised in
Rabbit
Species Reactivity
Human,Mouse,Rat
Immunogen
Fusion protein of Human CDK5RAP3
Immunogen Species
Homo sapiens (Human)
Conjugate
Non-conjugated
Isotype
IgG
Purification Method
Antigen affinity purification
Concentration
It differs from different batches. Please contact us to confirm it.
Buffer
-20°C, pH7.4 PBS, 0.05% NaN3, 40% Glycerol
Form
Liquid
Tested Applications
ELISA,WB,IHC
Recommended Dilution
Application Recommended Dilution
ELISA 1:1000-1:2000
WB 1:200-1:1000
IHC 1:50-1:200
Troubleshooting and FAQs
Storage
Upon receipt, store at -20°C or -80°C. Avoid repeated freeze.
Lead Time
Basically, we can dispatch the products out in 1-3 working days after receiving your orders. Delivery time maybe differs from different purchasing way or location, please kindly consult your local distributors for specific delivery time.
Usage
For Research Use Only. Not for use in diagnostic or therapeutic procedures.

Customer Reviews and Q&A

 Customer Reviews

There are currently no reviews for this product.

Submit a Review here

Target Background

Function
Substrate adapter for ufmylation, the covalent attachment of the ubiquitin-like modifier UFM1 to substrate proteins, in response to endoplasmic reticulum stress. Negatively regulates NF-kappa-B-mediated gene transcription through the control of RELA phosphorylation. Probable tumor suppressor initially identified as a CDK5R1 interactor controlling cell proliferation. Also regulates mitotic G2/M transition checkpoint and mitotic G2 DNA damage checkpoint. Through its interaction with CDKN2A/ARF and MDM2 may induce MDM2-dependent p53/TP53 ubiquitination, stabilization and activation in the nucleus, thereby promoting G1 cell cycle arrest and inhibition of cell proliferation. May also play a role in the rupture of the nuclear envelope during apoptosis. May regulate MAPK14 activity by regulating its dephosphorylation by PPM1D/WIP1. Required for liver development.; (Microbial infection) May be negatively regulated by hepatitis B virus large envelope protein mutant pre-s2 to promote mitotic entry.
Gene References into Functions
  1. CDK5RAP3 negatively regulates the beta-catenin signaling pathway by repressing GSK-3beta phosphorylation in gastric neoplasms. PMID: 27793695
  2. C53/LZAP protein bound indirectly to the microtubule (MT), and expression of the C53/LZAP cleavage product caused abnormal MT bundling and NE rupture. PMID: 23478299
  3. our findings provide the new evidence that overexpression of CDK5RAP3 promotes HCC metastasis via downregulation of p14(ARF). PMID: 22860085
  4. LZAP may play an important role in hepatocellular carcinoma progression PMID: 22028922
  5. our results strongly suggest that the binding of hepatitis viral pre-S2 LHBs with C53 is a novel negative regulator of the checkpoint response PMID: 21971960
  6. Data indicate that IC53 is a positive mediator for colon cancer progression, and IC53-rs2737 may serve as protection from the onset of colorectal cancer. PMID: 21394385
  7. Nuclear gamma-tubulin interacts with tumor suppressor protein C53 that is involved in regulation of DNA damage PMID: 21465471
  8. the ability of LZAP to alter p38 phosphorylation depended, at least partially, on the p38 phosphatase, Wip1 PMID: 21283629
  9. Findings reveal that CDK5RAP3 is widely overexpressed in hepatocellular carcinoma and that overexpression of CDK5RAP3 promotes HCC metastasis through PAK4 activation. PMID: 21385901
  10. IC53 is a novel gene, mainly expressed in vascular endothelial cells and mediates cell proliferation PMID: 12054757
  11. results strongly indicate that in response to genotoxic stress, Cdk5 activator-binding protein C53(C53) serves as an important regulatory component of DNA damage checkpoint through modulating cyclin dependent kinase 1-cyclin B1 function PMID: 15790566
  12. It is suggested that LZAP can regulate ARF biochemical and biological activity; additionally, LZAP has p53-dependent cell-cycle effects that are independent of ARF. PMID: 16173922
  13. it is concluded that CDK5RAP3, CCNB2, and RAGE genes may be used as a very reliable biomarkers of lung adenocarcinoma PMID: 17549666
  14. LZAP has a role in NF-kappaB regulation and tumor suppression. PMID: 17785205
  15. CDK5 regulatory subunit associated protein 3 promotes checkpoint kinase 1 activation and mitotic entry in both unperturbed cell-cycle progression and DNA damage response. PMID: 19223857
  16. Endothelium-specific overexpression of human IC53 downregulates endothelial nitric oxide synthase activity and elevates systolic blood pressure in mice. PMID: 19541669

Show More

Hide All

Subcellular Location
Nucleus. Cytoplasm. Cytoplasm, cytoskeleton, microtubule organizing center, centrosome.
Protein Families
CDK5RAP3 family
Tissue Specificity
Ubiquitously expressed. Expressed in heart, brain, placenta, lung, liver, skeletal muscle, kidney and pancreas. Isoform 3 is expressed in kidney, liver, skeletal muscle and placenta.
Database Links

HGNC: 18673

OMIM: 608202

KEGG: hsa:80279

STRING: 9606.ENSP00000344683

UniGene: Hs.20157

icon of phone
Call us
301-363-4651 (Available 9 a.m. to 5 p.m. CST from Monday to Friday)
icon of address
Address
7505 Fannin St., Ste 610, Room 7 (CUBIO Innovation Center), Houston, TX 77054, USA
icon of social media
Join us with

Subscribe newsletter

Leave a message

* To protect against spam, please pass the CAPTCHA test below.
CAPTCHA verification
© 2007-2025 CUSABIO TECHNOLOGY LLC All rights reserved. 鄂ICP备15011166号-1
×
Place an order now

I. Product details

*
*
*
*

II. Contact details

*
*

III. Ship To

*
*
*
*
*
*
*

IV. Bill To

*
*
*
*
*
*
*
*